髄膜腫の病理 pathology of meningioma
大切なこと
- 臨床医は,まず髄膜腫がグレード1か2かに注目します
- グレード1であれば,MIB-1染色率をみます,MIBが5%を超えると再発率は高いです
- 手術初見で,脳に浸潤があればそれでグレード2です
- 病理診断でグレード2とされれば再発の確率はかなり高いといえます
- グレード3(肉腫)はほとんどないので日常的には気にしません
- でもグレード3という病理診断がついたら,それは患者さんが助からないという意味になりますので,できることは何でもして治す方法を考えます
- 放射線治療後に再発してグレードが上昇することはしばしば経験します
- グレード1の髄膜腫が再発を繰り返すするたびに,グレードが上がることがあります,これは最初から悪性であったわけではなく,途中で悪性化をきたす遺伝子変異が生じたためです
髄膜腫のWHO分類
- Grade I:meningothlial, fibrous (fibroblastic), transitional (mixed), psammomatous, angiomatous, microcystic, secretory, lymphoplasmacyte-rich, and metaplastic meningiomas
- Grade II : atypical meningioma (mitotic index > 4 in1 high-power fields), clear cell meningioma, chordoid meningioma
- Grade III : anaplastic (malignant) meningioma (mitotic index > 20), rhabdoid meningioma, papillary meningioma
改正された注意点:古くから脳への浸潤がある髄膜腫は再発率が高いことが知られていました (Perry 1999)。新しい定義では,Brain invasion by a meningioma is now an independent criterion for WHO grade II. 組織型に関わらず,脳への浸潤がある髄膜腫はgrade II です。この分類では再発率は高いものの,患者の死亡割合と関連するものではないことに注意する必要があります。高い増殖能を有する髄膜腫は mitotic index (MIB-1で代用) によってgradingを決めます。
