低身長で発症したジャーミノーマ

1. 幼児期3歳から低身長,発達障害で発症した例

この子は,3歳時に発達障害の診断を受けていました。5歳時に身長の伸びの低下があり,間もなく尿崩症を発症しました。下の図は,この子の成長曲線です。5歳からはほとんど身長が伸びない時期が続きます。でもよく見ると4歳くらいから身長の伸びの程度が低下しているようです。 診断がなされたのは,2005年の9歳6ヶ月になった時です。約5年間,MRIでは腫瘍がみられず,germinomaとは診断されずに経過しました。自閉症がありましたが,それだけではなくて,おそらく視床下部から前交連,大脳基底核に浸潤する腫瘍のために,全般的な認知機能低下と汎下垂体機能低下症を呈していました。

9歳6ヶ月時には,腫瘍は蝶形骨洞,斜台上部,海綿静脈洞内,トルコ鞍内(下垂体),鞍上部、視床下部,終板前交連,大脳基底核,松果体へと伸展していました。4コースのCDDPをベースとした化学療法がなされ,25.2グレイ/14分割の全脳照射 whole brainを行ないました。以後,7年間再発はありません。この子の腫瘍の発見が早ければ認知機能をもう少し良い状態で保てたのではないかと考えています。

2. 幼児期4歳で低身長で発症した例

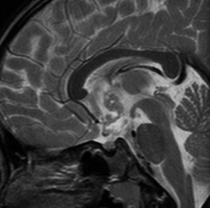
4歳のとき幼稚園児で低身長の傾向を指摘されました。 8歳時には明らかな低身長であり,尿崩症を発症しました。

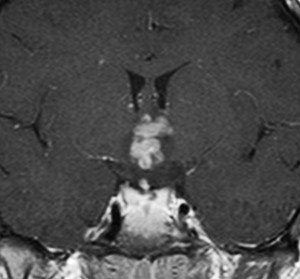
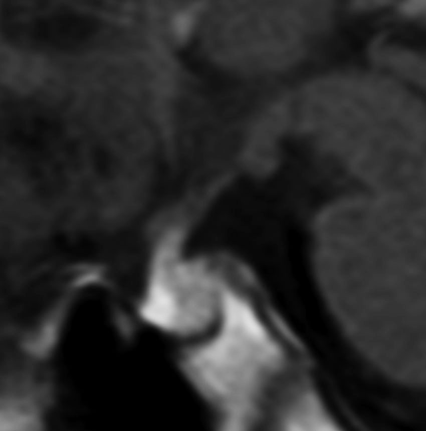
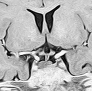
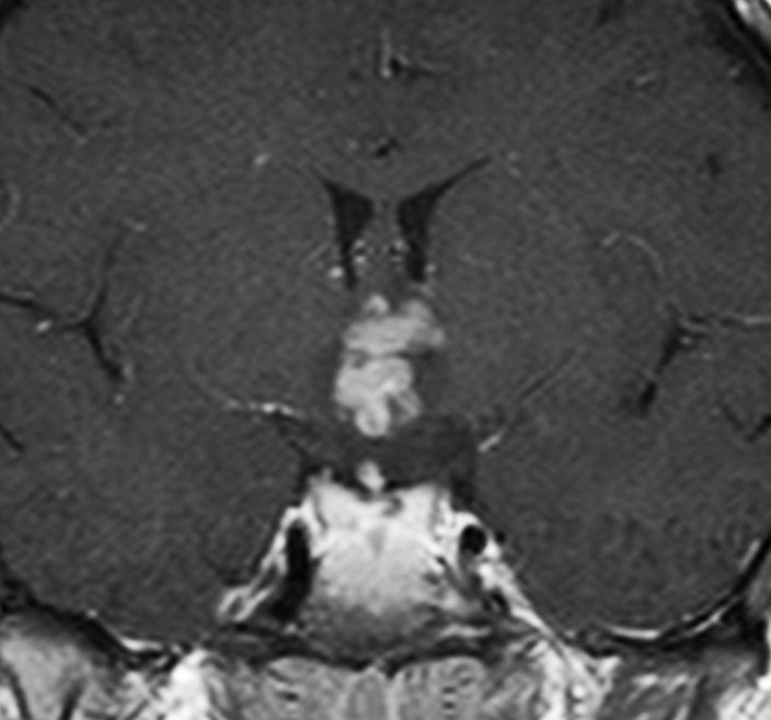
血清HCG-beta 4.5mIUで,下のMRIに見られるように第3脳室(視床下部)のグリオーマ(毛様細胞性星細胞腫)と見間違うような腫瘍でした。下垂体柄は太くなっていないし下垂体のサイズも普通です。もちろん水頭症もありませんので,開頭手術で生検をしてgerminomaの診断を得ました。

