多形黄色星細胞腫 pleomorphic xanthoastrocytoma PXA
- 業界用語でPXA ピーエックスエーと呼ばれます
- まれな腫瘍で全脳腫瘍の0.3%以下です
- 小児と若い成人の大脳の表面にできます
- 10歳代に最も多いのですが,高齢者での報告もあります
- 症候性てんかん(けいれん発作)が症状です
- 麻痺とか脳の局所症状を出さないものが多いです
- 95%以上が大脳皮質表面から発生します
- とてもゆっくり大きくなる腫瘍です
- 良性でWHOのグレード2です
- 多くの例でBRAF V600という遺伝子に変異が生じています
- 大脳表面で完全摘出可能なものでは,ほとんどグレード1のようなものといえます
- 2025年12月,タフィンラー(ダブラフェニブ)とメキニスト(トラメチニブ)という抗がん剤の使用が認可されました
診断
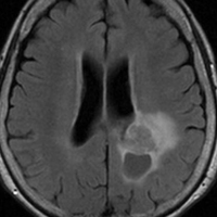
- MRIでは大脳表面にあり,のう胞(液体の溜まっている袋)と腫瘍の塊があります
- 大脳にくっついているのですが,大脳の中には育たないで,大脳からキノコのように生えてこともあります
- 大脳表面ののう胞を伴う限局性の腫瘍で,原則的にはくも膜下腫瘍ですが硬膜にも付着することが多いです
- 側頭葉表面に頻度が高いです,次いで前頭葉です
- 緩徐に増大します髄膜にくっつくので,のう胞性髄膜腫と誤診されることもあります
- 腫瘍周囲脳浮腫が目立たないものが多いです
- 他の腫瘍と区別できる特徴に乏しいので,多形黄色星細胞腫をMRIで診断することはできません
- ですから,手術で病理組織診断をしなければ確定できません
- かなり少ないのですが悪性のタイプ(グレード3)があります
- 病理診断でも膠芽腫 glioblastomaと間違われることがあります
治療
- 放射線治療や化学療法の有効性は証明されていないので,完全摘出が治癒をもたらす手段となります
- 手術は開頭術ですが,どちらかといえば簡単なものです
- 全部取ると治りますが,大脳表面にあるので大脳の一部が傷つくことがあります
- 運動野などの危ない場所では,手術で取り残しても大きくならないこともあるのでしばらくは観察します
- グレード2に放射線治療や化学療法(制がん剤)は有効ではありません
- 不完全摘出の場合は術後の慎重な経過観察は必要です
- グレード3の場合で手術で全摘出できなかった時には,手術後に放射線治療をします
- 従来の治療に抵抗性のものには,BRAF阻害剤のタフィンラー(ダブラフェニブ)とメキニスト(トラメチニブ)の併用投与が保険診療でできます
- BRAF v600遺伝子に変異のある例で,タフィンラーカプセル(ダブラフェニブ,BRAF阻害剤),メキニスト錠(トラメチニブ,MEK阻害剤)を経口投与するものです
2023年,日本では,BRAF融合遺伝子陽性の低悪性度神経膠腫患者を対象とした MEK阻害薬(ビニメチニブ)の第2相医師主導治験が開始されました(国立がん研究センター)
