ジャーミノーマの病理 pathology of germinoma
長嶋和郎の病理教室(画像はクリックすると拡大されます)
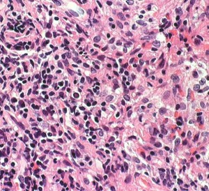
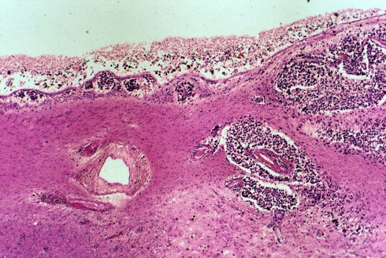
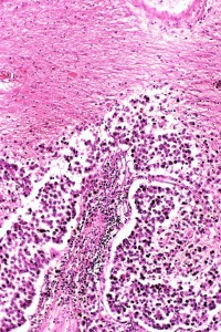
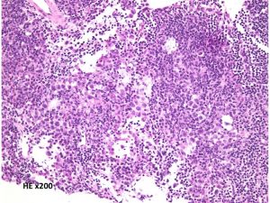
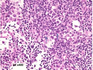
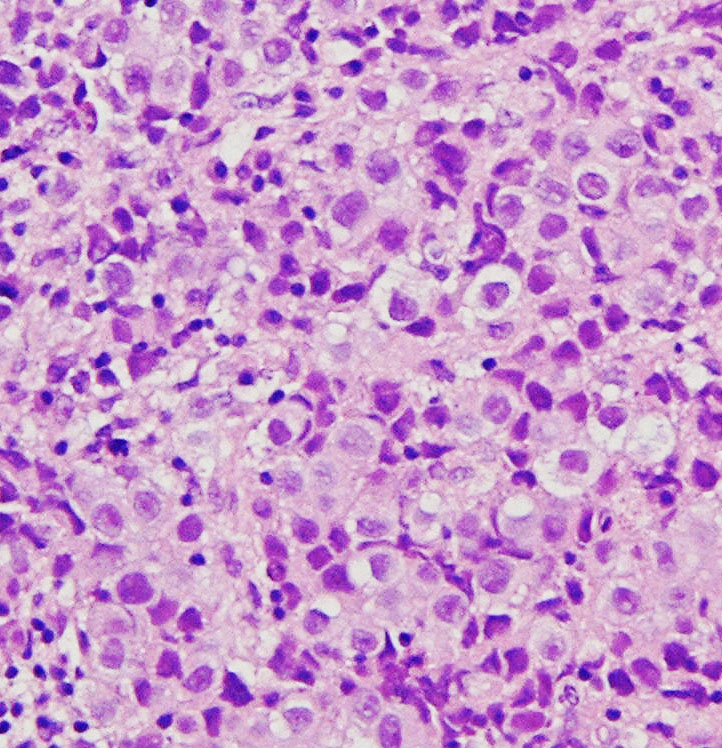
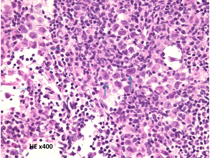
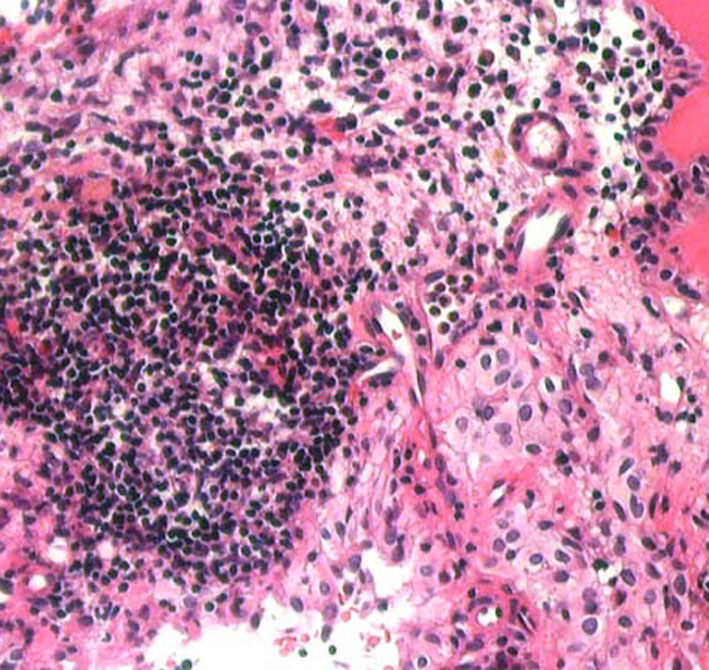
病理診断は困難ではありません。左側の写真のように,多くの場合にHE染色でtwo-cell patternと呼ばれる, 大型の腫瘍細胞と小型のリンパ球 (T cells) 浸潤の特徴的な病理像で診断がつきます。大型の腫瘍細胞は楕円形の大きな核に大きな核小体が特徴です。
弱拡像です。類円形で大型の核を有するgerm cell (胚細胞)類似の細胞と小型のリンパ球からなる腫瘍で、two cell patternと呼ばれています。
大型のgerm cell類似の細胞 (germ cellと呼ぶ)では腫大した核小体が明瞭にみられます(太い矢印)。小型の細胞の中にはplasma cell (細い矢印)も見られます。
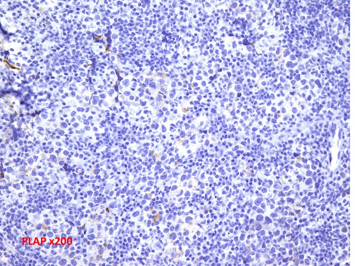
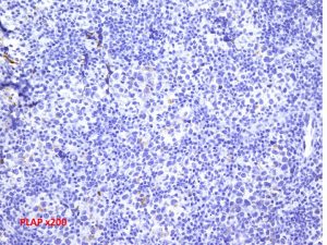
PLAP染色でのgerminoma nest:placetal alkaline phosphatase (PLAP)で細胞質と細胞膜が染色されますが特異性を欠く所見です。
腫瘍マーカーの1つとして用いられたplacental alkaline phosphatase (PLAP)は陰性の場合もあります。
