治療後に生じること
生存者を,
小児がん経験者 CCS childhood cancer survivorといいます
生きていて困ったことがあって,どうしたら困ったことを少なくすることができるだろうかということを考えるページです
治療を受けてから10年後,20年後に生じる晩期障害があります
化学療法と放射線治療を受けた子どもたちは20年以上にわたる経過観察が必要です
認知機能障害・高次脳機能障害・学習障害・精神発達遅滞
- 脳腫瘍の治療後に知能が低下する可能性があるかどうかの判断はとても難しいです
- それを治療前と治療後に,担当の先生にしっかり聞いておきましょう
- 原因は,脳腫瘍そのものによる脳組織破壊,手術による脳障害,水頭症,放射線治療,メソトレキセート化学療法などです
- それを避けるには,脳腫瘍をなるべく早く治療する,手術で脳を傷つけない,水頭症はなるべく早く改善する,メソトレキセートを使わないことです
- メソトレキセート髄注によるわずかな白質損傷と脳萎縮は目立たないです,しかし,捉えどころのない高次脳機能障害が生じていることがあります
- 治療後,何年にもわたって徐々に悪化するのはほとんど放射線治療のためです
- 乳幼児の脳は,髄鞘形成が未熟で神経細胞も増えている途中なので,特に放射線に対して弱いです

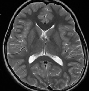
3歳時に28.8グレイの頭蓋照射を受けた子の大脳全般の萎縮性変化です。播種があった例なのでこの放射線治療は救命のためには必要なものでした。
- 放射線治療を受けた年齢,照射の範囲,照射総線量,一日線量,被照射部位で決まります
- 放射線治療後に数年以上,時には10年以上かかって徐々に認知機能が低下して行きます
- 小学生で治療を受けて,青年期になってから注意欠陥障害になることもあります
- 学童期に同じ40グレイの照射を受けても,腫瘍が第3脳室にあり視床下部と乳頭体が被爆した場合と,小脳半球に腫瘍あった場合では,知能予後は全く異なります
- 前者の方が重く,後者はほとんど何も起こりません
- 3歳の子どもで,小脳腫瘍への放射線治療では学習障害で困ることは少ないです,でも,大脳基底核腫瘍だと普通のクラスで勉強することはできなくなります
- 7歳でも全脳照射を30グレイくらい受けると,学校での学習がかなり難しくなるでしょう
- でも15歳だと全脳照射30グレイでも社会的に自立できることが期待できます
- 小学校高学年で治療を受けて,中学高校を普通に卒業して職に就いても,20歳くらいになると働けなくなるような進行性の高次脳機能障害があります
- そういう時には,20歳を越えてから障害者年金を受け取ることができます
それでも放射線治療を選択するということはソフィーの選択になります
成人になってからの障害者年金の受け取り方はここをクリック
内分泌の障害・ホルモンの障害・代謝の障害
- 多くの脳腫瘍の子どもたちで,腫瘍の治療後早期に内分泌検査の必要があります
- 直接原因の一番は,脳腫瘍が間脳下垂体に発生するためです
- 頭蓋咽頭腫や胚細胞腫瘍が多いです
