膠芽腫の病理 pathology of glioblastoma
WHO 2016年 膠芽腫の分類 すべてグレード4です
Glioblastoma, IDH wild-type IDH変異のない膠芽腫
Giant cell glioblastoma 巨細胞性膠芽腫
Gliosarcoma 膠肉腫
Epithelioid glioblastoma 類表皮性膠芽腫
Glioblastoma, IDH mutant IDH変異のある膠芽腫
Glioblastoma (遺伝子診断がされてない組織診断だけのもの)
基本的には,IDH wild type 野生型 です
免疫染色でIDHを調べても80%ほどの精度です。下のような遺伝子変異シーケンス解析をしないと正確な診断とはなりません。FISHで1p/19欠失はありませんでした。

IDH1 R132 野生型,IDH2 R172 野生型ですから膠芽腫です。
肉眼病理
病歴が短いにも関わらずとても大きな腫瘍となって発見されることが多いです。前頭葉全体を侵したり,対側の大脳に浸潤していることも希ではありません。脳幹部や脳梁に発生するものでは両側の大脳半球にまたがるものもあります。myelinated structure(白質線維)に沿って成長し,脳梁を介して対側の前頭葉や頭頂葉に,脳弓線維に沿って側頭葉に浸潤するのが特徴的です。
肉眼的に境界はきわめて不鮮明で,中心部は壊死になっています central necrosis。central necrosisは膠芽腫の80%に認められます。周囲の細胞密度が高い増殖する部分では,柔らかく灰色で,血管に富み出血性です。動静脈シャントがあるために,血管撮影でearly venous fillingが認められる部分には,red veins(酸素化血の流れ)がみられ出血傾向が著しい傾向があります。この部分では自然に腫瘍内出血を生じ,新旧の小出血巣が認められます。脳卒中のように出血発症して脳内出血と初期診断される膠芽腫も珍しくありません。壊死の内部にのう胞が見られることがありますが,これは壊死組織が液化したものです。まれに脳表に発生して硬膜に浸潤増殖して硬膜動脈を引き込み,硬膜転移性脳腫瘍あるいは髄膜腫と見間違えられるようなものもあります。
病理組織(長嶋和郎の病理教室)
- 細胞密度が高く未分化な星細胞 astroglia からなる腫瘍です
- 多型性 pleomorphism が特徴であり様々な形態を示す細胞が見られます
- 腫瘍細胞の核は大小不同(核多形 nuclear atypia)でクロマチンに富み、多数の多核巨核細胞 multinucleated giant cells を混じて、分裂像 mitosis を多数みることができます
- 診断の根拠となる特徴的な所見は,壊死像 necrosis の存在と微小血管増殖 microvascular proliferation (血管の内皮増殖による糸球体様構造 glomerular structure)です
- 壊死周囲の核の偽柵状配列 pseudopalisading は,診断的価値が最も高い所見と言えます
- 特にsecondary glioblastomaでは,diffuse astrocytoma grade 2の部分像を含みますし, ただ単調に小型の細胞が密に集簇するような部分像もみられます
- 様々な組織像を混在することが特徴で,多形膠芽腫 gliombastoma “multiforme”といわれる所以です
- WHOの教科書によれば,診断には,highly anaplastic glial cells, mitotic activity, vascular proliferation, and/or necrosisの所見が必要であるとされます
- 間葉系分化が見られるタイプは mesenchymal typeともいわれ,予後が悪い病理所見です
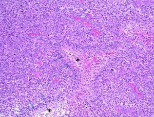
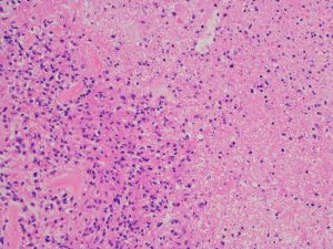
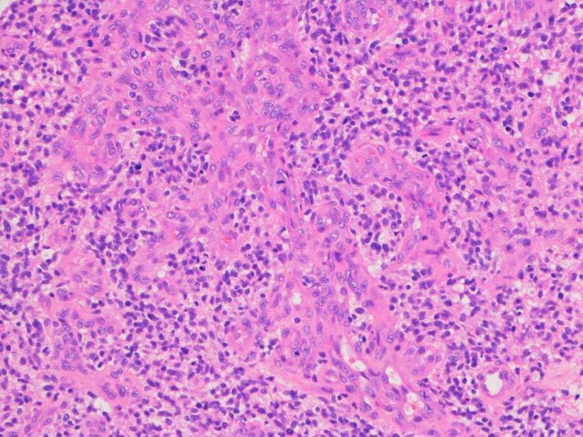
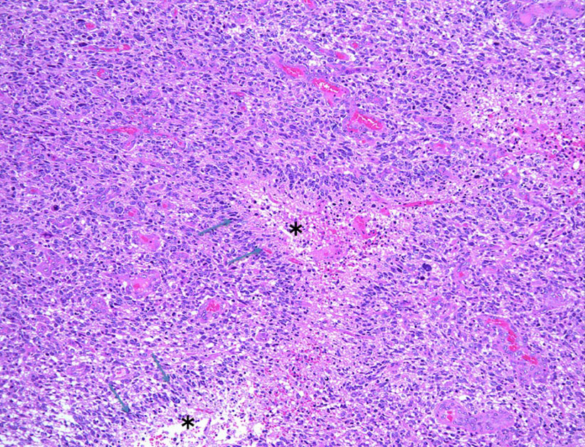
glioblastoma, IDH-wild typeのHE染色像

