顆粒細胞星細胞腫 granular cell astrocytoma GCA
- すごく稀なグリオーマです
- 発症年齢中央値は50代後半,前頭葉と側頭葉に多く発生します
- IDH wild-typeのびまん性グリオーマ,星細胞系腫瘍です
- astrocytomaのsubtype とされていましたが,glioblastomaに属する腫瘍と捉えられます
- WHO基準による組織学的グレードは2, 3, 4に相当します
- macrophageのような大きな胞体を有し,好酸性顆粒を細胞質内に豊富に含むplump astrocytic cells顆粒細胞で構成される腫瘍です
- 組織グレードがどうあれ臨床的にはグレード4で,膠芽腫と同じです
- GFAP, OLIG2, S100, CD68が陽性になります
- ATRXは変異しています
- 腫瘍の外周あたりには,plump astrocytesが少なくなり,通常のびまん性星細胞腫とおなじような小型のdiffuse neoplastic astrocytesが浸潤性に広範囲に浸潤しています
- 治療抵抗性腫瘍で,生存期間中央値は1年ほどです
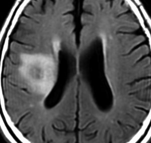
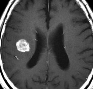
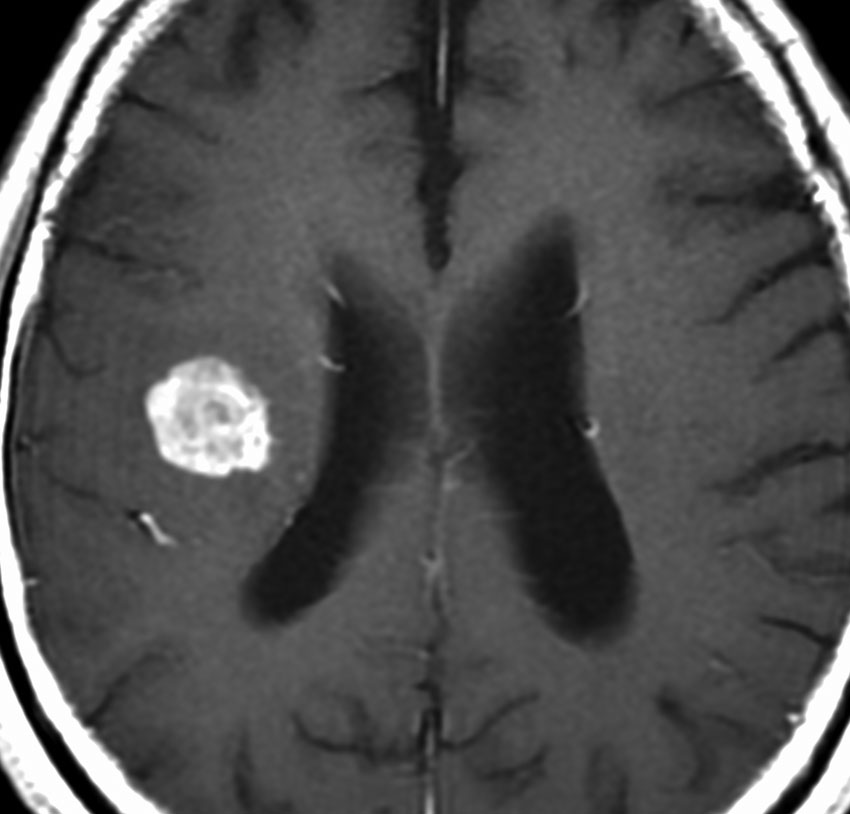
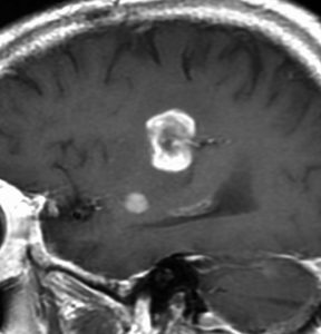
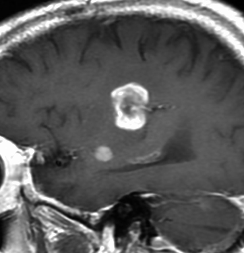
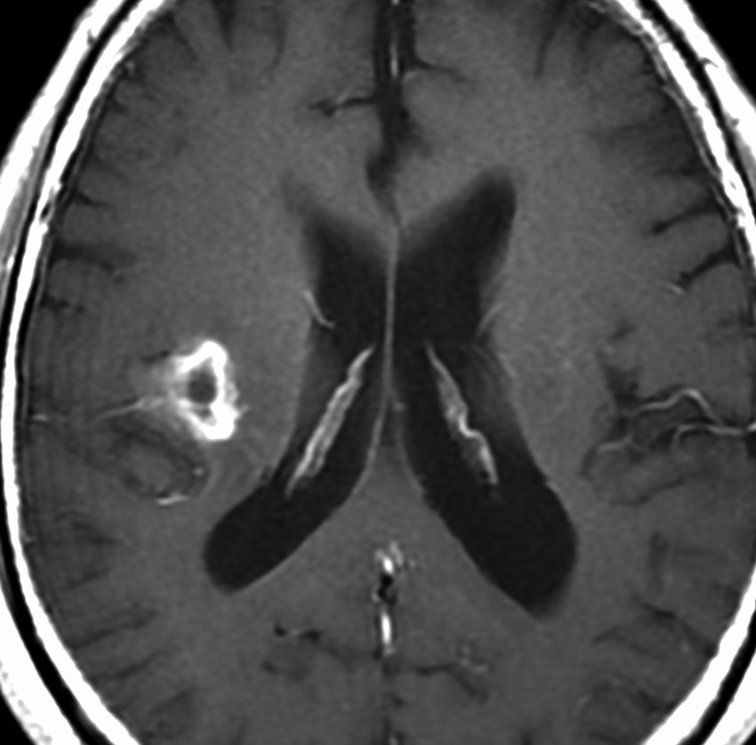
60代の患者さんの右前頭葉深部から島回に発生したものです。初発症状は症候性てんかんです。
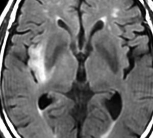
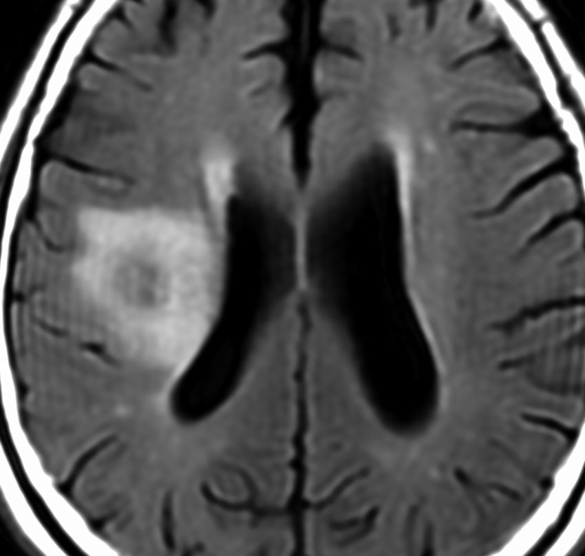
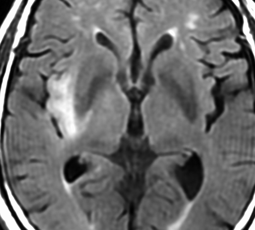
ガドリニウム増強される腫瘍の中心部に壊死があり,悪性神経膠腫としては腫瘍周囲浮腫が強すぎるように見えるので,リンパ腫 PCNSLに似た画像所見です。
脱髄性疾患であるtumefactive multiple sclerosisに画像所見も病理所見も類似することがあります。
IDH1, IDH2はwild typeで変異なし,ATRX染色陽性,MIB-1 25%と高値でした。
60グレイの局所放射線治療を行いました。