- 2番目の原因は,放射線治療です
- 全脳照射,全脳室照射,脳脊髄照射では下垂体ホルモンの分泌が低下することがあります
- 成長ホルモンの障害にもっとも気をつけます
- 脳脊髄照射を受けると成長ホルモンが出なくて,低身長になってしまう可能性はかなり高いです
- 下垂体に,30グレイ以上の照射が入ると,ほとんどの下垂体ホルモンの分泌が低下する可能性があります
- 18グレイから30グレイくらいですと,成長ホルモン欠損症と性腺刺激ホルモン欠損症になる可能性が高いです
- それ以下の線量ではあまり困ったことにはなりません
- 低年齢では12グレイくらいでも成長ホルモン欠損症を生じることがあります
- 思春期ですと25グレイくらいまでの照射では成長ホルモン欠損症がでることは稀です
- これはだいたい2年くらいの間に明らかになります
- 脊髄照射で甲状腺が被爆すると,甲状腺機能不全になることが多いです
- 下垂体機能が治療後に正常でも,数年間かかってゆっくり低下していきますから,ホルモンの検査は放射線治療後5年以上は必要です
- 視床下部の被爆でも下垂体ホルモン分泌不全は生じます
- 視床下部の被爆では,肥満と高脂血症,糖代謝異常(糖尿病)などが生じることがあります
- 視床下部の低線量被爆では,逆に性早熟(思春期早発症)が生じることがあります
- 3番目の原因は化学療法です
- アルキル化剤(シクロフォスファミドやイフォスファミド)という制がん剤は,原発性性腺機能低下症を生じることがあります
- ステロイドやシスプラチンやカルボプラチンで,肥満や高脂血症になることがあります
放射線治療で下垂体機能が改善することがある
- ジャーミノーマの初期の段階で,下垂体機能が低下している場合です
- 化学療法と低線量照射(下垂体に25グレイ/14分割とか24グレイ/12分割)をすると,その後に下垂体前葉機能が正常化する子どもがいます
- 尿崩症も改善することがあります
- ですから,尿崩症で発症したジャーミノーマの治療は急ぎます
- 下垂体機能を守るためです
成長ホルモンを使ったら脳腫瘍が再発するという根拠はありません
- 実験研究で成長ホルモン(GH)は細胞分裂を促したり,遺伝子に障害を受けた細胞がこわれる(アポトーシス)のを妨げます
- そのことから,脳腫瘍を治療したあとに,成長ホルモンを投与すると再発が増えたり,新たな腫瘍が発生するという危惧がありました
- でも,成長ホルモンを投与することによって脳腫瘍が再発したり新たな腫瘍ができたりすることはありません
- とくに頭蓋咽頭腫やジャーミノーマでは,再発リスクと成長ホルモン投与の関係が全く証明されていないのに,成長ホルモンの投与を長期にわたって止められてしまう子どもが多いです
- 脳腫瘍経験者はたくさんの後遺症を抱えて生きていく子どもが多いのに,成長ホルモンを使わないとさらに低身長や肥満という障害が加わってしまいます
- ですから,成長ホルモンが足りない子供たちに成長ホルモンを使うことに心配はいりませんし,早く使用するべきです
脳血管障害
- 放射線被爆で脳血管の内膜が肥厚して,動脈が狭くなる(狭窄)ことによって生じます