RAF V600変異陽性局所進行・転移性小児固形腫瘍に対するダブラフェニブ・トラメチニブの第II相試験 (jRCTs011220017)
(クリックすると開きます)
予後
- 手術摘出がいかに完全であれば再発は稀です
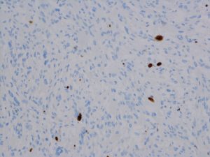
- 病理像でのmitotic index (MIB-1で代用) の値が高いと再発割合が高いです
- PXAのMIB-1 indexは通常はかなり低いもので1%以下とされます
- 文献では,グレード2 PXAの10年生存割合は8割以上と報告されますが,もっとよいものでしょう
- 10%くらいの患者さんは腫瘍死すると考えられます
- 退形成性多型黄色星細胞腫 PXA グレード3は予後不良です
- グレード 3 PXAは,手術で取り残せば再増大は早く,放射線化学療法も有効でありませんし,髄液播種の確率も高く,生命予後は不良です
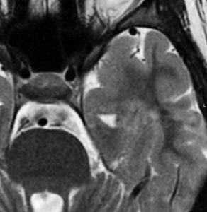
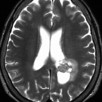
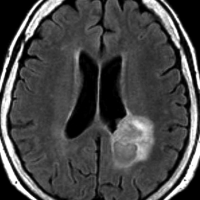
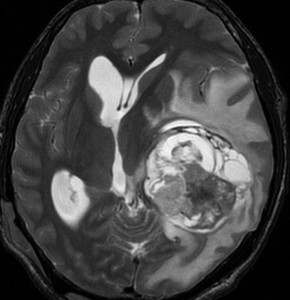
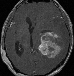
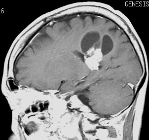
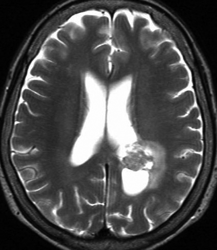
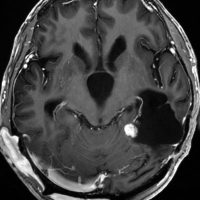
思春期に難治性てんかんで発症した典型例 occult PXA?
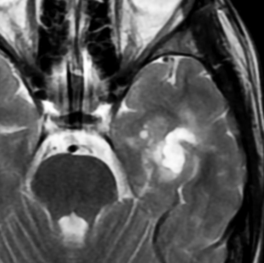
7歳児に頭痛に嘔気を伴う,1分間くらいの短い発作で発症しました。


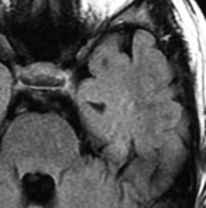
左は8歳時のMRIで,異常所見がありませんでした。左側頭葉に発作時の異常脳波所見が認められ,側頭葉てんかんの診断でカルバマゼピンの投与が開始されました。9歳時に精神症状を呈する発作となりレベチラセタムとゾニザミドが加えられました。右側のMRIは9歳時のものですが異常所見はありませんでした。前後にさまざまな画像が撮影されていましたが脳腫瘍の所見はありませんでした。

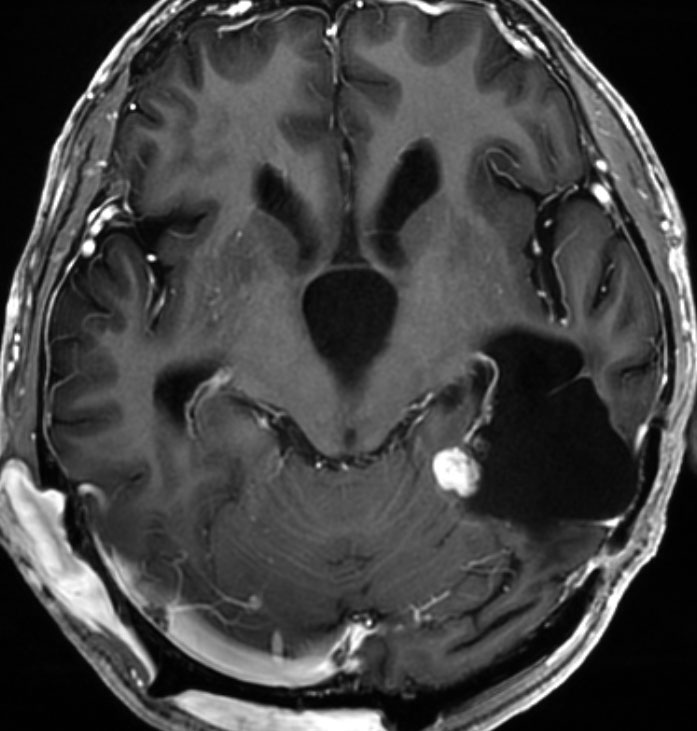
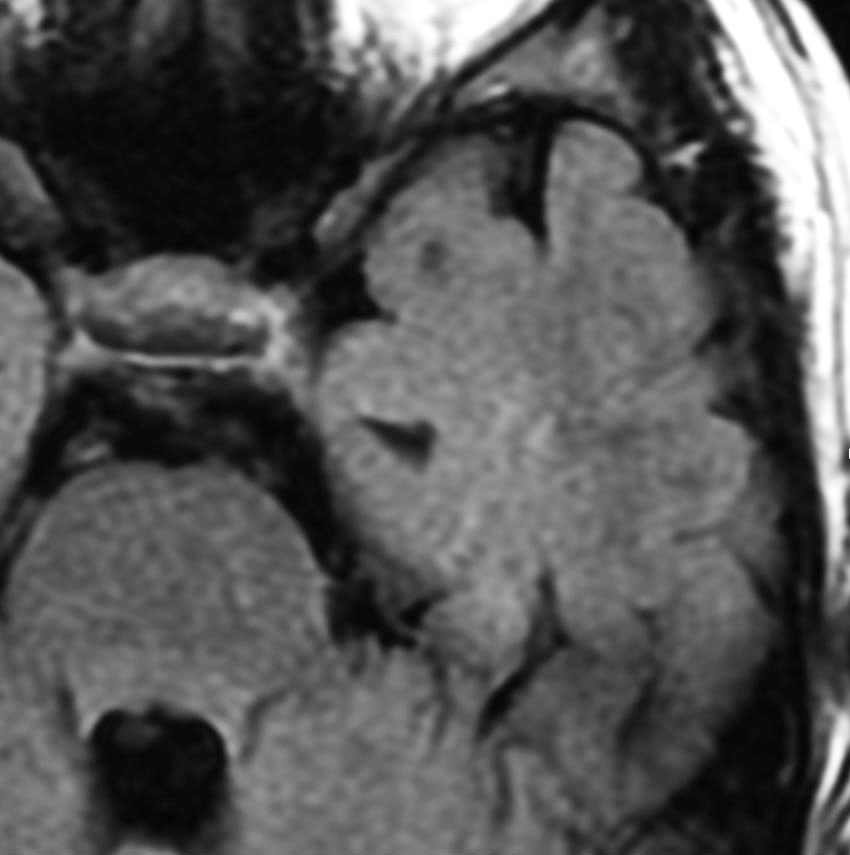
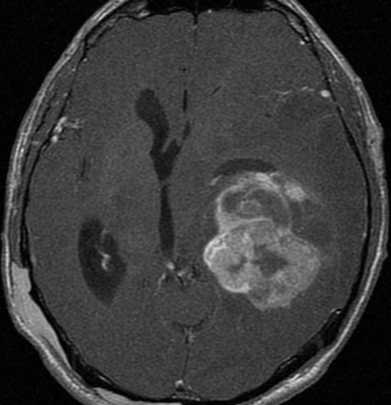
11歳時のMRIで側頭葉下面に異常所見が出現しました。
カルバマゼピン,ガバペンチン,ゾニザミド,ラコサミド,クロバザムの5剤投与を受けていましたが発作は制御できませんでした。
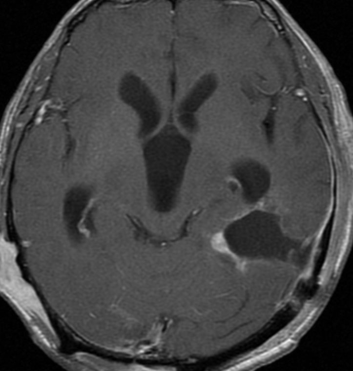