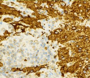
消化管に多く発生するGIST (gastrointestinal stromal tumor)に陽性となるKIT (c-kit 蛋白)染色でgerm cellの細胞膜が強く染まります。定型的なtwo-cell patternを欠くことがありますが,そのような時に細胞膜 c-kit,核 OCT4の陽性所見が見られればgerminomaと診断できます。
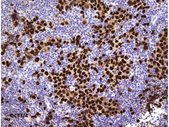
転写因子OCT3/4 (Octamer-binding transcription facter )の免疫染色でgerm cellの核が強陽性となります。
細胞の増殖周期で発現されるMIB-1を用いた免疫でgerm cellのほとんどが陽性に染まり、細胞増殖能が旺盛であることが示されます。
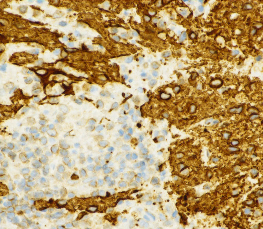
GFAP染色です。濃く染まっているのが脳白質組織です。脳の白質の内部にgerminoma cells (染まっていない細胞)が染み込むように入っています(invasion)。上衣下伸展の後には脳や神経の内部に浸潤していく性質を持っています。
STGCとは
syncytiotorophoblastic giant cell (STGC)がHCG-βで染色されることはよく知られています。過去には,STGCの存在は高い再発割合を示すとされたために,病理診断上で重視された時期もありました。しかし,予後との関連はなく現在ではその臨床的な意義はないということが解っています。
リンパ節胚芽中心 germinal center
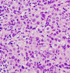
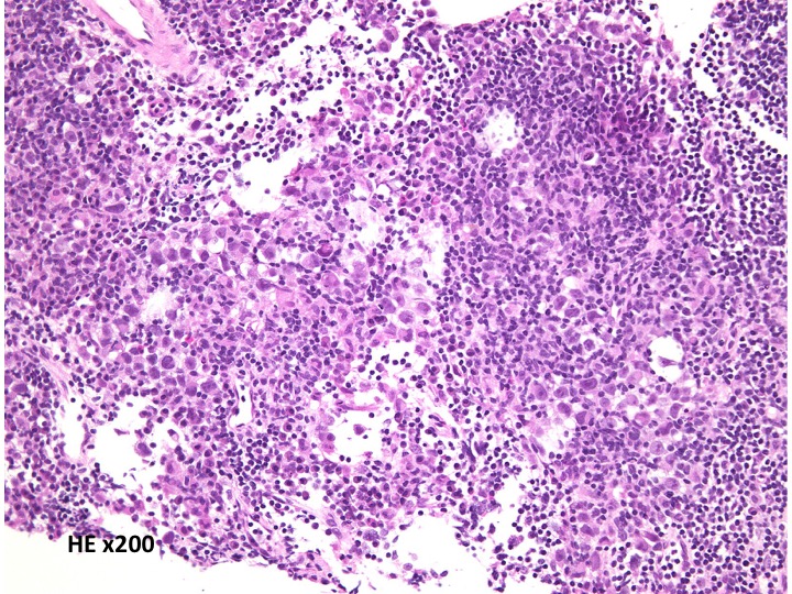
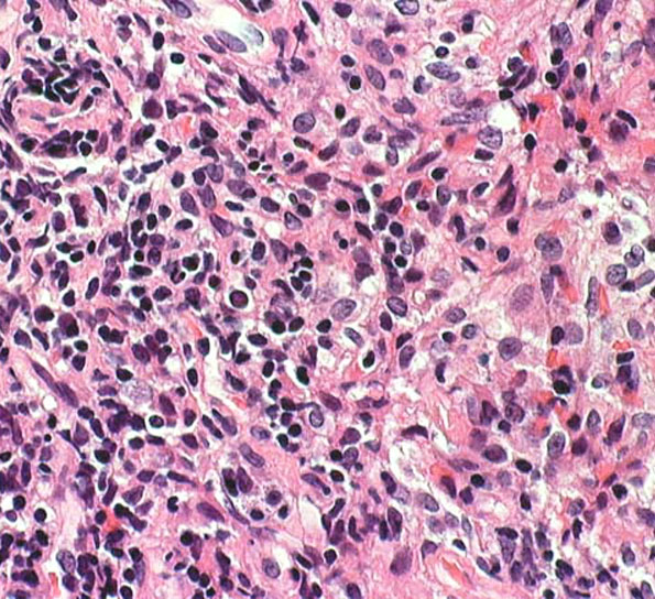
