神経鞘腫の病理 pathology of schwannoma
神経鞘腫 schwannomaの一般的な知識
神経鞘腫は末梢神経のシュワン細胞より発生する腫瘍です。原発性脳腫瘍中およそ10%と頻度の高い腫瘍で,成人20〜50歳代に多いです。前庭神経(第8脳神経いわゆる聴神経)に最も頻度が高く,次いで三叉神経,稀に顔面神経,舌下神経,迷走神経(頚静脈孔腫瘍)にも発生します。脊柱管内では,頸部や腰部の脊髄後根にも発生します。両側の聴神経(第8脳神経)に腫瘍がある場合や多発性神経鞘腫では,神経線維腫症2型 neurofibromatosis type 2 (NF-2)が疑われます。神経鞘腫の一部は,第22染色体長腕上のNF-2遺伝子の欠失あるいは変異によって発生するとされています。また,この細胞骨格を形成する蛋白 merlinをコードするNF-2遺伝子は,髄膜腫や脊髄上衣腫の発生にも関与すると推定されています。
長嶋和郎の病理教室

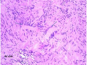
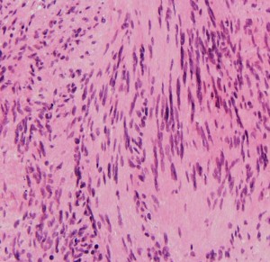
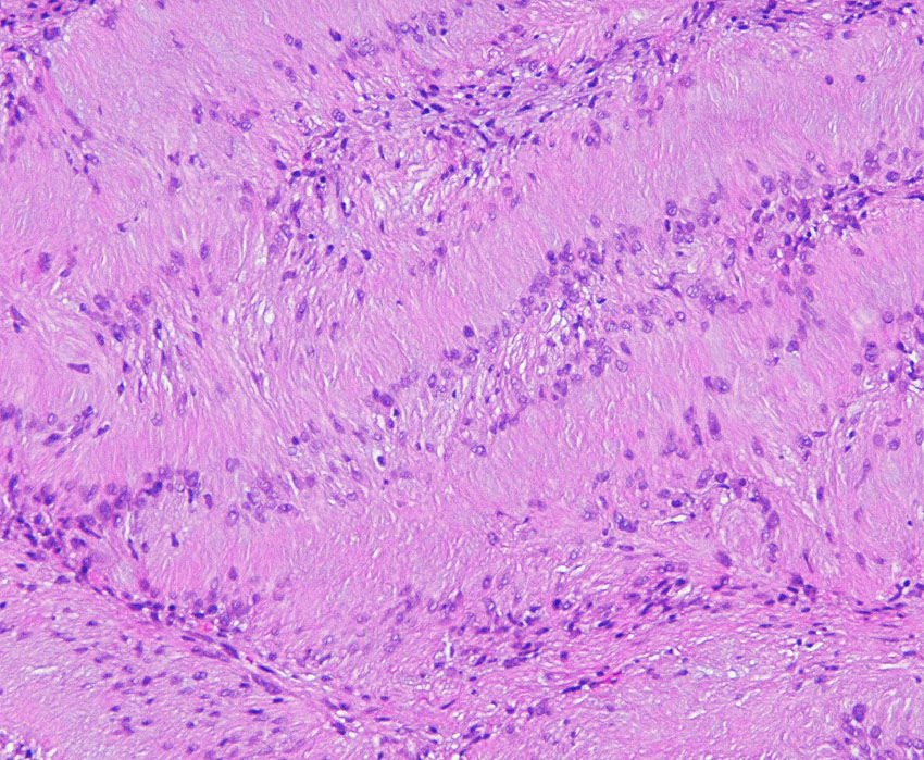
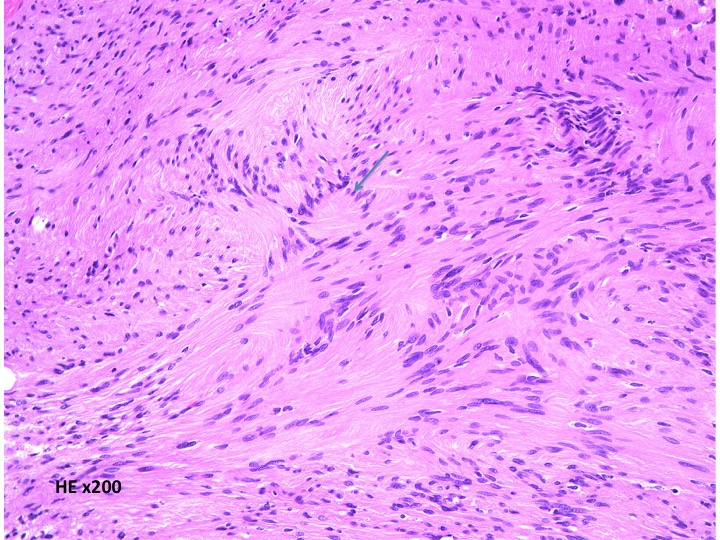
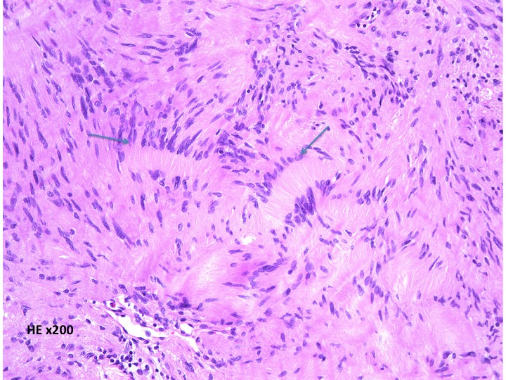
細胞核の柵状配列 (矢印 nuclear palisading). HE x200
画像をクリックすると拡大します

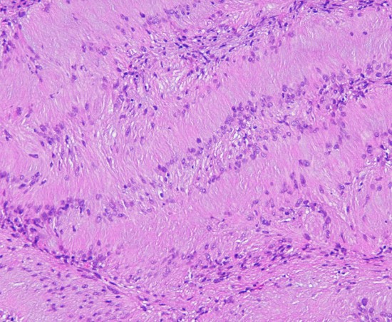
細胞核が円状に並んだ形態で、いわゆるVerocay bodyと呼ばれる所見(矢印)。 HE x200.

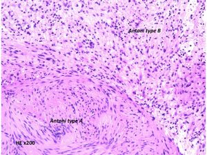