- ウィリス動脈輪というところが照射範囲に含まれた時に生じます
- 頭蓋咽頭腫,胚細胞腫瘍,ジャーミノーマなど鞍上部に発生する腫瘍への照射後に多いのですが,これはウィリス動脈輪が被曝するからです
- 脳梗塞を生じることがあります
- もやもや病という病気に似たような内頚動脈狭窄症が多いでしょう
- 低年齢で放射線治療を受けた子どもに多いです
- 稀なものとして,手術で内頚動脈や中大脳動脈を引っ張ると,解離性動脈瘤が生じることがあります,これは小児では多いことですが,ほとんどの脳外科医の先生は知らないです
- 10歳以下で放射線治療を受けた子どもに多いです
- ウィリス動脈輪のに40グレイくらいの照射が入ると頻度が高くなるでしょう
- 放射線治療後10年以内くらいに生じます,でも脳梗塞となり発症するのはまれです
- ですから,脳腫瘍の放射線治療後10年くらいまでは,MRAという検査で動脈が狭くなっているかどうかをみる必要があります
- でも実際にはおよそ5年以内で,動脈狭窄が生じるかどうかはわかります
生後7ヶ月で髄芽腫になりました。手術全摘出して,化学療法して,3歳になる頃に放射線治療をしました。大脳には18グレイが入っています。6歳の時に前頭部に放射線誘発髄膜腫を生じました。その後に,左内頚動脈が狭窄して片側のモヤモヤ病(ウィリス動脈輪閉塞症)になりました。脳血流は保たれていて20年以上見ていますが脳梗塞にはなりませんでした。照射時の年齢が幼いとかなりの低線量でも脳動脈閉塞は生じます。
放射線誘発海綿状血管腫,微小静脈閉塞,血液漏出
- 放射線治療を受けた小児患者の4割以上に海綿状血管腫が発生したとの報告があります
- 長期観察をしていると実際に非常に高頻度にみます
- MTX メソトレキセートを使用していると発生頻度が増えます
- 海綿状血管腫は,放射線誘発2次腫瘍というよりも,放射線による脳内小血管損傷による血管障害として捉えた方がよいです
- T2スターというMRI画像で発見できます
- 低信号(黒いシミみたいなもの)として脳内たくさん見られることがあります
- これは血液の中の鉄分が脳に滲み込んだ形跡をみているものです
- だから,海綿状血管腫とは言わないで,blood leak(血液が漏れた痕跡)と読んだ方がいいものです
- 海綿状血管腫というと腫瘍みたいだからです
- 年月の経過とともに数が増加します
- 海綿状血管腫は発生しても何ら症状を呈することはありません
- 治療をせずに放置します
- まれに小さな脳出血を生じますが,経過を見れば血腫は自然に吸収されます
- またサイズが大きな皮質を侵す海綿状血管腫は症候性てんかんを生じることがあります
- とても大きなもの2から3cm以上くらいになると摘出を考えることもあります
- でもほとんど手術などしないでほっておきます
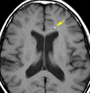
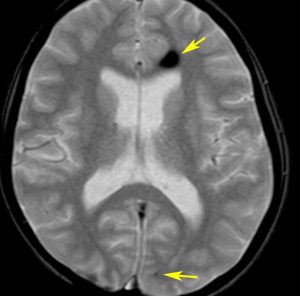
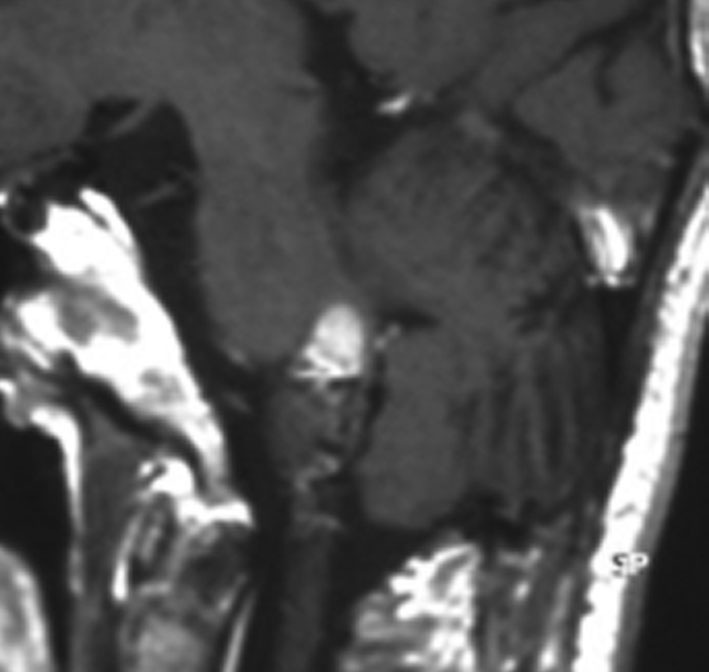