左側は腫瘍細胞のみで構成される組織で,右側はリンパ節胚芽中心 germinal centerを形成するように多くのリンパ球が集簇する組織です。腫瘍細胞は未分化で大型,単純にシート状に配列することが多いです。豊富な細胞質にはグリコーゲンが蓄積して明るく見え,中心に大きな核があります。本来は増殖能の高い腫瘍であり,MIB-1染色率は高く分裂像がみられます。

fibrogliosisとリンパ球浸潤が優位で腫瘍細胞が少ない部分もあります。その変化が強い組織をdesmoplastic stromal responseといいます。granulomatous germinomaと呼ばれるものでは著明な肉芽腫様の炎症反応像 granulomatous response をみることもあります。
この所見は,MRIで描出されないような大脳基底核germinomaなどで,germinoma cellsの増殖と退縮が繰り返され,gliofibrosisに置き換わりながら存在して腫瘍としてのmass effectを呈しないという臨床像と一致します。
ジャーミノーマが脳組織浸潤性であることへの留意点
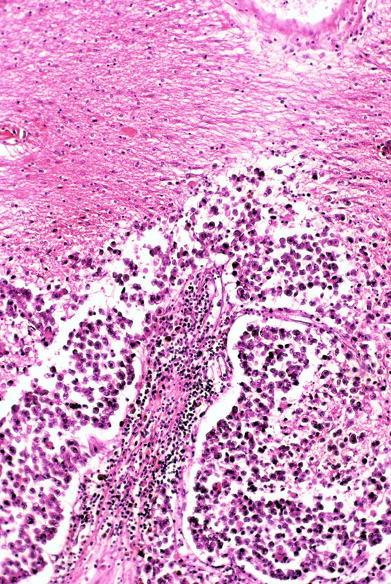
ジャーミノーマには好発部位というものがあります,神経下垂体,松果体,大脳基底核などですが,腫瘍塊を形成しないで周囲脳組織に浸潤伸展しているだけという画像所見をみることがあります。多くは浸潤形態が脳室壁に沿う subependymal infiltrationという特徴からジャーミノーマと画像診断できるのですが,原発部位に腫瘍塊がなくて,視神経交叉や視床あるいは大脳基底核だけに腫瘍があるなどという例もあります。特に注意していただきたいのは,脳組織浸潤が主体で,germinomaとしての腫瘍塊を形成していないことです。正常脳組織内(GFAP陽性)に腫瘍細胞(c-kit陽性)とリンパ球が散在するという病理組織所見になります。
ジャーミノーマとリンパ球浸潤:免疫機能の役割