12歳時,私のところへ来た時のガドリニウム増強像です。開頭手術で扁桃体を含めて全摘出してから発作は止まり,術後3年で抗てんかん薬は中断できています。


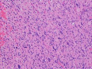
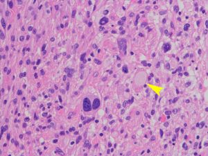
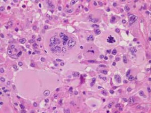
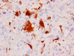
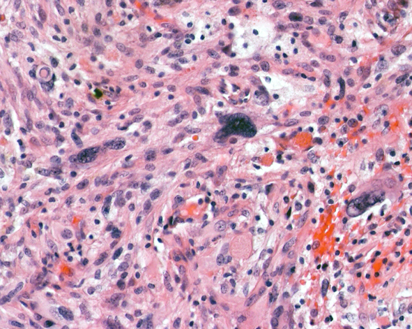
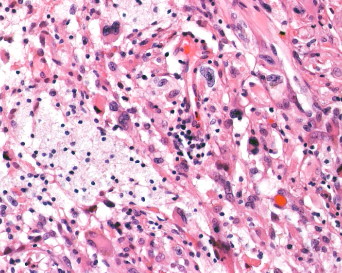
星細胞 astrocytesが強い多型性 pleomorphism を示すのでこの名があります
GFAP陽性は強陽性です
グリオーマの場合は核多型性というのは悪性ということと同義になることが多いのですが,この腫瘍の場合はそうではありません,著しい核の多型性のために,悪性腫瘍とくに退形成性星細胞腫や膠芽腫と誤診しないことが重要です,脂肪滴を含むlipitized cells(黄色の矢印)が混在 することもあります(xanthomatous change)
reticulin fiberに囲まれeosinophilic granular bodiesを含む特徴的な組織像を示します。時に神経細胞由来の腫瘍細胞を含みます (neuronal differentiation)
多単核細胞の核異型から多核の巨細胞まで見られますが,分裂像はなくMIB-1 indexは低いのが特徴です
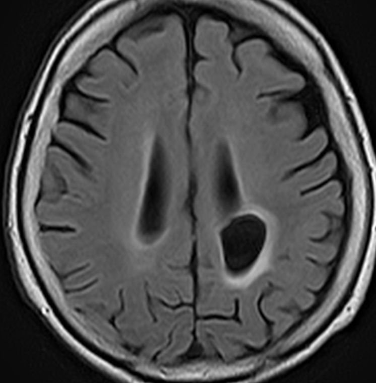
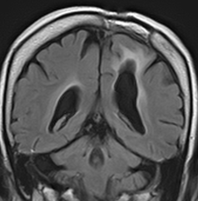
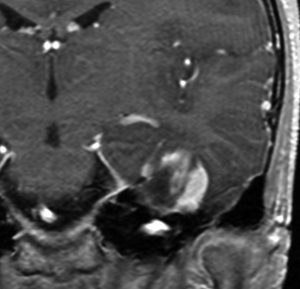
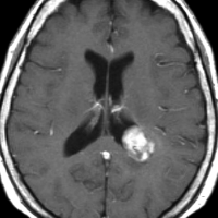
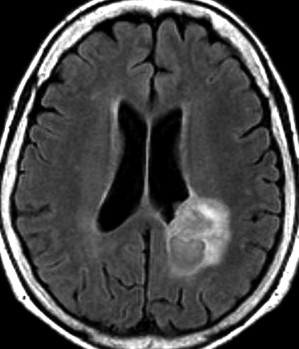
高齢者の無症候例です
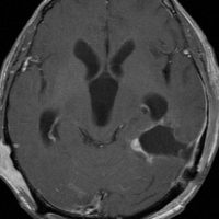
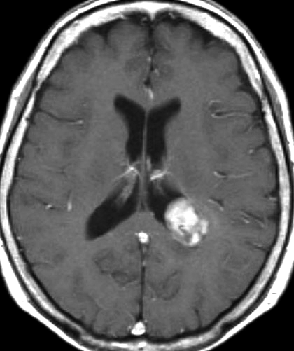
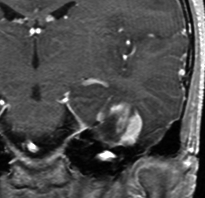
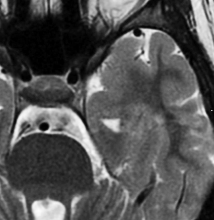
60代の女性に無症候で発見された稀な部位のPXA。結節様ですが脳とのはっきりした境はなく,多房性ののう胞を伴っていました。T2とFLAIR像ではわずかな浸潤像あるいは腫瘍周辺浮腫が疑われます。PXAに特徴的な画像ですが,大脳深部発生でもあり,PXAと画像診断することはできません。定位脳生検術 MRI-guided sterotactic biopsyで病理組織診断を行ない経過観察しました。
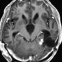
