髄液播種したジャーミノーマの進展例 advance case
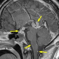
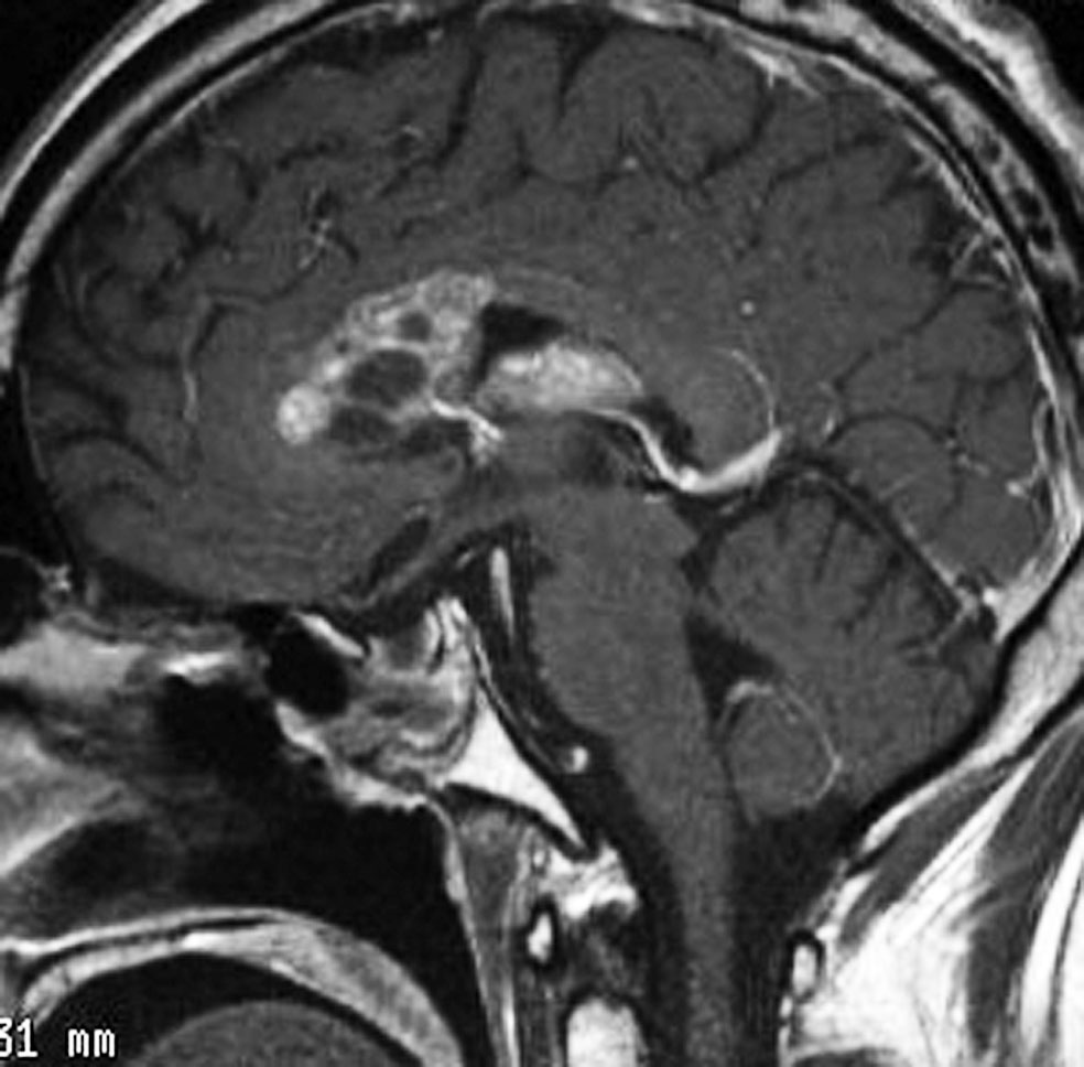
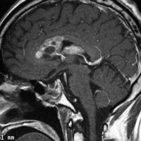
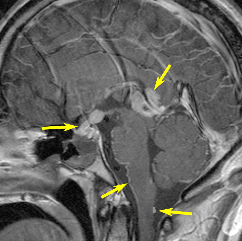
20歳くらいから尿崩症があり,2年後に汎下垂体機能低下症と軽度の認知機能低下を生じました。脳室壁と松果体,神経下垂体にジャーミノーマが広がっているのですが,脊髄背面と脳幹部の周囲にも腫瘍結節が見られました。脳室上衣以外の部位に腫瘍があるので,播種を疑いました。ジャーミノーマの播種というのは実際にはとても珍しくてなかなかみないものです。HCGは軽度の上昇,鼻孔から下垂体部分を生検して病理確定診断して,化学療法と脳脊髄照射 25.2Gy をしました。腫瘍は1コース目の化学療法でほとんど消失したので,他の組織型の悪性混合性胚細胞腫瘍ではないと考えられます。
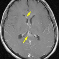
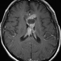
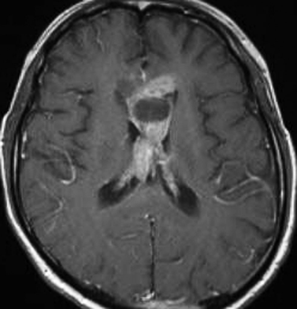
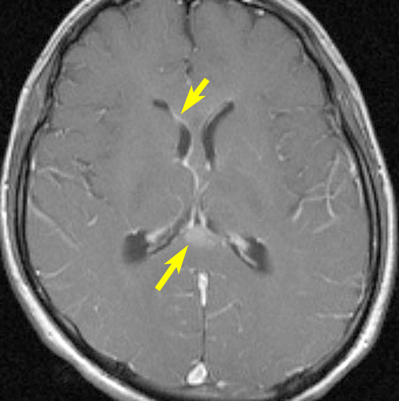
3年後に脳室壁に再発しました。脳梁と脳弓の機能低下があり認知機能低下は高度でした。松果体と神経下垂体には再発はありません。


脊髄にも再発は見られませんでした。
この再発の原因には,側脳室前角の先端部が照射野に十分含まれなかったという疑念があります。
考案:この患者さんが教えてくれたこと
- advanced caseで治療抵抗性のジャーミノーマというものがあること
- やはり脳室壁は再発の好発部位であること
- 脳脊髄液播種はあってもコントロールできることです

羽幌町 旧太陽小学校円形ドームの天井
銃弾の穴とか蛇の抜け殻とかいっぱい



