NF-1に合併する脳幹部グリオーマ
神経線維腫症1型 NF-1 に合併する脳幹部神経膠腫
brainstem glioma associated with neurofibromatosis type 1
- 特徴は,びまん性橋膠腫と異なり,橋だけではなくて延髄にも中脳にも視床にもできることです
- 小さい腫瘍が多いです
- 症状が出ることは珍しくNF-1の子どもに偶然発見されます
- フレアとかT2というMRIの画像で白く滲んで見えます
- 腫瘍がある場所が腫れていますが浮腫ではありません
- MRIでガドリニウム増強されないものが多いです
- ほとんどのものが大きくなりません
- 幼児や少年の時に発見されるとだんだん大きくなってくることもあるのですが,治療をしないで経過を見ます
- 特に,放射線治療をしてはなりません
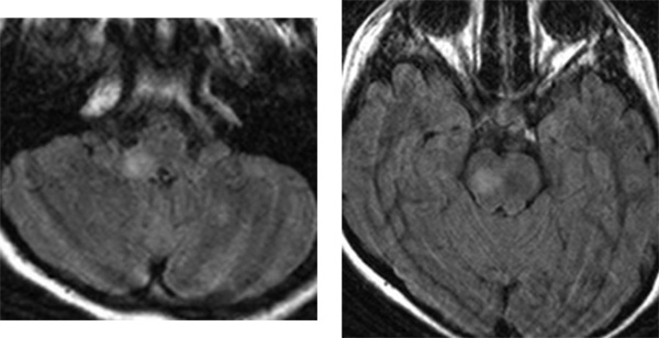
10歳のNF-1の子どもに発見された延髄のグリオーマ
10歳の時のMRI
延髄(左の写真)と中脳(右の写真)にFLAIR画像で病変が見られます
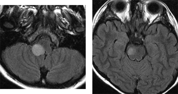
11歳の時のMRI
延髄の病変(左側)だけが増大していますが,あわてて治療しません
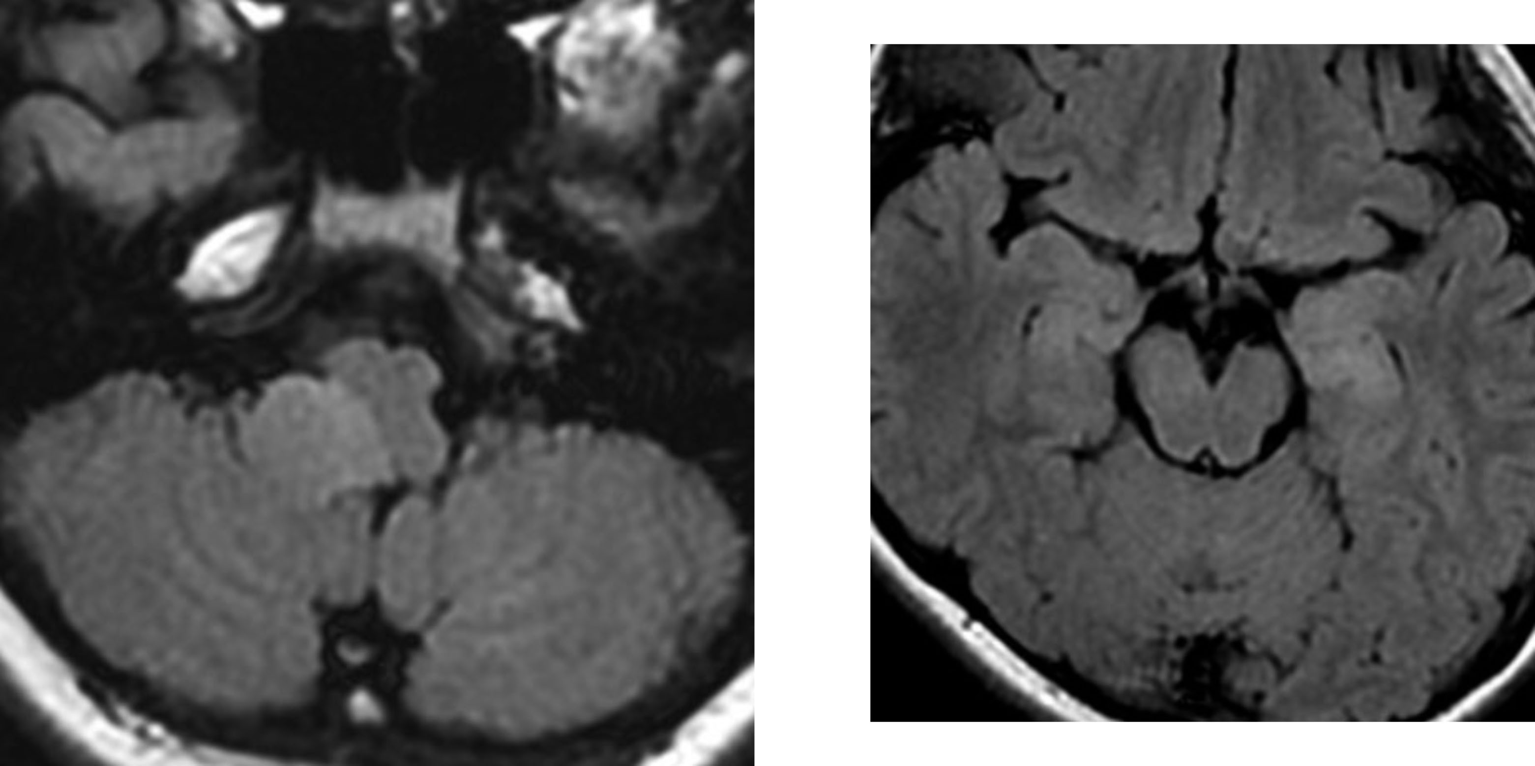
14歳の時のMRI
延髄の病変は4年間大きくなり続けていますが我慢して経過観察をします,このような時に,組織を採ってみないと診断がつかないと言われて,生検手術などをされてしまうことがあります(>_<)
逆に中脳(左の写真)の病変は消失しました
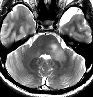
16歳の時のMRI
2年の間に延髄の腫瘍はかなり小さくなりました,これを自然退縮 spontaneous involusion と言います
NF-1 20代成人のpontine glioma
少しmass effectもあり,診断名としてはdiffuse pontine gliomaというしかないのですが,何もしないで放置します。それでも大きくなったりしません。




