粘液乳頭状上衣腫 myxopapillary ependymoma
- 子どもと若い成人に多いのですが,中高年でもあります
- 腰の背骨の中の神経にできる良性の腫瘍です
- 学問的には,脊髄の下端・脊髄円錐と馬尾と終糸というところです
- とてもゆっくり大きくなります
- とても長い間つづく背中の痛みと腰の痛み (back pain) が最初の症状です
- その後で,両下肢のしびれや脱力,おしっこが出づらいなどという症状がでます
- 症状が出ても非常にゆっくり進行するので数ヶ月から2年くらいかかって診断されることも多いです
- 悪性にはなりません
- 治療は,外科的に摘出することです
- 整形外科でもこの手術をすることがありますが,神経から出る腫瘍で脊髄とかたくさんの脊髄神経に絡んでいますから,脳外科で顕微鏡手術を受けた方がいいです
- 手術で完全摘出できるかどうかは発見された時の腫瘍の大きさにほぼ比例します
- 馬尾にからにつくように増大したものは全摘出できません
- 全部取れれば治りますが,腫瘍が残ればしばしば再燃します
- 全部取れなくても,残っている腫瘍がごくわずかならしばらく経過をみます
- 積極的に摘出したとしても,3割以上は局所再燃します
- 手術後に残っている腫瘍が大きくなる傾向を示したら局所放射線治療(50グレイくらい)をします (salvage radiation therapy)
- 手術でかなりの部分を取り残した時は術後に局所放射線治療をします (adjuvant radiation therapy)
- ほんとうの髄液播種(転移)というのは世界の論文を集めてもあるかないかくらいの低い頻度しかありません
- 脳と脊髄に広範に放射線治療を当てると説明されたら拒否しましょう
- 多発性に見えるような場合でも,MRIでみえる場所だけに局所照射を行います
- 手術後再発や放射線治療後再発に対して,また摘出術を繰り返すと脊髄神経の癒着が強く,重い障害(排尿排便障害,両下肢の麻痺,下半身のつらい感覚異常)が生じることがあります
- この意味では,初回手術で経験の深い脳外科医に摘出をしていただくことが大切と言えます
- 化学療法(制がん剤)は効きません
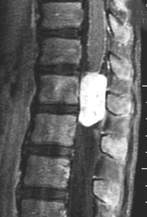
MRI診断
- MRIでは腰部脊柱管内に境界明瞭な,ガドリニウムで強く増強される腫瘍です
- 腫瘍内嚢胞が多数見られることや腫瘍内出血の所見も特徴的なものです
- 緩徐に増大するので症候性となる時には腰部脊柱管内くも膜下腔を埋め尽くすようなものもあります
- 脊髄や脊髄神経根へあh浸潤しません
脊髄円錐下端の終糸から発生した典型的な粘液乳頭状上衣腫です。おそらく手術合併症を生じることなく全摘出できるタイプです。
drop metastasisとCSF dissemination
- この腫瘍が播種性格を有するかどうかには疑問があります
- たしかにきわめて希に播種はありますが,ほんとうに珍しいものです
- 術後の転移巣 drop metastasis を播種と勘違いしている向きがあります
- でも,まれに初発時に多発性病変が見つかることがある腫瘍です
- これはWHO grade 1の経過をたどる良性腫瘍としてはとても珍しいことです
- 病理学的には,毛様粘液性星細胞腫 (WHO grade 1で播種性格を有する)と毛様細胞性星細胞腫(WHO grade 1で播種性格がない)のような違いがどこかにあるのかもしれません
- 粘液乳頭状上衣腫では,奇形腫,頭蓋咽頭腫などのように,手術しているときに腫瘍の断片をまき散らして転移させてしまうことが多いと考えられます
- 手術のときには超音波吸引機を使って腫瘍をバラバラにまき散らすような操作をしないことが大切です
- そのような手術をしている施設では,播種が多く起こると勘違いして,脳脊髄照射という侵襲の大きな放射線治療をしているのかもしれません
注意:予防的な脳脊髄照射はしない
- グレード2の上衣腫と同じように脳脊髄照射はしないことになりました
- 播種はあり得るのですが頻度がとても低いからです
- また,粘液乳頭状上衣腫のコントロールには大きな線量の放射線が必要なので,全部の脳に予防的照射をすれば,認知機能が落ちて社会復帰できなくなります
上衣系腫瘍 ependymal tumors のWHO分類 ( 2016年)
Subependymoma (grade I) 上衣下腫
Myxopapillary ependymoma (WHO grade I) 粘液乳頭状上衣腫
Ependymoma (grade II) 上衣腫 : Papillary, Clear cell, Tanycytic
Ependymoma, RELA fusion-positive 上衣腫RELA fusionがあるもの
Anaplastic ependymoma (grade III) 退形成性上衣腫
- 粘液乳頭状上衣腫はWHOグレード1に分類される良性腫瘍です
- 組織学的にはmyxoid matrixが特徴的で,GFAPに強く染色され,EMAとS-100も陽性となります
- 粘液乳頭状上衣腫が悪性化してgrade IIあるいはgrade III ependymomaとなることはありません
- MIB-1 indexは低い増殖力の低い腫瘍です
- 例外的に多発性であったり,頚髄や脳実質内から発生したり,髄液播種したという文献は見られますが,非常に希であり日常臨床では考慮するべきではありません
- 頭蓋内髄液播種例は2011年時点で世界で2例(Macedo et al. 2011, J Clin Oncol)とある一方,複数の播種再発を経験したという単施設報告もあります
- 尾仙部皮下に発生するmyxopapillary ependymomaは再燃率が高く転移能を示すこともあり,通常のmyxopapillary ependymomaとは異なったsubgroupに属すると考えられています
文献
- Abdulaziz M, et al.: Outcomes following myxopapillary ependymoma resection: the importance of capsule integrity. Neurosurg Focus 39, 2015
- Bagley CA, et al.: Long term outcomes following surgical resection of myxopapillary ependymomas. Neurosurg Rev. 2009 32: 321-34; 2009
Bagley CA, et al.: Resection of myxopapillary ependymomas in children.J Neurosurg 106:261-267, 2007 - Gilbert MR, et al.: Ependymomas in adults. Curr Neurol Neurosci Rep 10:240–247, 2010
- Macedo LT, et al.: Cerebrospinal tumor dissemination in a patient with myxopapillary ependymoma. J Clin Oncol 29: 2011 e-pub
- Pica A, et al. :The results of surgery, with or without radiotherapy, for primary spinal myxopapillary ependymoma: A retrospective study from the rare cancer network. Int J Radiat Oncol Biol Phys 74:1114–1120, 2009

