下垂体細胞腫 pituicytoma,トルコ鞍部顆粒細胞腫 granular cell tumor of the sellar region,下垂体紡錘形細胞オンコサイトーマ spindle cell oncocytoma
下垂体細胞腫 pituicytoma WHO グレード1
トルコ鞍部 顆粒細胞腫 granular cell tumor of the sellar region
紡錘形膨大細胞腫,オンコサイトーマ spindle cell oncocytoma
WHO 2021年脳腫瘍分類では,上記いずれもTTF1核発現が認められるので,全て疾病と考えられます
-
- 神経下垂体組織から発生するグリオーマです
- 下垂体細胞腫と呼称した方が良いでしょう
- 増大速度は遅く,基本的には良性の臨床経過をたどる腫瘍です
- 極めて稀なものでめったに見るものではありませんから,手術前に診断されることはないというくらいです
- 大きなものでは治療が必要ですが,手術摘出のみです
- とても硬くて,出血が激しい腫瘍で,下垂体組織からはがすことができません
- 浸潤性ではないのですが癒着が強く,視床下部方向へ進展すると,視床下部脳組織から剥離できません
- ですから,部分摘出に終わることも多く,手術難易度はかなり高いと言えます
- 手術後残存腫瘍は数年単位で増大すると考えます

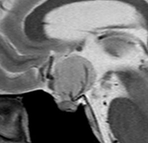
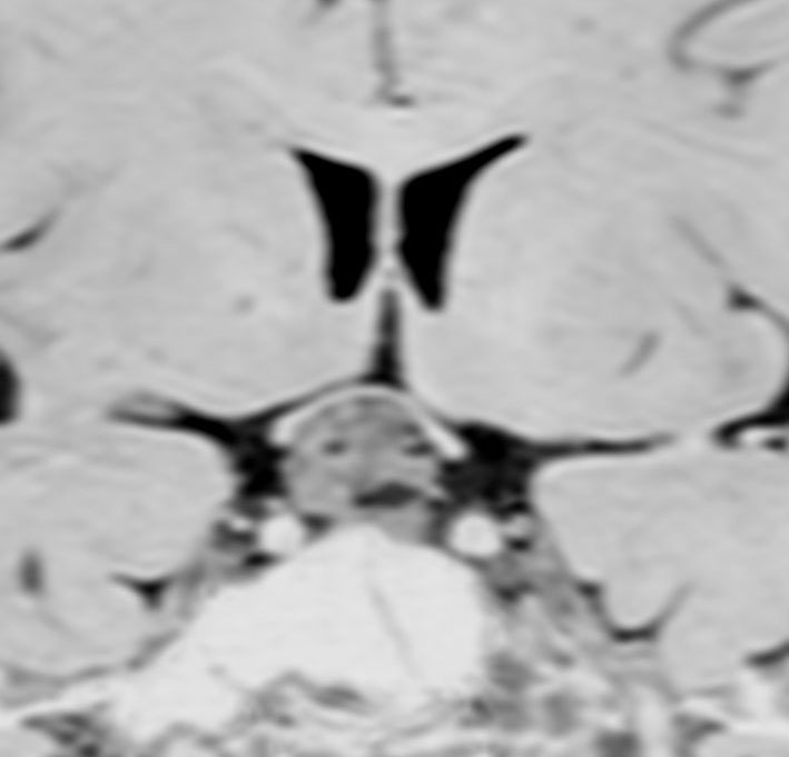
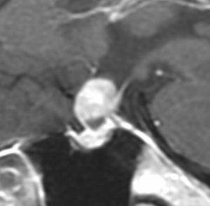
下垂体後葉腫瘍の典型的な画像です。下垂体柄(黄色の矢印)が伸びて前方へ偏移しています。またその直下に下垂体前葉(強い白の部分)がみえます。
ジャーミノーマでは下垂体柄も同時に太くなるのでジャーミノーマは否定的な所見です。
下垂体細胞腫 pituicytoma
-
- 成人のトルコ鞍内から鞍上部にできます
- 発症年齢中央値は50歳くらいです
- 病理分類としては,視床下部神経下垂体・下垂体柄・下垂体後葉にできるグリオーマです
- 視床下部下垂体の神経組織 pituicyteから発生するとされています
- 症状は,視交叉圧迫による視野障害と下垂体ホルモンの不足です