逆に,grade IIIの髄膜腫は肉腫と考えられ死亡割合(腫瘍死)は高いです。grade III 髄膜腫は脳への浸潤や脳血管への癒着浸潤,頭蓋骨,筋軟部組織,頭皮に深く浸潤して再燃を繰り返します。また隣接する硬膜などの原発巣近傍再燃のみならず広範に頭蓋内組織へ転移したり,肺などへの他臓器転移もあります。この病理診断を得た場合には,ガン(肉腫)であることを患者に説明して,可能であれば再手術にて根治的郭清手術を行なうことを検討しなければなりません。少なくともgrade IIとIII(退形成性髄膜腫,ラブドイド髄膜腫,乳頭状髄膜腫)の髄膜腫の組織型は記憶に留めておいた方がよいでしょう。
画像はクリックすると拡大して見えます
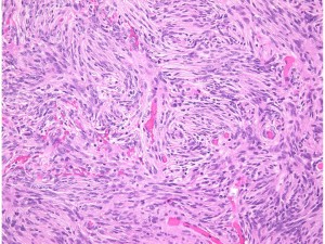
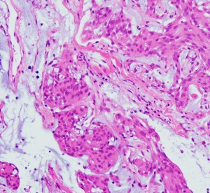
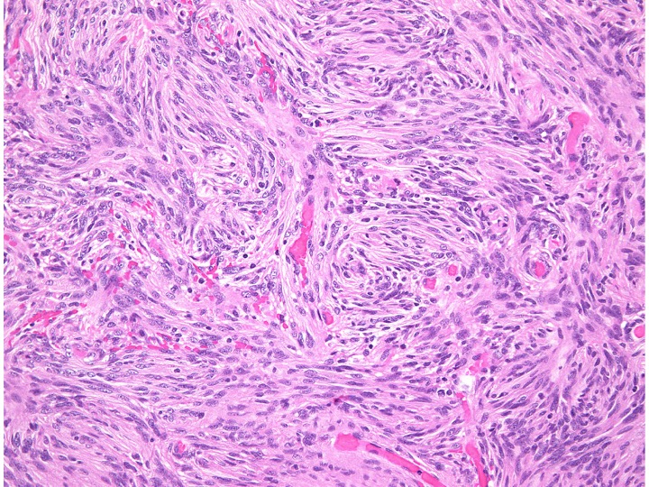
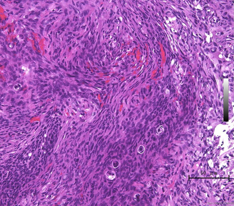
storiform pattern(長嶋和郎先生の病理教室)

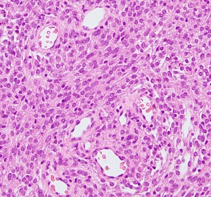
紡錘形細胞が放射状に配列する所見でstoriform patten (花むしろ)、またはcartwheel (車輪)状に似た様子が見られます。軟部腫瘍であるfibrous histiocytomaで良く見られるものです。本例ではCP-angle meningiomaに見られた所見で、fibrous meningiomaの診断です。MIB-1 indexはやや高く8%でしたが、壊死や異型性は見られず、Grade 1相当とみなされます。HE x200

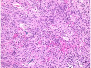
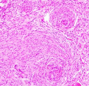
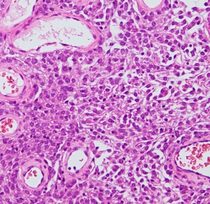