3年観察したら嚢胞を伴って増大しました。幸いのう胞性拡大が脳表方向であったのでparietal transcortical approachで全摘出できました。側脳室三角部腫瘍への到達法と同じアプローチですが,この経路では頭頂葉症候を後遺することがありません。


術後は無症状で8年間再発はありません。

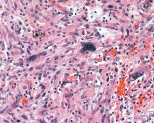
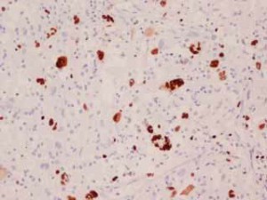
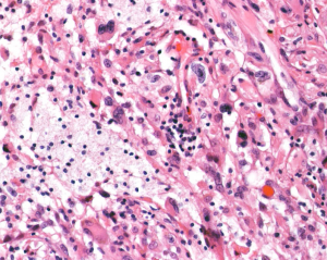
lipidized cells (胞体に空胞が見られるastrocyte), pleomorphic / polynuclear astrocytes, perivascular lymphocyte infiltration, macrophageの集簇などがみられます。著明なmacrophageの浸潤があります。lipidized cellsが見られない場合にはanaplastic astrocytomaとの鑑別がHE染色のみでは難しいと考えて下さい。MIB-1は1%でした。
病理像で退形成性の強いタイプ
anaplastic pleomorphic xanthoastrocytoma WHO grade 3
- 1割から2割の症例で特に退形成性の強いタイプがあります
- ほとんどの症例で壊死はありませんが,壊死や小血管増生あるは核分裂が見られる例は,anaplastic pleomorphic xanthoastrocytomaとして扱った方がよいとされます
- この悪性度を示すPXAでは不完全摘出となれば早期再燃することがあります
- WHOの定義では,分裂能の高いタイプ(数個以上の核分裂/10HPF)とされます
- おそらくMIB-1は数%以上。壊死はあってもなくてもよい
- 通常のものより再発割合が高く,長期生存率も下がります
- しかし,症例が少ないので多数例での確実な治療法や生存率の検討はありません
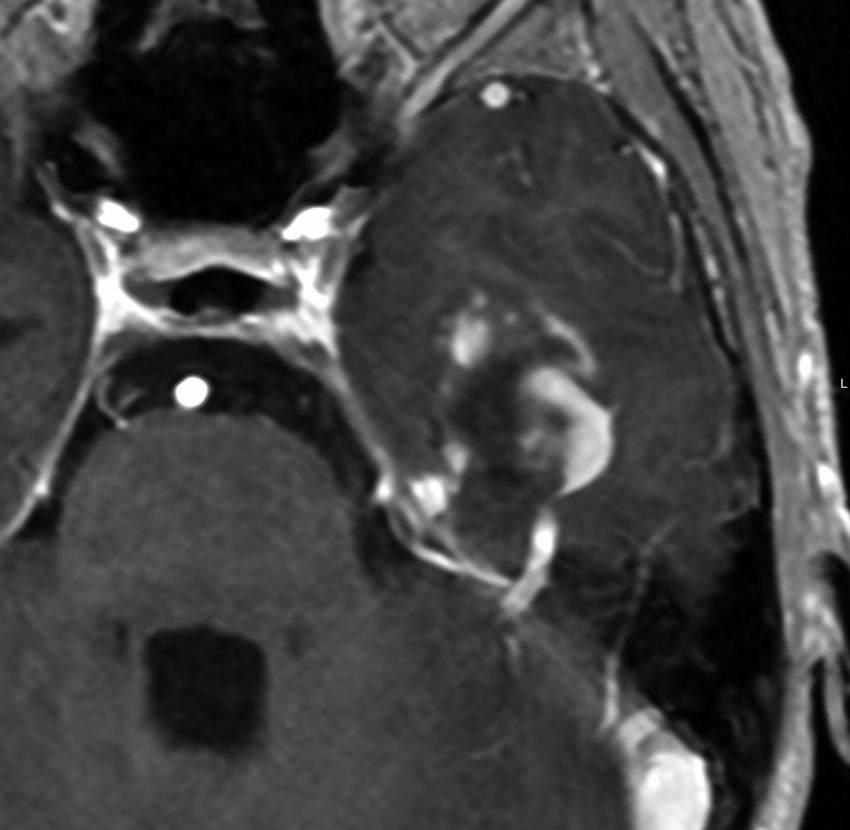
神経線維腫症1型に合併した退形成を示す anaplastic PXA
もともと停止性水頭症があり経過観察を受けていたNF-1の患者さんに発生したものです。嘔気と左片麻痺で発症しました。 開頭手術で亜全摘出(ほぼ全摘)しました。
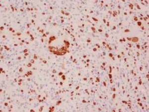
左側:HE染色です。多核巨細胞があり細胞の多型性が認められます。通常のPXAでは認められない核分裂像もあります。他の部分では腫瘍壊死像がありました。右側:GFAP染色。
左側:P53染色,右側:MIB-1染色の染色率が10%と非常に高く,腫瘍の増大速度が速いことが推定されます。