- 性欲の減退,頭痛,易疲労性などです
- 高プロラクチン血症で無月経で発症することがあります
- 大きくなると視床下部障害としての記憶力の低下や認知機能低下を生じます
- 病理学的には境界明瞭なグレード1の良性腫瘍とされます
- 数年かけてゆっくり大きくなります
- 手術摘出できれば治る腫瘍です
- でも視床下部に癒着して摘出ができない例があります
- 一般的には予後は良好とされます
画像診断
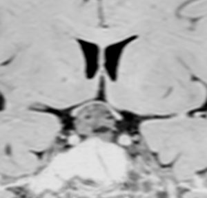
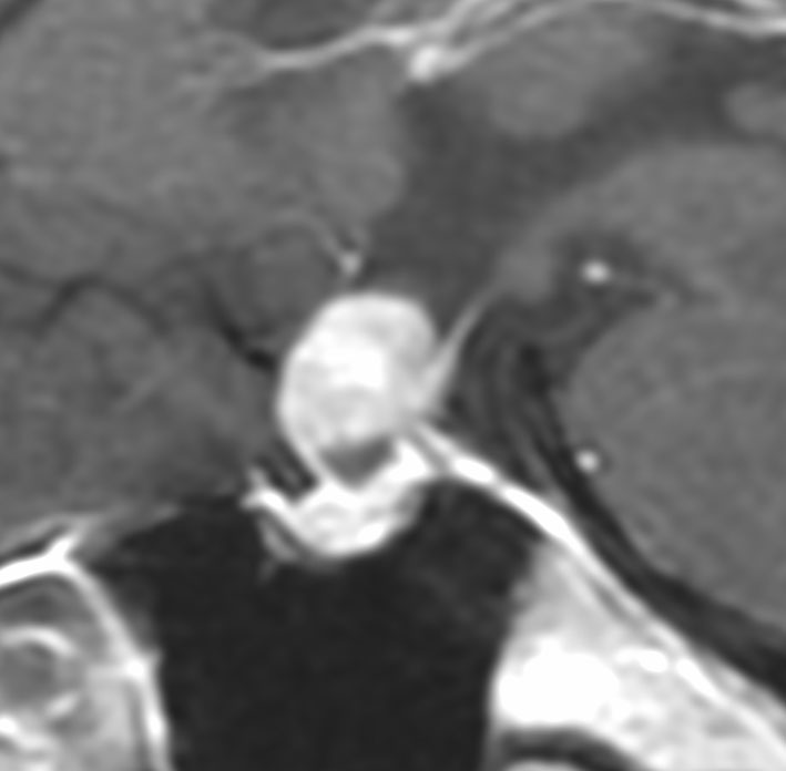
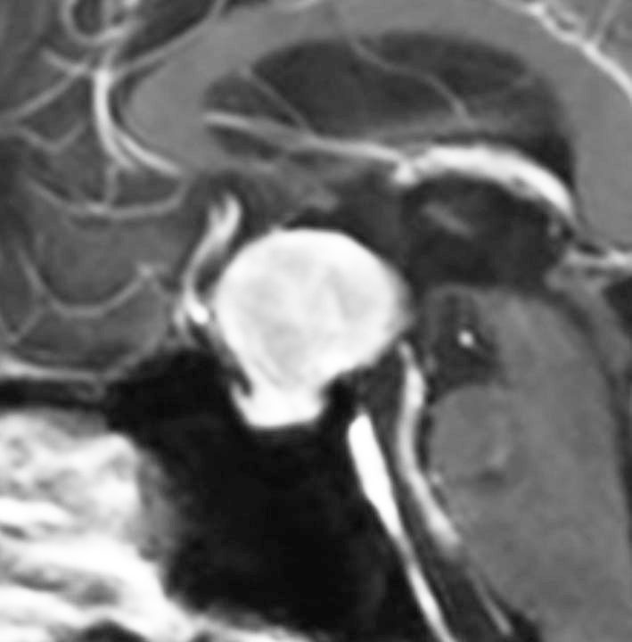
MRIとCTでは後床突起の上に乗っているように見え,後床突起髄膜腫とも紛らわしいです
この例は下垂体柄が認識できて,灰白隆起から発生したとしか思えませんでした
-
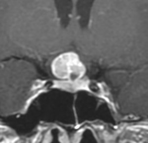
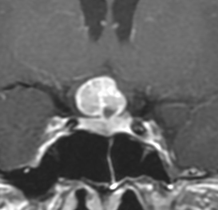
- 画像上は境界が明瞭な腫瘍です
- 腫瘍内部にvascular voidsが多く見えて激しく出血する腫瘍です
- トルコ鞍内から発生することが多いと記載されていますが,実際は灰白隆起か下垂体柄からの発生が多く,鞍上部腫瘍となります
- 鞍背の髄膜から血流を受けて増大するので,鞍背の骨肥厚や過形成 hyperostosisが見られることがあります
- トルコ鞍内にあるものは,下垂体腺腫と間違えることがあります
治療は手術摘出
-
- 手術で取れれば治りますし,手術摘出しか治療手段はありません
- 稀ですがトルコ鞍内中心で,鞍上部にあまり大きくないものでは経鼻手術で摘出できます
- 文献では,境界明瞭で周囲組織との癒着は少ないと記載されていますが,そうではありません
- 下垂体組織や視床下部との剥離は極めて困難です
- 下垂体柄を一緒に摘出してしまえば腫瘍はとれます
- 高度に出血性の腫瘍です
- 大きなものは激しい出血をきたし摘出ができないことがあります
- 視床下部障害を招くので摘出できない例もあります
- 手術により下垂体柄断裂あるいは後葉損傷となります