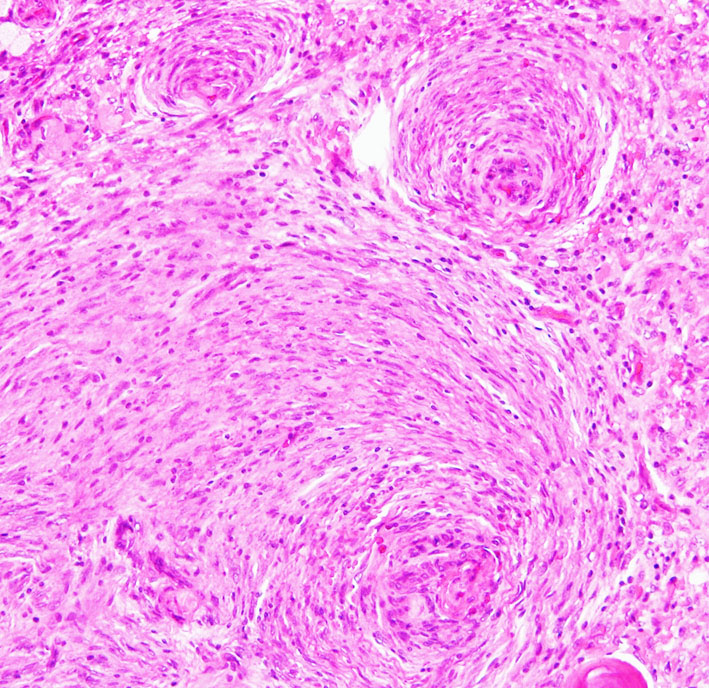
Fibrous meningiomaですが、渦巻状(whorl, long arrow) patternや玉ねぎ茎状 (onion bulb, short arrow) patternなどが見られます。HE x200
meningothelial meningioma : whorl pattern 渦巻き形状
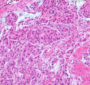
他の部分にはfibrous part も見られたtransitional meningiomaの病理像で,meningothelial partです。髄膜腫では各細胞間の胞体の境界が明瞭でないことが特徴です。arachnoid cellに類似するとされるmeningothelがシート状に配列し,細胞間境界がはっきりしない合胞細胞 syncytial cell となっているのが特徴です。
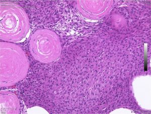
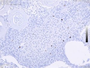
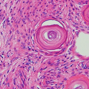
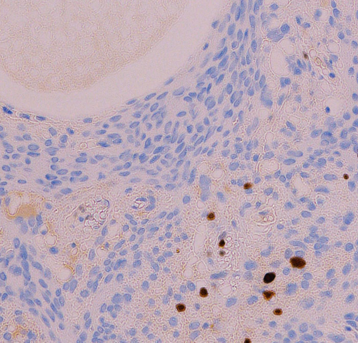
meningothelial meningioma : collagen ball コラーゲン・ボール

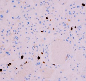
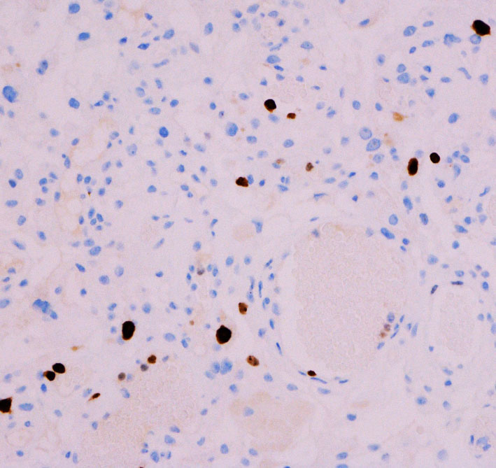
whorl patternが変性すると,無機質な構造へと変化します。meningothelial meningiomaの一部像として重要な所見です。これはとてもゆっくり増大する良性の髄膜腫の特徴でもあります。下の右側のMIB-1(Ki-67)染色では1%くらいが陽性で低値と言えます。
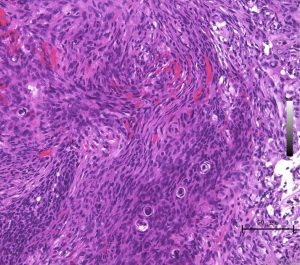
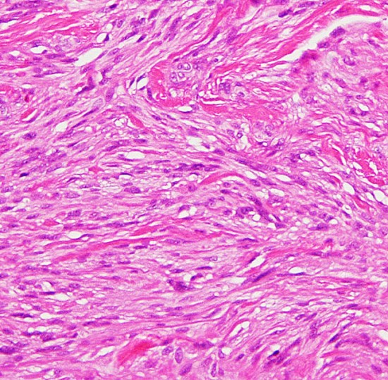
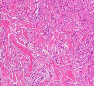