術後に小さな腫瘍が残っていた(左の画像)ので54Gy/27frの放射線治療をしましたが,無効でした。結局,再開頭手術で残存腫瘍を摘出しました。3年後に同じ部位で再発(中央の画像)したので,また開頭手術で摘出しました。そのまた3年後に同じ部位で再発しました(右側の画像)。この様に,摘出しきれなければ治らないし,摘出できれば治る可能性の高い腫瘍です。腫瘍床での再発は多いものの,転移とか脳深部への浸潤性増殖は少ないといえる腫瘍です。放射線治療が効きにくいということを併せて,atypical meningioma WHO grade 2と似た性格を有しています。
分子診断
- 70%くらいのPXAにBRAF v600 mutationがみられます
- この変異がある腫瘍には化学療法が可能です
- ダブラフェニブ (Tafinlar) と トラメチニブ (Mekinistの有効性が広く認められています
- 日本では,下記の治験が開始されました
- 2023年に米国FDAが承認し一般的に使用されています
- BRAF v600変異がある腫瘍を有する15歳以下の小児にダブラフェニブ・トラメチニブ投与します
- 杉山未奈子先生が治験担当者です。
RAF V600変異陽性局所進行・転移性小児固形腫瘍に対するダブラフェニブ・トラメチニブの第II相試験 (jRCTs011220017)
(クリックすると開きます)
文献情報
BRAF v600変異のあるグリオーマとその比率
Andrews LJ: Prevalence of BRAFV600 in glioma and use of BRAF Inhibitors in patients with BRAFV600 mutation-positive glioma: systematic review. Neuro Oncol 2022
1. epithelioid glioblastoma (eGBM) : 69%
2. pleomorphic xanthoastrocytoma (PXA) : 56%
3. anaplastic pleomorphic xanthoastrocytoma (aPXA) : 38%
4. ganglioglioma (GG) : 40%
5. anaplastic ganglioglioma (aGG) : 46%
6. Prevalence in astroblastoma : 24%
7. desmoplastic infantile astrocytoma (DIA) : 16%
9. subependymal giant cell astrocytoma (SEGA) : 8%
10 dysembryoplastic neuroepithelial tumor (DNET): 3%
11 diffuse astrocytoma (DA) : 3%
12 pilocytic astrocytoma (PA) : 3%
BRAF V600遺伝子変異があるものにMARK阻害剤が有効
Berzero G: Sustained tumor control with MAPK inhibition in BRAF V600–mutant adult glial and glioneuronal tumors. Neurology 2021