- 術後の合併症として尿崩症が多いです
- 汎下垂体機能低下症となる可能性が高いです
トルコ鞍部 顆粒細胞腫 granular cell tumor of the sellar region
-
- 神経下垂体あるいは下垂体柄から発生するWHOグレード1の良性腫瘍です
- 中年女性に好発します
- 中でも鞍上部の下垂体柄から出ることが多いので,鞍背の上にある境界明瞭な腫瘤となります
- 症状は下垂体腺腫と同様に両耳側半盲です
- 神経下垂体から発生するのですが尿崩症を呈することはまれです
- 大きなものでは下垂体前葉機能低下となります
- 症状経過は数年単位のゆっくりしたものです
- MRIでガドリニウム増強されるのですが,CTでの石灰化はありません
- 硬膜のtail signがないことで鞍隔膜の髄膜腫と鑑別されます
紡錘形膨大細腫 spindle cell oncocytoma
-
- 上記2つの腫瘍と同じような臨床経過と画像所見を有します
- 発生部位のみが異なり,腺下垂体(前葉)から発生します
- 鞍上部,海綿静脈洞,トルコ鞍底部に浸潤することがあります
- 症状と画像所見は非機能性下垂体腺腫に類似します
- MRIガドリニウム増強で,下垂体腺腫は正常下垂体より増強が弱いのですが,spindle cell oncocytomaは血流が激しい腫瘍なので,より強くいびつに増強されます
- まれに石灰化や腫瘍内出血があり,頭蓋咽頭腫と誤診されることがあります
- 血管撮影では,内頸動脈からの腫瘍動脈が描出されます
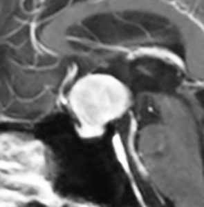
40代の女性に,軽度の両耳側半盲で発生したものです。視交叉と視床下部の下面に腫瘍があり,下垂体柄の位置が全くわからず,下垂体の前葉と後葉は侵されていません。ですから,下垂体柄から発生した腫瘍であり,pituicytomaが強く疑われます。T2ではほぼ等信号,小さなのう胞があり,ガドリニウムで強く増強されます。手術では正常下垂体柄の一部が右側にうすく残っており,幸運にも亜全摘出できて下垂体機能は温存できました。残存腫瘍は増大傾向を示していません。でも,このようなタイプを積極的に摘出すると,汎下垂体機能低下症を招くことが多いので,手術するかどうかの判断はとても難しいです。





