びまん性星細胞腫の組織診断 diffuse astrocytoma
WHO 2021年ではこの病名は無くなりました
- IDH遺伝子の変異と病理組織診断でのびまん性星細胞腫の所見があると,星細胞腫 IDH変異型 WHOグレード2とよばれます
- IDHに変異がありATRX欠失があるびまん性グリオーマは星細胞腫ですから,組織診断をする必要も1p/19qを調べて乏突起膠腫との鑑別をする必要はありません
WHO 2007年 組織診断 diffuse astrocytoma WHO grade 2
- fibrirally astrocytoma
- gemistocytic astrocytoma
- protoplasmic astrocytoma
病理所見は上記の3つに分類されます。特に,gemistocytic astrocytomaはグレード3あるいはグレード4へ進行(悪性転化)する性質を有しています。gemistcytes (好酸性胞体がとても大きな細胞)が20%以上を占める時に診断されます。
WHO 2016年 遺伝子診断での分類 grade 2
- Diffuse astrocytoma (grade II), IDH mutant びまん性星細胞腫 IDH変異あり
Gemistocytic astrocytoma, IDH mutant - Diffuse astrocytoma IDH wild-type
- Diffuse astrocytoma, NOS びまん性星細胞腫
実際的な診断は
- IDH1 codon 132とATRXの免疫染色をして変異があれば診断がつきます
- 必要であれば,IDH2 codon 172 missense mutationをみます
- 病理形態学的診断もあわせて整合性を確認します
- WHOは,びまん性星細胞腫のほとんどにIDH変異があるとしています
- 逆に,野生型 wild-typeはほとんどない
- 野生型であった場合は,最悪の膠芽腫ということを念頭に入れて治療します
- また逆に,変異がなければ,神経節膠腫, 毛様細胞性星細胞腫という良性腫瘍の部分像をみているかもしれません
- 乏突起膠腫との鑑別のために,ATRX遺伝子発現がないことを免疫組織染色で確かめます,ATRX欠損があれば1p/19q染色体を調べなくても星細胞系腫瘍と診断できます
クリックしていくと拡大で見えます
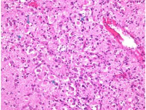
星細胞に特有の胞体を有しグリア線維が明瞭なfibrirally astrocytomaです

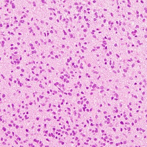
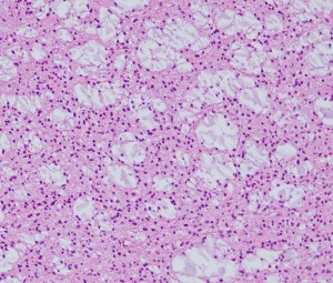
これも典型的な病理像で小型で均一な核を有する腫瘍細胞がびまん性に存在します。

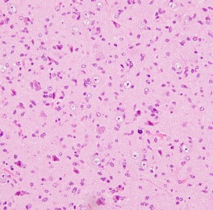
腫瘍深部の大脳基底核から採取された組織です。大型の神経細胞の周囲に散在性に腫瘍細胞が浸潤しています。この部分はMRIでは腫瘍として捉えられません。
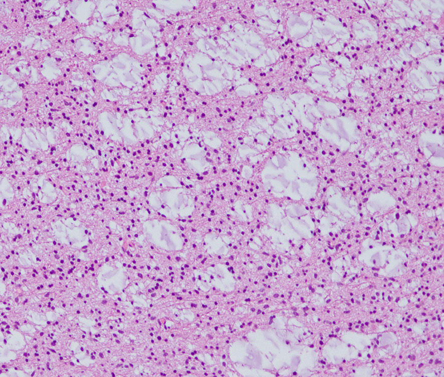
比較的稀な組織型であるprotoplasmic astrocytomaの組織像です。細胞間にはmucoid degenerationあるいはmicrocyst formationと呼ばれる間隙があるのが特徴的です。多くの場合はMIB-1 LIが低くより良性の経過をたどります。子どもに生じると毛様細胞性星細胞腫 pilocytic /pilomyxoid astrocytomaとの鑑別が難しい組織型です。
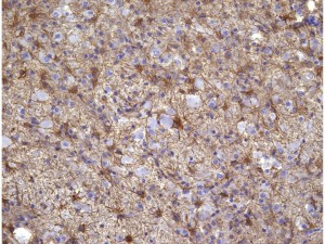
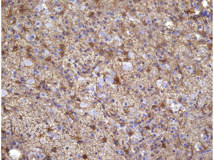
びまん性星細胞腫のGFAP染色。腫瘍細胞の胞体と突起が染色されています,蜘蛛の巣をはるように突起が延び,正常脳組織の中にしみ込む様に浸潤します
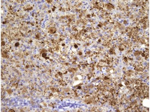
Ki-67という抗体を使った免疫組織染色です。びまん性星細胞腫のMIB-1 indexは,平均で2.5%くらい,高くても4%です。それ以上はグレード3の可能性が高くなります。MIB-1染色は,腫瘍細胞の核が薄い青色に染色されていて,同時に増殖期にある細胞核だけがMIB-1で黒褐色に染色されます。上の写真のMIB-1の染色率 labling index は3.5%くらいで,グレード2のびまん性星細胞腫としてはやや高い値です。MIB-1染色率が高くなると悪性度が高い傾向にあると考えられます。
ここからは専門的な知識
長嶋和郎先生の病理教室 axonal retraction bulbs


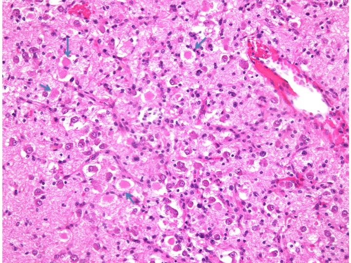
数年の経過でわずかな増大傾向を示したので全摘出しました。交通事故に遭って偶然発見された病変で、traumatic injuryが腫瘍浸潤で脆弱となったaxonに影響をおよびした可能性が示唆されます。

diffuse astrocytomaの大脳皮質浸潤で多数のhomogenous pinc bodyが見られます (arrows)。この小体は神経病理ではspheroidと呼ばれていますが、traumatic axonal injuryで見られるaxonal retraction bulb (ball) に相当するものです。通常では稀な小体ですが、本例で多数見られました。

GFAP染色でastrocyteは陽性に染まるが、axonal retraction bulbは陰性です。GFAP x200

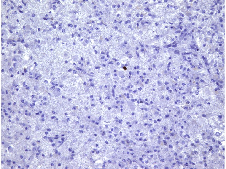
Axonal retraction bulbはsynaptophysinに陽性に染まります。Synaptophysin x200

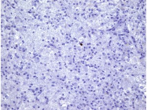
MIB-1 indexは低値で、2%程度です。MIB-1 x200
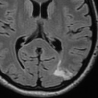
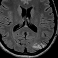
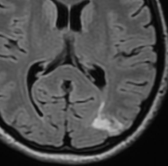
限局性のびまん性星細胞腫
無症状で発見された若年成人のびまん性星細胞腫,一つの脳回に限局するタイプでsingle gyrus gliomaといいます