MARK阻害剤 (RAFi/MEKi)の効果を検証した論文です。再発あるいは播種した,成人の神経節膠腫9例,多型黄色肉芽種9例,びまん性グリオーマ10例にこの治療がなされていました。全ての例が高悪性度腫瘍の画像所見を有していました。vemurafenib, dabrafenib, cobimetinib, trametinib などの薬剤が使用されています。11例39%に明らかな腫瘍縮小(PR, CR) が認められました。FPSは18ヶ月でした。
dabrafenibで長期寛解が得られたグレード3 PXA
Amayiri N: Sustained Response to Targeted Therapy in a Patient With Disseminated Anaplastic Pleomorphic Xanthoastrocytoma. Pediatr Hematol Oncol. 2018
BRAF v600変異があり,播種したanaplastic PXAにダブラフェニブが投与されました。投与開始後2年の時点でQOLが良い状態で生存しているとの1例報告です。
Vemurafenibが有効な例がある
Kaley T: BRAF Inhibition in BRAFV600-Mutant Gliomas: Results From the VE-BASKET Study. J Clin Oncol. 2018
BRAF v600変異がある例で,vemurafenib 960 mgが1日2回投与されました,腫瘍が縮小した2例,消失した1例があったそうです。
グレード3 PXAは手術で完全摘出するべき
Rutkowski MJ, et al.: Pleomorphic Xanthoastrocytoma with anaplastic features: a retrospective case series. World Neurosurg 2016
UCSFからのグレード3 PXA 8例の報告です。3例でBRAF mutationがありました。6例で全摘出できず,放射線化学療法が加えられましたが,全員に腫瘍が再燃しました。再燃までの中央値は20ヶ月です。4人で髄液播種を生じています。
BRAF V600E mutationがあるものは予後が良い
Ida CM, et al.: Pleomorphic Xanthoastrocytoma: Natural History and Long-Term Follow-Up. Brain Pathol 10: 2014
メイヨクリニックからの報告です。74人の患者さんの年齢中央値は21歳でした。anaplasiaというのは,腫瘍に壊死があるか,細胞の分裂能が高い(mitotic index >5/10HPF)ことと定義しました。mitotic indexの高い例のほとんどに壊死が認められました。BRAFの変異は65% (39/60)にあり,変異の無い例より明らかに生存期間が長かったとのことです (p=0.02)。逆に,anaplasiaがある患者さんの生存期間は短いとされています。3年以内に死亡した患者さんは,anaplasiaがあるか,手術で腫瘍が全摘出できていませんでした。