クリックすると画像が拡大します。
弱拡大像で、壊死necrosis (*)を囲む腫瘍細胞核の偽柵状配列 pseudopalisading pattern (→)を示す。
HE x100.

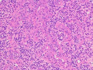
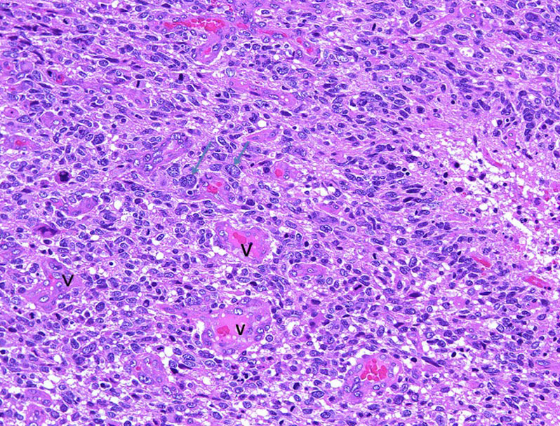
偽柵状配列の周辺部の拡大所見。chromatinに富む核の腫大と多態性(→)を示す腫瘍細胞と血管(V)の増加が見られる。
HE x200

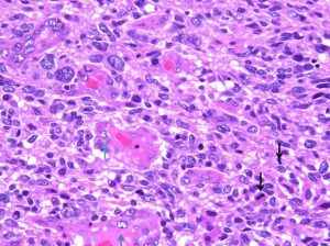
腫瘍細胞核の多態性と血管内皮細胞核の腫大(青↑)および核分裂像(黒↓)が認められる。
HE x400
de novo (primary) glioblastomaとsecondary glioblastoma
IDH wildtype プライマリー
膠芽腫のほとんど90%くらいはこれです。年齢中央値62歳くらいで,突然発生します。数ヶ月前にMRI正常だったのにというタイプです。男性に多くて,テント上に発生します。ガーランド形状(Garland shape; 腫瘍の周囲が縁取りされるようにガドリニウム増強される)を示して,腫瘍内部の壊死が大きいです。手術放射線化学療法をしての生存期間中央値は15ヶ月です。TERT promotor変異が72%,EGFR増幅が35%,PTEN変異が24%にみられます。
IDH mutant セカンダリー
10%くらいで,星細胞腫 grade II or III が悪性化するものです。年齢中央値は44歳と若い。手術放射線化学療法ができて1,中央値 31ヶ月くらいの生存期間です。画像では,前頭葉に多くみられ腫瘍内壊死は少なめ。TP 53変異が81%,ATRX変異が71%と高率です。
Gliosarcoma 膠肉腫と Epithelioid glioblastoma 類表皮性膠芽腫
これらの腫瘍は膠芽腫の variantなのですが,MRI画像をみると膠芽腫ではないように見えてしまって,手術後に膠芽腫だったのかと思うことがしばしばです。理由は腫瘍の境界が明瞭でくりんと見えるからです (sharp demarcation)。いわゆるPNETみたいに見えます。脳表に発生した時には,硬膜に接して硬膜血管を引き込んで悪性髄膜腫に見えたりします。小児から若年成人にも発生する膠芽腫です。
glioblastoma with primitive neuronal component
glioblastoma with PNET-like componentとして報告されていた例です。神経細胞系への分化を示す未分化な細胞がみられます。大きな特徴は,髄液播種する可能性がとても高いということです。臨床的にはPNETのようなものです。
分子マーカー
IDH1/2 : 診断のために必須です
MGMT : 治療反応性が予測できますから一部の試験で治療法選択に応用されています
1p/19q
EGFR, EGFRvIII
p53
PTEN mutation or deletion
PDGFR
PIK3CA
上記の分子マーカーが注目されて臨床試験の中で調べられています,要するに基礎研究のターゲットですが,2023年時点で、これらが解ったからといって患者さんに役に立つという訳ではありません。臨床的な観点からは,MGMT statusをみることが有用であると考える研究者はごく一部といえます。「MGMT metilationくらいは病理診断の時にみておいてもいいかな?」くらいです。
Pro neural type
Neural type
Classical type
Mesenchymal type
遺伝子変異発現をもとに予後と治療効果をみるために細分類されたものです。proneural typeとmesenchymal typeではIDH1 wild-typeである前者の方が治療反応性がよいとされます。2016年の時点ではこれが分かったいっても患者さんに役に立つ新たな治療法はありません。