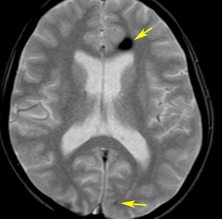
髄芽腫に対する脳脊髄照射36グレイ,8年後のMRI画像です。右前頭葉にごく小さな出血がみられます。その周囲に黒くにじむようなヘモジデリン(鉄)の沈着があります。よく見ると大脳の数カ所に同じような所見がありました。これは脳照射後の微小な静脈の閉塞に起因する血管からの微小な血液漏出 blood cell leakageです。症状を出すこともなく心配ありません。放射線治療後多発性海綿状血管腫と表現されることもあります。
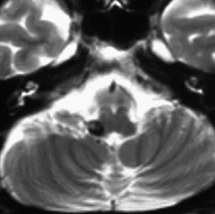
左から,33歳時,35歳時,39歳時の延髄出血です。11歳の時にジャーミノーマで全脳室照射を40グレイ受けました。ジャーミノーマは治ったのですが,延髄左側に海綿状血管腫が22年後に発生して,延髄出血を繰り返しました。もちろん手術などはしません。自然に吸収されてまた落ち着きます。
2次腫瘍(二次がん) とても稀だからあまり気にしない
- 放射線誘発腫瘍と化学療法誘発腫瘍があります
- 放射線治療によって生じるものが多いです
- 多くは髄膜腫などの良性腫瘍です
- また手術摘出すれば治ります
- でも,放射線誘発髄膜腫はグレード2の確率が高いので,発見したら早めに摘出します
- まれに,膠芽腫などの悪性腫瘍が発生することがあります
- やはり低年齢で放射線治療を受けた子どもに多いです
- 広範囲照射(全脳照射)例に多いです
- 定位放射線治療でも生じることがありますが,0.01%以下でしょう
- 40グレイ以上の照射で生じる可能性が高くなります
- 治療後2年で新たな腫瘍ができたとか,治療後20年後に悪性腫瘍ができたとか,時期は様々です
- だいたい5年から10年後くらいに多いです
- 大量の化学療法や長期にテモゾロマイドを使用すると白血病になることがあります,可能性はものすごく低いです
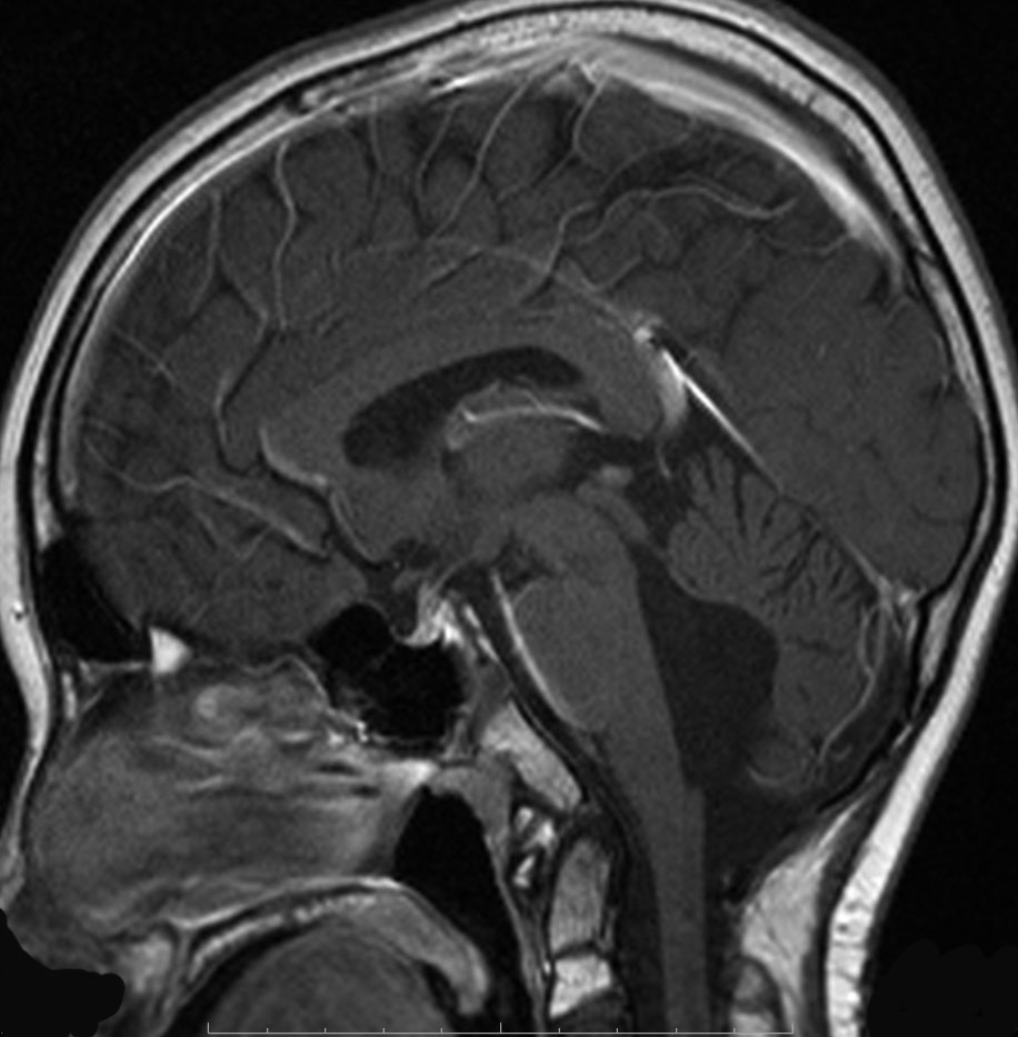
2歳6ヶ月,18グレイの全脳照射の影響
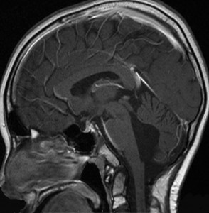
2001年,2歳1ヶ月で発症した退形成性上衣腫の男の子でした。腫瘍は第4脳室から左小脳橋角槽に伸展していましたが,全摘出しました。術後には小脳失調も無言症も脳神経麻痺もありませんでした。当時,退形成性上衣腫には脳脊髄照射が標準的治療でした。術後は何とかICE化学療法でつないで,2歳6ヶ月の時に,1日線量1.8グレイで,脳脊髄照射18グレイ,後頭窩23.4グレイ,腫瘍床12.6グレイ,腫瘍床総線量54グレイの放射線治療を行ないました。大脳と下垂体の被爆は18グレイ/10分割となります。
この画像は14歳の時のものです。大脳の萎縮は全くなく,小脳のダメージは最小限です。内分泌障害も無く甲状腺ホルモンも補充していませんが,背骨の伸びが悪いです。
5歳時 FIQ 79, VIQ 79, PIQ 85
14歳時 FIQ 75, VIQ 86, PIQ 68