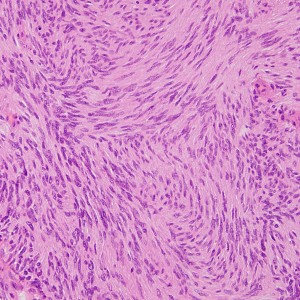
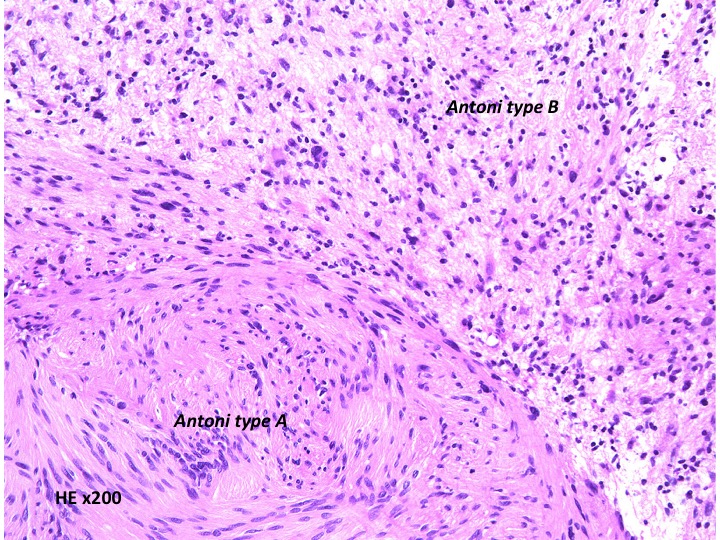
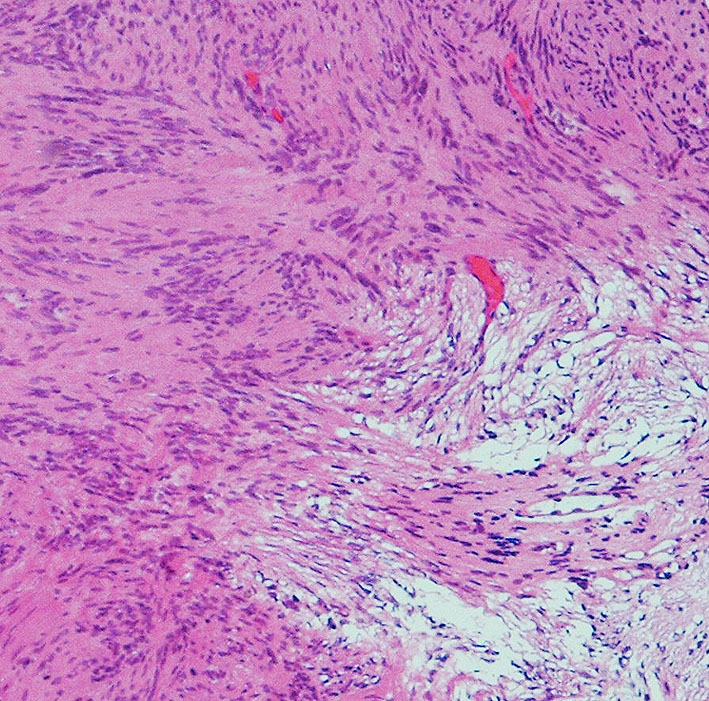
Antoni type A(密な部分)とAntoni type B(そな部分)の混在

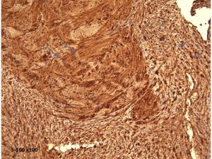
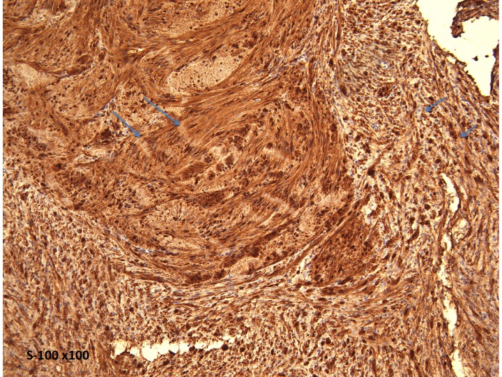
腫瘍細胞はS-100蛋白の免疫染色で陽性を示します。細胞密度が高くnuclear palisadingを示すAntoni type Aの部位(長い矢印)と細胞が比較的粗に配列するAntoni type Bの部位(短い矢印)でも陽性となります。S-100 x100.