退形成性性星細胞腫に似た膠芽腫の病理診断(画像は拡大できます)


核の異形成が目立ち分裂像が見られ脳実質へのびまん性浸潤があります。これだけでは,退形成性星細胞腫 グレード3のようにみえます。
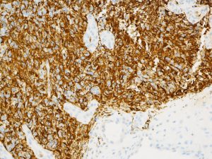
血管内皮細胞の高度の増殖(左側)endothelial proliferation があり,腫瘍細胞はGFAP陽性です。
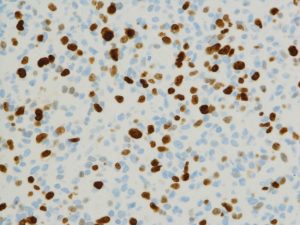
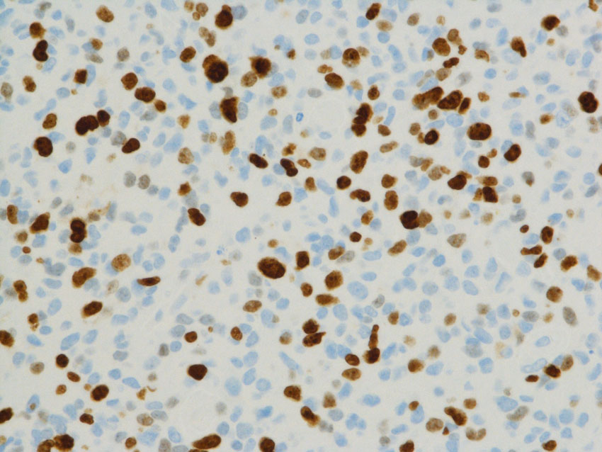
ごく一部に壊死像(右側)が認められて,Ki-67標識率は40%に達します。総合的にはグレード4と診断されます。
さらに,シーケンスでIDH-1 R132 wild type, IDH-2 R172 wild type,免疫染色でolig 2陽性,p53陰性,ATRx陰性,MGMT 1+ (0-4+),FISHで1p/19q codeletion (-)を確認しました。
膠芽腫の病理診断ではこのくらい面倒な病理診断をします。2020年,残念ながら保険診療ではカバーできないので,病理診断医の無償の協力となっています。
20年以上 生存したという患者さんからの手紙
超長期生存者がいるかどうかということが学会で議論になります。脳腫瘍学会で10年以上生存している患者さんを調査したことがありますが,結局見つかりませんでした。病理診断を見直したら実は膠芽腫ではなかったとかです。
下の病理写真は,ある患者さんから私に送られたものです。20代で前頭葉の膠芽腫になってから21年経って生存しておられるということです。2度の開頭術と放射線治療と化学療法(複数回)を受けておられます。患者さんに病理診断が間違っているのではないかと返事をしたら,下にある画像を送ってくださいました。病理診断は,一見したところは多形膠芽腫 グリブラに間違いありませんでした。でも,ーーー
(下の画像は患者さんの許可を得て掲載させていただきました)
bizarre! 異様な細胞が混在しています。核多型が目立ち,多核巨細胞も混じる典型的な膠芽腫の像です。下の左の画像は血管内皮の肥厚 endovascular proliferationがあり,下の右のKi-67染色では核濃染像が多く核分裂能が高いことを示します。しかし,——
左のGFAP染色では一部の細胞が染色されません,右のHE染色では豊富な血管増殖の間に空砲 perinuclear halo を有した細胞増殖が見られます。さらに,–
腫瘍の部分像として明らかに乏突起膠腫が混在しています。また,どの部分をみても壊死 necrosisがありませんでした。
従って,この腫瘍の病理診断は,旧組織分類における退形成性乏突起星細胞腫 anaplastic oligoastrocytoma WHO grade III となります。2021年新分類では乏突起膠腫グレード3。