BRAF阻害因子の効果
Chamberlain MC. Salvage therapy with BRAF inhibitors for recurrent pleomorphic xanthoastrocytoma: a retrospective case series. J Neurooncol, 2013
BRAF inhibitorであるvemurafenibが4例の再発患者さんで効果があったかもしれないという報告です。これ以来,追試されていません。
米国の統計SEER
Perkins SM, et al.: Patterns of care and outcomes of patients with pleomorphic xanthoastrocytoma: a SEER analysis. J Neurooncol 110: 99-104, 2012
214人のPXAの患者さんの解析です。ほとんどが若年成人で,側頭葉に多かったそうです。外科摘出が95%に行われていて,放射線治療は25%の患者さんが受けていました。5年前生存割合は75%であり,10年全生存割合は67%でした。ですから3分の1の患者さんが腫瘍死したということになります。この論文にはグレード4 PXAというのが登場するのですが,それが何かはわかりません。全摘出 gross total resectionすると明らかに予後が良かったそうです。
文献
- Chamberlain MC. Salvage therapy with BRAF inhibitors for recurrent pleomorphic xanthoastrocytoma: a retrospective case series. J Neurooncol 114
- Giannini C, et al.: Pleomorphic xanthoastrocytoma: what we really know about it? Cancer 85: 2033-2045, 1999
- Ida CM, et al.: Pleomorphic Xanthoastrocytoma: Natural History and Long-Term Follow-Up. Brain Pathol 10: 2014 [Epub]
- Perkins SM, et al.: Patterns of care and outcomes of patients with pleomorphic xanthoastrocytoma: a SEER analysis. J Neurooncol 110: 99-104, 2012
- Rutkowski MJ, et al.: Pleomorphic Xanthoastrocytoma with anaplastic features: a retrospective case series. World Neurosurg 2016

