fibrous meningioma 線維性髄膜腫
spindle cellの増殖からなるfibrous meningiomaです。神経鞘腫 schwannomaとの違いは,nuclear palisadingが見られないことです。collagen fiberに富む部分(右側)

transitional typeとの混在で,meningothelial cell nest(右側)も混在します。一部にnuclear atypiaも見られますが,atypical meningiomaの診断には至りません。
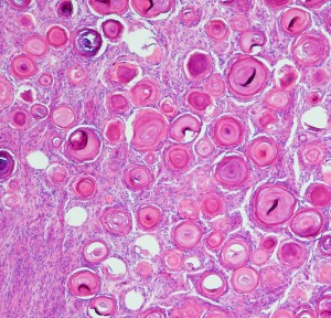
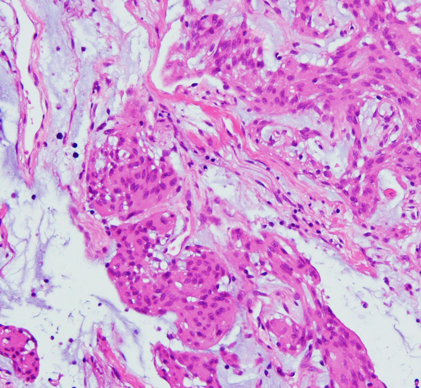
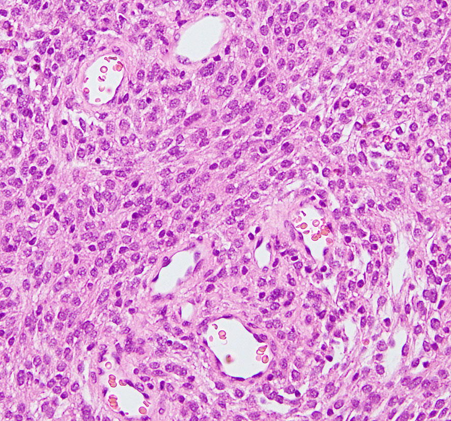
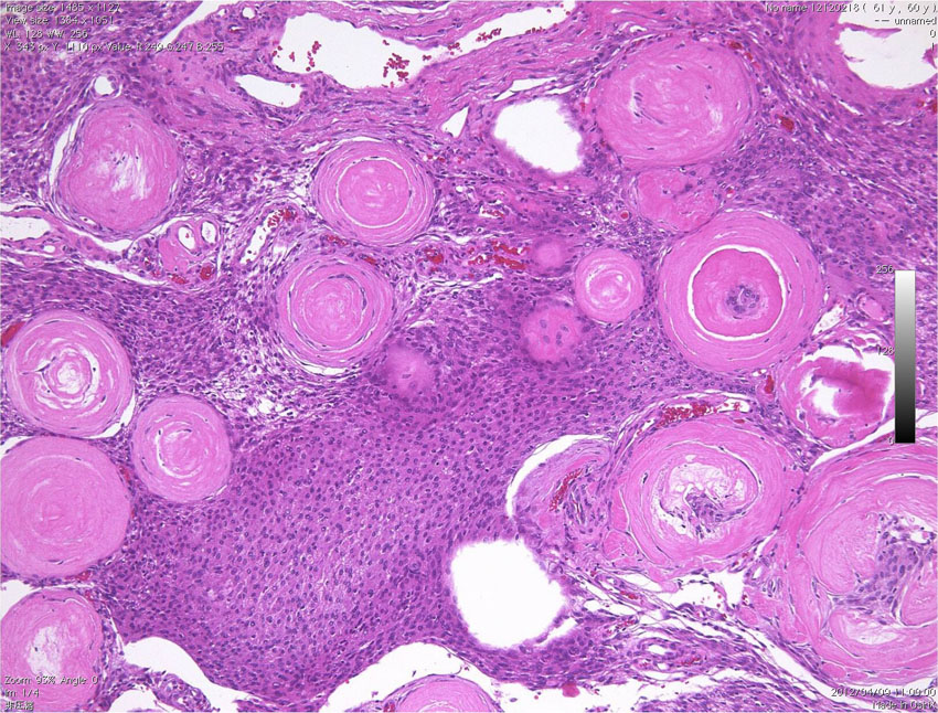
psammomatous meningioma 砂粒腫性髄膜腫
たくさんの砂粒体 psammoma が見られる髄膜腫です。顕微鏡手術では手術中に細かい砂のようなものとして認識されます。この砂粒体は徐々に石灰化 carcification します。写真の中の紫色に変化しているところは,砂粒体が中心部から石灰化して行く過程をみているものです。
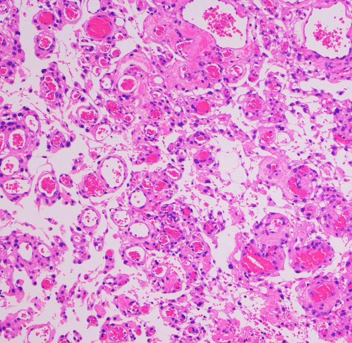
microcystic meningioma 微小のう胞性髄膜腫
数年間経過観察されゆっくり増大したものです。多房性腫瘍です。

多くののう胞を含む髄膜腫です。実質部分では類円形の腫大核を有し核小体が明瞭な細胞がシート状に増生しています。細胞密度が高い部分がありますが,MIB-1染色率は2%程度です。WHO grade 1 microcystic meningiomaの像です。
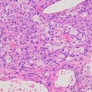
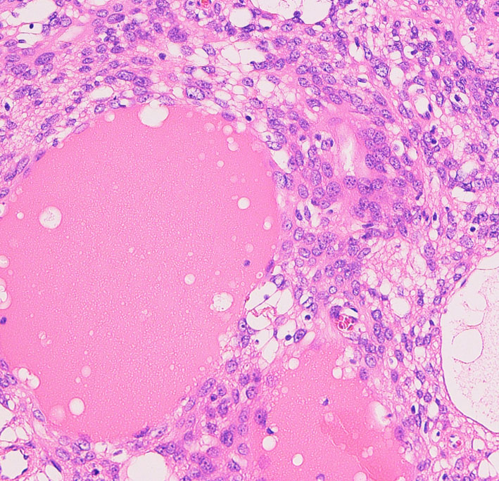
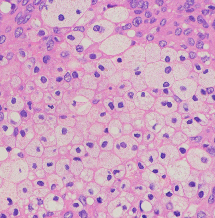
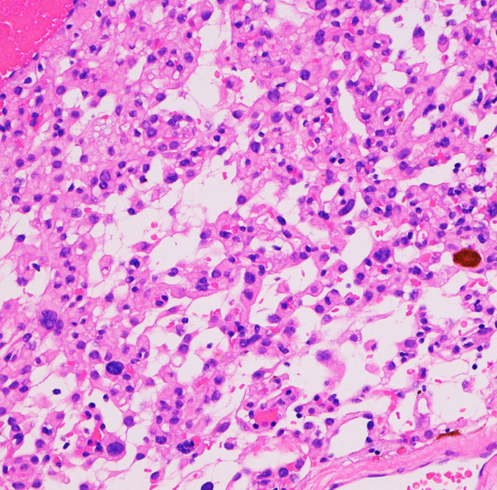
xanthomatous change 黄色腫様の髄膜腫