Occult neurohypophyseal germinomas in patients presenting with central diabetes insipidus. Neurosurg Focus 1998
Sudo A, Sawamura Y: High uptake on 11C-methionine positron emission tomographic scan of basal ganglia germinoma with cerebral hemiatrophy. AJNR 2003
- germinomaはとても低い線量のX線検査だけで消失してしまうことがあります
- その後,随分経ってから再発したり,治ったりという報告もあります
- germinomaの組織のなかにはたくさんのリンパ球が浸潤しています
- germinomaは,MIB-1染色で高い腫瘍細胞分裂能と増殖能を示します
- でもそれほど早く腫瘍が大きくなることがありません
- ここには大きな病理学的な矛盾があります
- 慢性炎症性組織が腫瘍内に生じたり,lymphocytic germinal centerが見られることがあります
- 尿崩症や低身長で発症してから,数年間は腫瘍がMRIでみえないこともあります,occult germinomaといいます
- 大脳基底核germinomaも,認知機能低下や麻痺が進行しつつも腫瘍塊が顕在化しないことはしばしばです
- これらを総合的に考えると,患者さん自身の免疫機能がgerminomaの増大を抑制している可能性が強く示唆されます
- 1989年に澤村はこのリンパ球を分離して,腫瘍内浸潤T細胞が腫瘍細胞障害活性を持つことを論文にしたことがあります
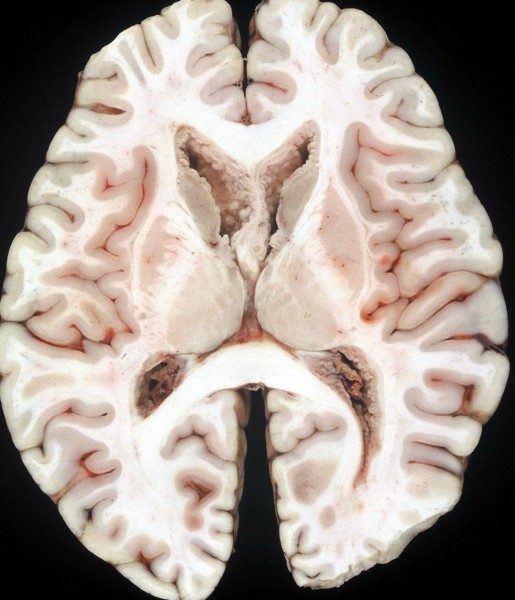
脳室上衣下浸潤(剖検例)
subependymal infiltration (autopsy)
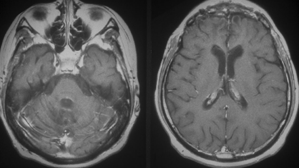
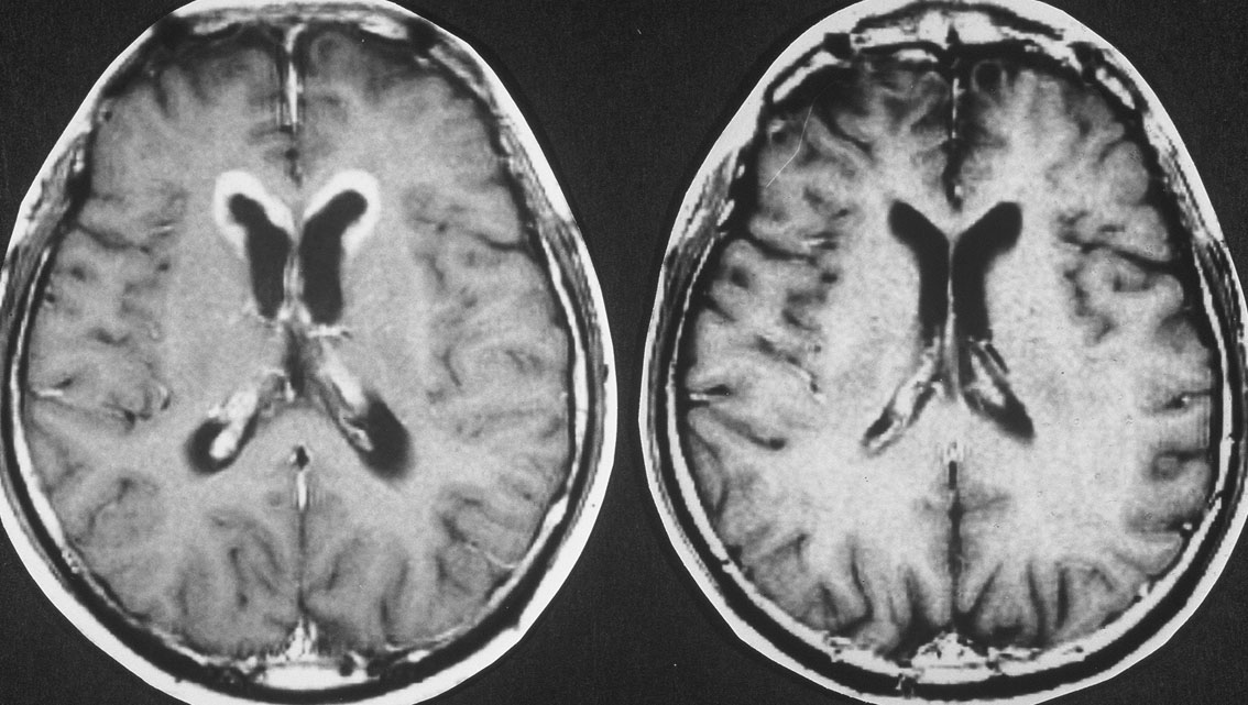