神経心理学的検査からは,知能低下,記憶障害,注意障害があると診断されました。言語理解IQ 86,知覚統合IQ 71,注意記憶IQ 76,処理速度IQ 72です。全脳照射の18グレイばかりではなく,発症時の水頭症や小脳のダメージによる学習障害も加わっているのかもしれません。問題となってくるのは小学校高学年からですから,かなり長期的な観察が必要です。多くのお医者さんはせいぜい治療が終わってから自分では数年の観察しかしないので,治療を担当する先生がこのようなことを知らない可能性があります。
2001年で2歳発症の退形成性上衣腫の生存者はほとんどいないと言っても過言ではないくらいです。退形成性上衣腫を治療するためには,この放射線量は当時としては世界でも最低線量でしたでしょう。
放射線治療後に生じた稀な実例はここをクリックすると見れます
髄芽腫の患児の知能予後 1980年代
Hoppe-Hirsch E, et al.: Medulloblastoma in childhood: progressive intellectual deterioration. Childs Nerv Syst 6: 60-65, 1990
1990年の有名な論文です。1987年までにHôpital des Enfants-Maladesで治療された120例の髄芽腫の長期観察結果です。放射線治療をきちんと受けた患児の10年時点での生存割合は64%でした。髄芽腫治療5年後には,42%の患児でIQは80%を下回る,10年後には85%の患児でIQは80を下回ると記載されました。治療10年後で,わずか15%の患者さんでしか IQ 80を保てないということは,大部分の髄芽腫経験者が社会的な自立ができないという事実を示唆していて,衝撃的な結果でした。
髄芽腫の患児の知能予後 1990年代
Ris MD, et al.: Intellectual outcome after reduced-dose radiation therapy plus adjuvant chemotherapy for medulloblastoma: a Children’s Cancer Group study. J Clin Oncol 19:3470-3476, 2001
全脳照射の治療線量を下げる努力がなされてからの論文です。比較的低線量と考えられている23.4グレイの脳脊髄照射と後頭窩照射 posterior fossa boost 32.4Gyを受けた髄芽腫 (PNET含む)の子どもたち43人の知能予後が追跡されました。1年あたり FSIQ -4.3の知能低下があったとのことです。VIQで-4.2 VIQ points/year, -4.0 NVIQ points/yearです。7才以下の子どもでこの知能指数 IQの低下はより著しかったそうです。この線量であっても脳脊髄照射はかなりの知能低下を招くと結論されています。
「解説」論文中のグラフを見るとこの知能低下は何年も継続して悪化して行きます。もし1年間にIQ 4.0低下するとすれば,10年で40です。100のIQは,60まで低下する可能性があるということです。この後,7才以下の小児には脳脊髄照射線量を18グレイまで下げる努力がなされています。さらに,後頭窩照射という方法ではなく腫瘍床照射に改善されています。