小脳橋角部に発生した髄膜腫ですが,手術中に見た目に真っ黄色で柔らかく,繊維成分のない壊れやすい脂肪組織を摘出しているようでした。
xanthomaとも表現できるほどfoamy macrophagesの浸潤の目立つ組織です。
MIB-1染色率は8-10%と高く,臨床的にはグレード2に近い性格を示すものです。
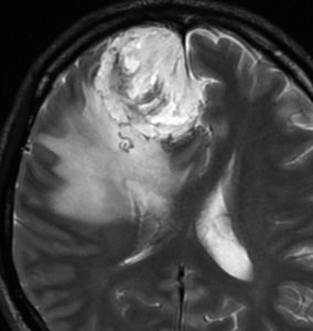
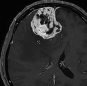
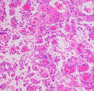
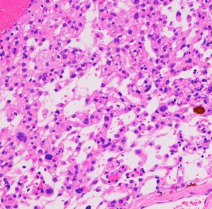
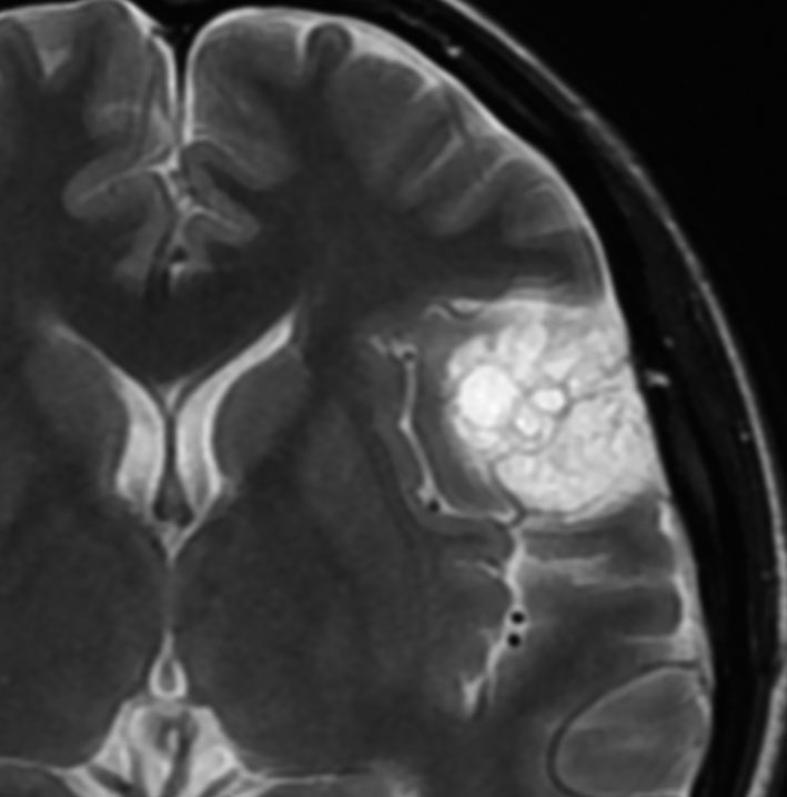
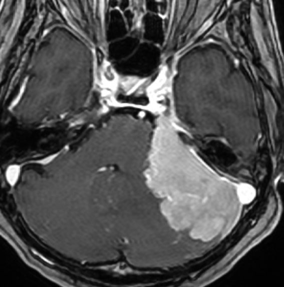
angiomatous meningioma WHO grade 1 血管腫様髄膜腫
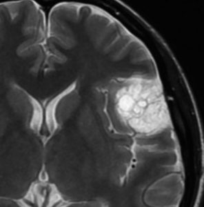
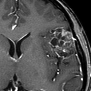
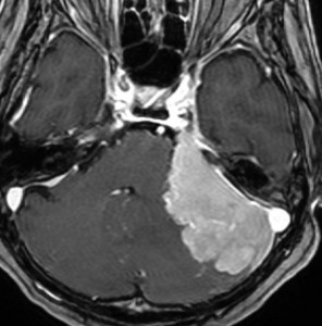
術前検査ではまるで膠芽腫のような画像です。でも,開けてみれば髄膜腫ということはすぐにわかる肉眼所見です。硬膜の至る所から腫瘍血管が流入して出血性腫瘍です。
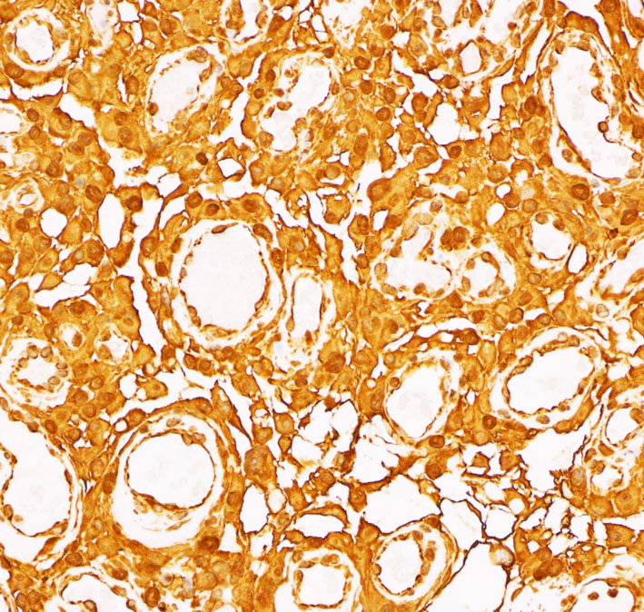
多数の小血管から構成される組織像です。右のvimentin染色は陽性です。
核小体明瞭な大小不同な類円形核からなる細胞境界が不明瞭な腫瘍細胞がみられ,ヘモジデリン貪食マクロファージも認められます。MIB-1染色率は2-3%でグレード1です。
悪性度のあるもの
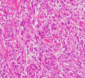
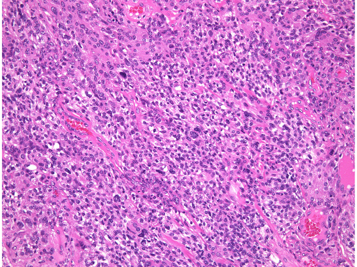
atypical meningioma WHO grade 2 非定型(異型性)髄膜腫