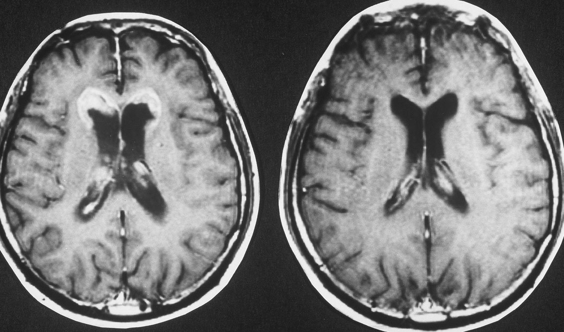
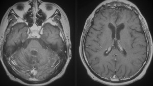
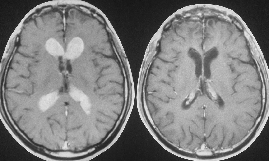
11歳(1977年)で発症して放射線治療を受け,21歳(1987年)で再発しました。側脳室の前角にガドリニウム増強される典型的なgerminomaの再発像がみれます。脳表にも脊髄にも髄液播種はありませんでした。
CDDP/VP-16化学療法で腫瘍は消失し,放射線治療を加えました。
2度目の再発です。側脳室の壁に再発したので,また化学療法をしましたら,右の画像のようにきれいに消えました。この時点でも髄液吸収障害性水頭症にも閉塞性水頭症にもなっていません。
3度目の再発です。また脳室の壁から再発しました。化学療法で腫瘍はまた消失しました。その後も維持化学療法を行ったのですが,脳室内再発が止められず,第4脳室底部の腫瘍が延髄に浸潤して死亡しました。
最後まで水頭症はありません。
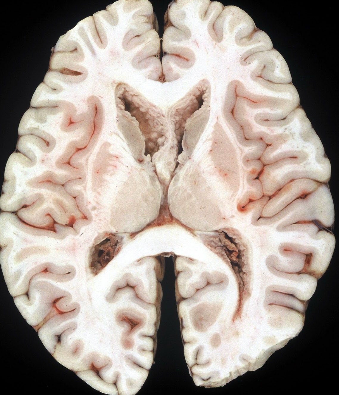
1992年の剖検所見
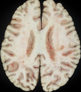
大脳表面,脳幹部,脊髄くも膜下腔には腫瘍が見当たりませんが,側脳室を充満するように腫瘍が増殖しています。
側脳室壁に結節状の腫瘍が無数に認められます。これは今日では,内視鏡による脳室内観察で見ることができるものです。
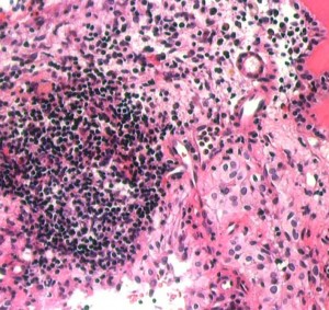
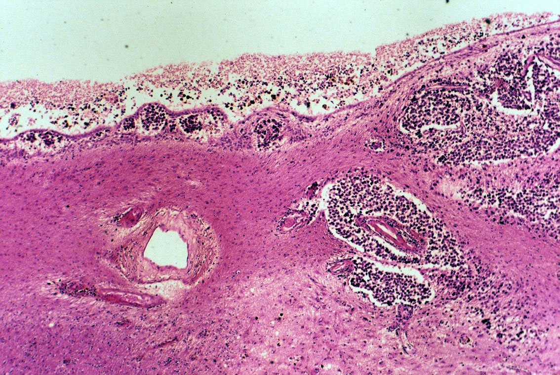
上方が側脳室側です。脳との境にある脳室上衣 ependyumの下に腫瘍細胞が這うように浸潤しています。そこから血管周囲 Virchow-Robin spaceを通って脳深部に浸潤しています。
大脳深部(左)と小脳深部(右)には髄質血管に沿って浸潤します。これは髄芽腫などと同様の脳浸潤所見です。