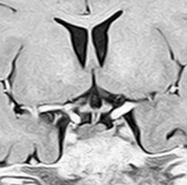
上のMRIで視神経交叉が腫大しているのが解りますが,下のMRI CISS画像では更に明らかです,左右の視神経と視交差と視索が腫大していました。視力を計ったら,右0.6,左1.5でいびつな視野欠損がありました。腫瘍はのう胞形成しながら左の視床下部から大脳基底核にも浸潤していました。

病理診断確定後に,ICE化学療法3コースと全脳照射 whole brain 25.2Gy/14分割をしました。全脳照射をしたのは大脳基底核浸潤が見られたからです。

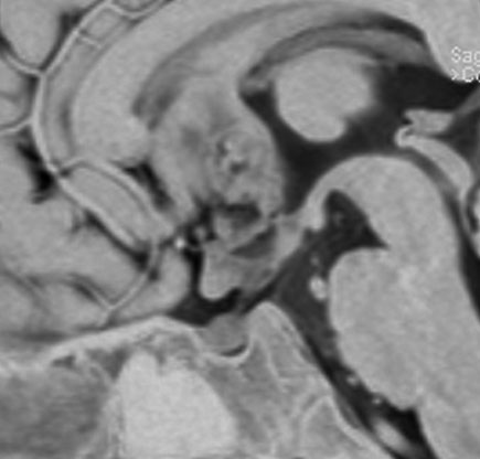
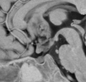
6年以上発ちますが再発はありません。右の画像のように視神経交叉のサイズは正常化しました。下垂体は左に偏っているので,おそらく右側の下垂体にも腫瘍があったのでしょう。汎下垂体機能低下症はありますが,副腎皮質ホルモンの補充は必要なくて,部分的下垂体機能低下症です。この幼児期の低身長が視床下部性であったのか,下垂体前葉機能低下によるものであったのかは不明です。治療後に高ナトリウム血症になる傾向があり,思春期早発症のために成長ホルモンを使用しながらLH-RHアナログを使うという事もしていますから,おそらく視床下部性のGHDであったのでしょう。

3. 8歳で低身長で発症した例

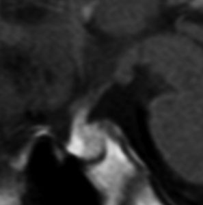
8歳で身長の伸びが悪くなり3年間診断されませんでした。12歳時に軽度の尿崩症を併発して発見されたものです。下垂体前葉機能はGH不全の他にはありません。


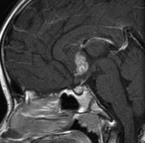
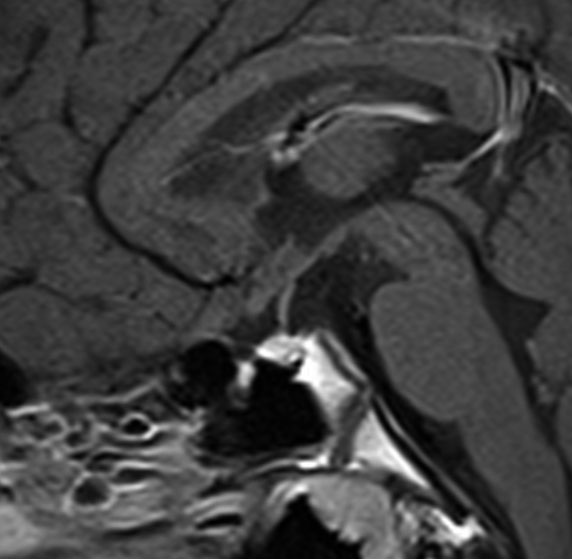
非常に典型的な下垂体後葉germinomaの画像です。萎縮して残った前葉線組織が前方にありガドリニウム増強されます。薄く増強されているトルコ鞍背部がgerminomaです。経蝶形骨洞手術で下垂体底面をもちあげて生検を行いました。
CBDCA/VP-16 3コースの後で,全脳室照射25.2Gy/14frを加えて治癒しています。成長ホルモンで身長も伸びて,11年が経過し,社会人として普通に暮らせています。

 

Copyright (C) 2006-2026 澤村 豊 All Rights Reserved.