細胞密度が高く,若干の核異形成 anaplastyが見られます。MIB-1染色は15%でした。このような髄膜腫は手術誘発転移する能力を持っています。たとえば,右頭頂部傍矢状洞部の髄膜腫をソノペットなどの超音波破砕吸引装置を使って摘出すると,右前頭蓋底や右側頭部の離れた所に転移再発するという具合です。脳表転移とも硬膜下転移ともいえます。要するに手術で細胞をバラまくといろいろな所で根を張って成長する能力があるのです。
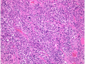
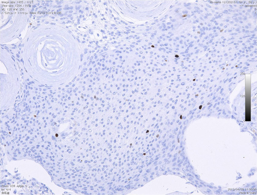
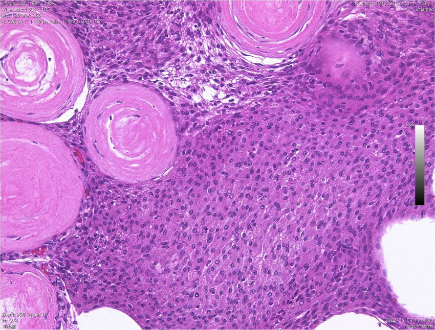
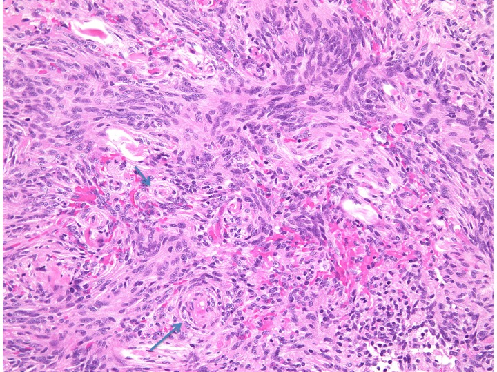
atypical meningioma WHO grade 2(長嶋和郎先生の病理教室)
高齢者の後頭窩 (ptrous ridge) にみられた大きな髄膜腫でした。meningiomaと考えられますが、whorl patternやmeningothelial featureなど特徴的なpatternが見られずpattern lessと見做されます。さらに、腫大しchromatinに富む核が見られ、異型細胞と考えられます。
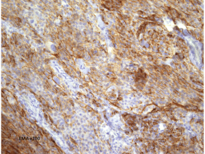
EMAが陽性となることでmeningiomaが示唆されます(左:EMA染色 x200x)。腫瘍の一部でcollagen fiberの多い組織に移行し、核の消失を伴う壊死性変化を示す部位が見られます。


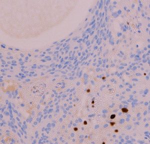
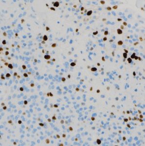
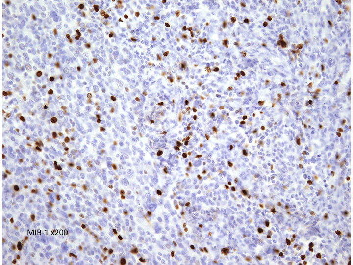
腫瘍の周辺部にonion bulb構造 (→)が見られ、meningiomaの診断が妥当です(左)。細胞核の異型性がありMIB-1 indexが10%と高値であり(右)、atypical meningiomaです。
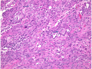
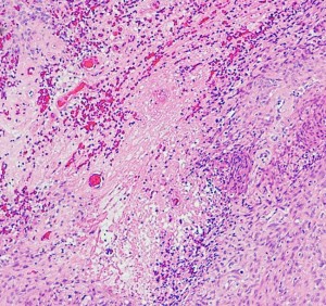