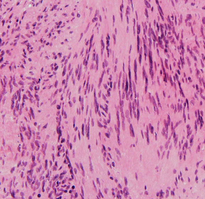
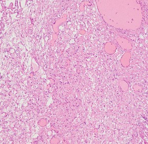
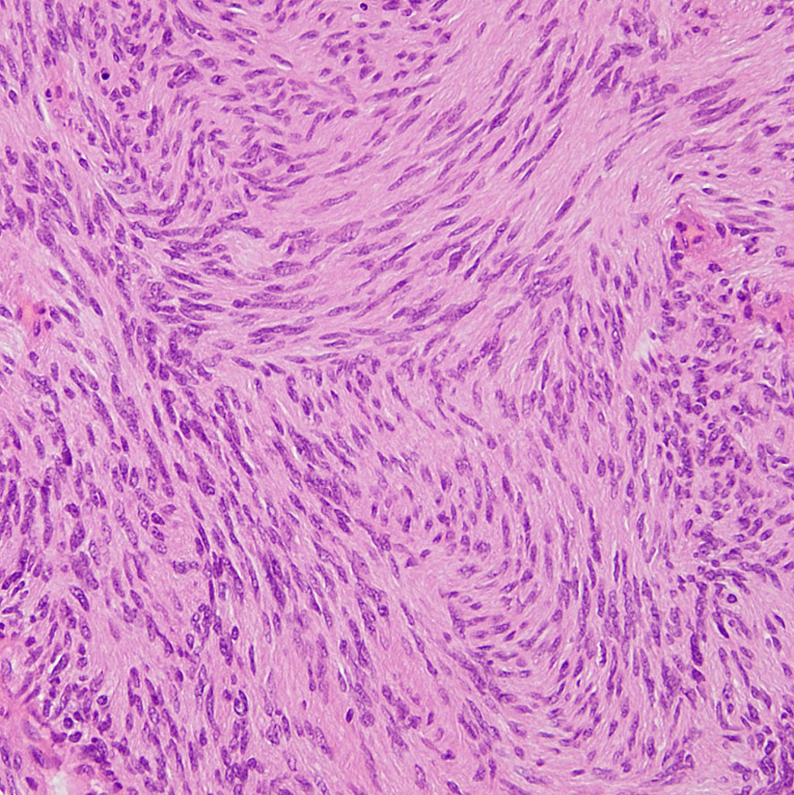
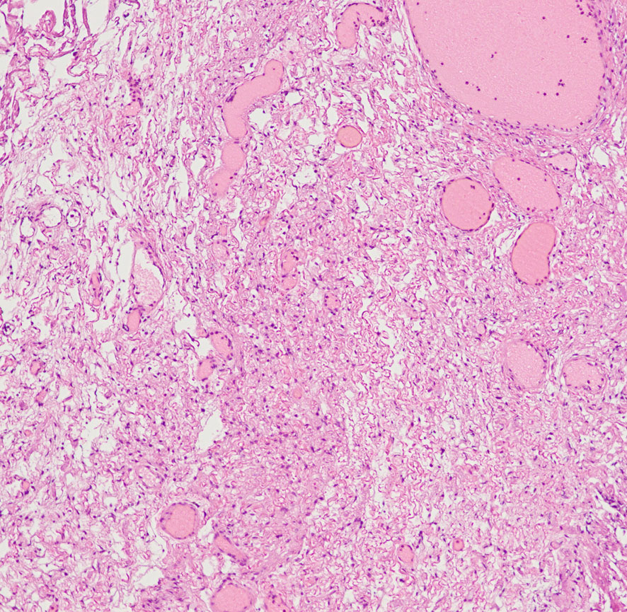
紡錐型の核を有する腫瘍細胞で構成されます。左側の写真のように,古典的病理所見として,束状 fascicular に配列する密な組織である Antoni A Typeと網状 reticular で疎な組織である Antoni B Typeが混在するパターンを示します。神経鞘腫では多少の核の異型性がみられても悪性像とはいえません。嚢胞を形成したり,時には毛細血管拡張 simple hemangioma を思わせるような著明な血管の増生があり腫瘍内出血をきたすことがあります。
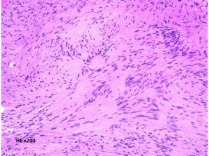
隣り合う細胞核の柵状配列 nuclear palisade arrangement (palisading) は,髄膜腫との鑑別での大切な所見です。
30代男性の迷走神経鞘腫です。右のように活発に増殖してstreaming patternをとる部分と,左のようにのう胞形成しながら退縮変性 degenerative change している部分が混在しています。若年者の神経鞘腫でも退縮変性はみられます。