文献
陽子線治療後の下垂体ホルモンの低下
Vatner RE, et al.: Endocrine Deficiency as a Function of Radiation Dose to the Hypothalamus and Pituitary in Pediatric and Young Adult Patients With Brain Tumors. J Clin Oncol. 2018
2003年から2016年に陽子線治療を受けた小児と若年成人189人の追跡結果です。130人が髄芽腫で脳脊髄照射を受けていました。他には上衣腫,低悪性度グリオーマなどへの局所照射です。照射後4年でのホルモン欠損は,成長ホルモン 37%,甲状腺ホルモン 21%,副腎皮質ホルモン 7%,性腺刺激ホルモン 4%でした。何らかのホルモン欠損があったのは49%です。低年齢時ほど,視床下部下垂体への線量が多いほどホルモン不足が生じやすいということです。治療後の時間経過が長くなるほど間脳下垂体機能不全の率が高くなって行きます。
小児期に放射線治療を受けると高率に髄膜腫が発生する
Bowers DC, et al.: Morbidity and Mortality Associated With Meningioma After Cranial Radiotherapy: A Report From the Childhood Cancer Survivor Study. J Clin Oncol 2017
小児がん患者で頭蓋に放射線治療を受けたことがある4,221人が調査されました。169人に199個の髄膜腫が発生していました。放射線治療を受けてから中央値22年後に髄膜腫が発見されています。40歳までに髄膜腫が発生する確率は5.6%とのことです。女性に多くて,放射線治療を受けた年齢が低いほど,20グレイ以上で線量が多いほど髄膜腫が発生する可能性が増します。髄膜腫が発生すると20%くらいの患者さんで,てんかん発作など何らかの症状を残します。髄膜腫はほとんどが良性ですが,5年生存割合は91%で,通常の髄膜腫よりは低いものでした。
CT検査の被曝で,二次癌としての白血病や脳腫瘍が発生する
Radiation exposure from CT scans in childhood and subsequent risk of leukaemia and brain tumours: a retrospective cohort study. Lancet 2012
診断で使うCTは放射線なので1回の検査で5-30mSv被曝します。細かいCD-CTAなどを撮影すると被曝量は大きくなります。小児では,50mGy以上で後々の白血病や脳腫瘍の発生率が3倍高まるといわれています。乳幼児では認知機能の発達も遅れます。それを知らないで,CT検査を10回以上繰り返された小児脳腫瘍患者を何人も見たことがあります。医師は,そんな何年も後のことなど気にしないのです。