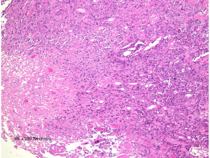
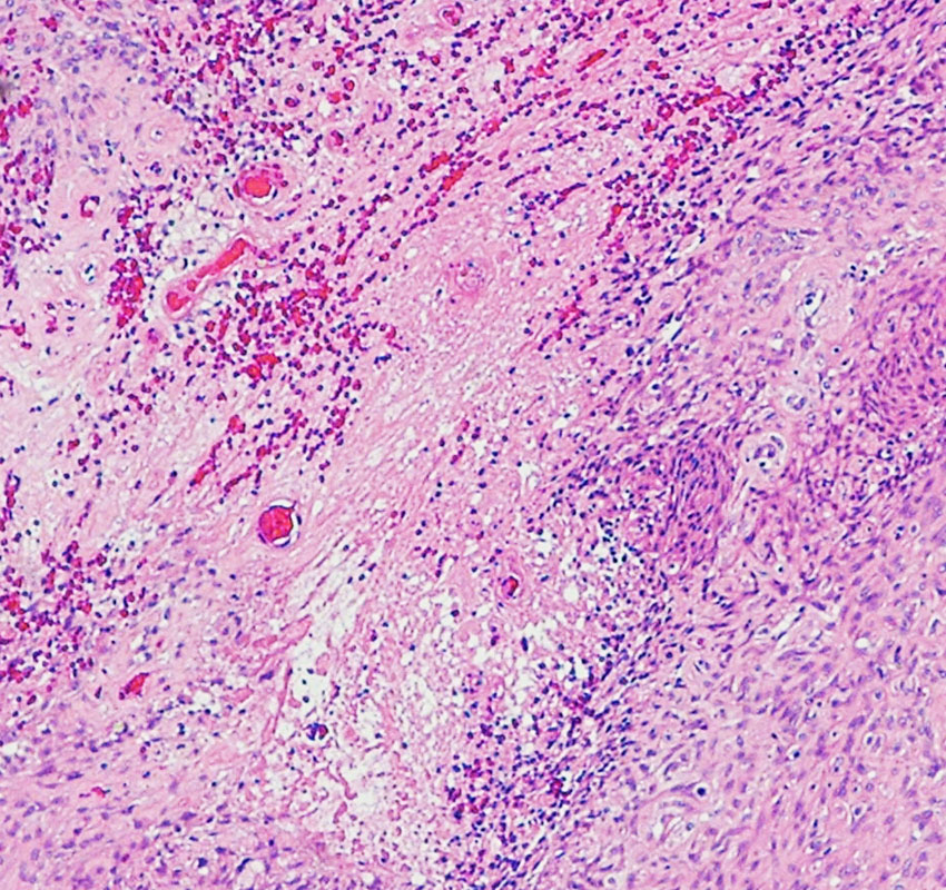
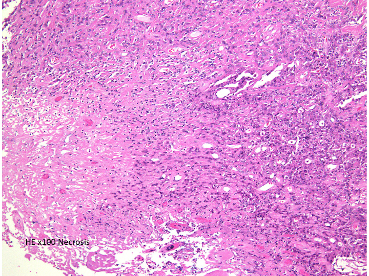
necrosis 壊死・atypical meningioma WHO grade 2 非定型髄膜腫

WHO grade 2 atypical meningioma (MIB-1 15%)に認められた壊死像です。この病理部分像からはgrade 2ですが,MIB-1も非常に高率です。さらに,多少なりとも核異型がみられるとgrade 3のanaplastic meningiomaになります。
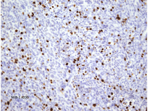
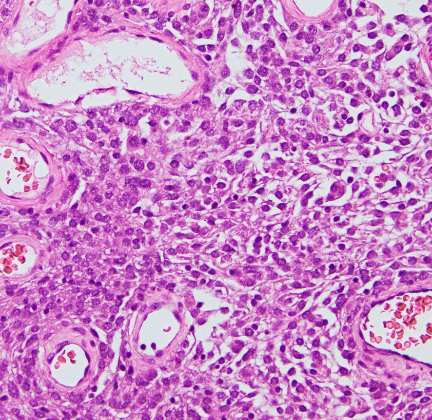
anaplastic meningioma WHO grade 3 退形成性髄膜種

極めて高い細胞密度です。MIB-1は20%に達します。肉腫 sarcoma としての性質を有し,頭蓋内で転移し,摘出しても多発再発します。放射線外科治療でもコントロールすることはできません。
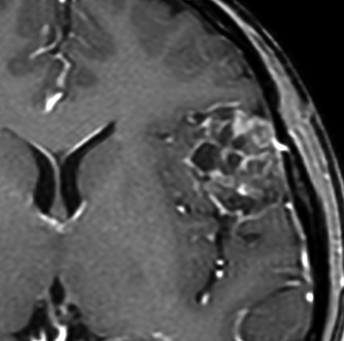
chordoid meningioma WHO grade 2 脊索腫様髄膜腫
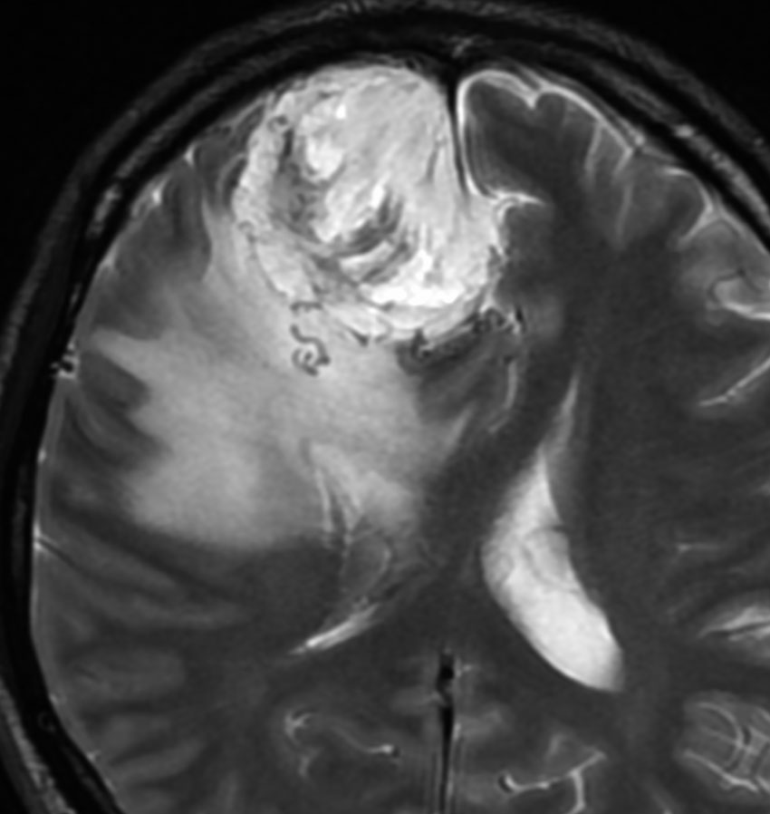
この例は鞍結節に発生した髄膜腫で,T2強調画像では高信号が目立ちましたが骨浸潤はなく,一般的なgrade 1 meningiomaとの鑑別はできませんでした。粘液を含む腫瘍で、好酸性の胞体を持つ紡錘形ないし類円形核の細胞がmyxoid / chordoid matrixに浮遊している所見です。腫瘍細胞が固まる部分は典型的な髄膜腫の特徴をよく表す組織構造です。胞体内には空胞変性 vacuolated cells が認められました。MIB-1 5%, EMA (+), Cam5.2 (-)。珍しいタイプで,概して大きな髄膜腫としてテント上に発見され,手術後の再発率は高いのでグレード2とされます。Wangは30例中の5例に再発を見たとしていますから全摘出できればそれほど高い再発割合ではありません。
Castleman’s diseaseをはじめhematological conditions / diseasesとの合併や小児例例が多いとされましたが,実際には特発例,孤発例が多いです。
髄膜腫のmethylation profileと予後
Choudhury A: Meningioma DNA methylation groups identify biological drivers and therapeutic vulnerabilities. Nat Genet 2022
565例の髄膜腫でDNAメチレーションが調べられました。Merlin遺伝子に異常がなかった例が34%あり,その群の予後が最もよかったとのことです。逆に,NF2/Merlin遺伝子異常がある例は予後が悪い可能性があるということです。immune infiltration, HLA expression, lymphatic vesselsがある群では中間予後でした。旧来のごとくやはり予後が悪い群 (28%)ではhypermitosesがみられました。
髄膜腫の発生原因
Clark VE, et al.: Recurrent somatic mutations in POLR2A define a distinct subset of meningiomas. Nature Genetics 48, 2016
Yale大学からの報告です。RNA polymerase IIというとても重要な遺伝子に異常があって髄膜腫が発生するという,ある意味衝撃的な発表です。775例の髄膜腫を調べて,RNA polymerase IIをコードする POLR2Aに,recurrent somatic p.Gln403Lys or p.Leu438_His439del mutationsを発見したとのことです。この遺伝子がハイジャックされることで,髄膜の発生に関わるWNT6and ZIC1/ZIC4の制御異常が生じます。既知のNF2, SMARCB1, TRAF7, KLF4, AKT1, PIK3CA, SMOに加えて,AKT3, PIK3R1, PRKAR1A, SUFUにも変異が認められるとの報告です。




























