グリオマトーシス 大脳神経膠腫症 gliomatosis cerebri,IDH野生型びまん性星細胞腫

2016年のWHO分類で,この腫瘍名は無くなりましたが,
概念としては重要です

IDH野生型のびまん性星細胞腫 diffuse astrocytomaが異常に広い領域に浸潤した臨床像とされます
gliomatosis cerebri growth pattern of IDH-wild type diffuse astrocytoma
  • 大脳に広範囲にしみ込むように広がる(浸潤する)神経膠腫 グリオーマを示す古い病名です
  • 2016年 WHO病理分類では,IDH-wild typeの星細胞系腫瘍と理解されています
  • 成人にみられます
  • 臨床的にはグレード4と同等の悪性腫瘍です
  • 初発症状は,症候性てんかん(けいれん発作)が最も多く,麻痺や失語症,頭痛,認知機能障害などでゆっくり悪化します
  • MRIで脳のとても広い範囲(左右の大脳から脳幹部までなど)に病変がにじむように見えます
  • とにかくdiffuse and infiltrativeといって,MRIで腫瘍の塊が見えないというのが定義です
  • 通常は造影剤で増強されませんが,MRIでガドリニウム増強される例の方が生存期間が短いとされています
  • 腫瘍の塊りを作らないで,脳の構造を保ったまま腫瘍細胞が増えて脳組織にしみ込んでいきます
  • 腫瘍細胞が脳の中を走り回るように広がって増えていきます
  • 神経細胞が破壊されないので,麻痺などの局所症状が出ないで頭痛で発症することもあります
  • 手術は生検術という診断のためにほんの少し腫瘍をとるということをします
  • 手術で病理診断をした時に,びまん性星細胞腫(グレード2),退形成性星細胞腫(グレード3)あるいは膠芽腫(グレード4)と診断されます
  • どのような病理診断が出ても,グリオマトーシスの病態を示せば予後は不良です
  • グリオマトーシスの病理診断グレード2の症例の予後はグレード4というややこしいことになっています
  • まれに乏突起膠細胞系腫瘍の病理像が混じることがあり,星細胞系腫瘍だけよりは良いかもしれないのですが,やはり長期生存は期待できません
  • 放射線治療で病勢の進行を一時的に遅らせることができます
  • 放射線治療は全脳照射 whole brain radiation therapy を用います
  • でも少なくとも40グレイ以上の大きな線量を用いますから,照射後数ヶ月くらいで認知機能は低下していきます
  • 化学療法(制がん剤)で有効なものは知られていません
  • 放射線治療をすると数ヶ月間,病勢の進行が抑えられます
  • 放射線治療を受けた患者さんでの生存期間の中央値は1年半くらいで,膠芽腫と同じくらいです
  • 無治療ですと1年以内くらいの生存期間となります
  • 残念ながら10年を超える長期生存例は報告されていません
病名がなくなっても特殊な病態として捉えておく必要があります
gliomatosisの病態を説明できるIDH以外の分子生物学的知見はまだありません

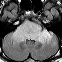
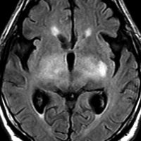
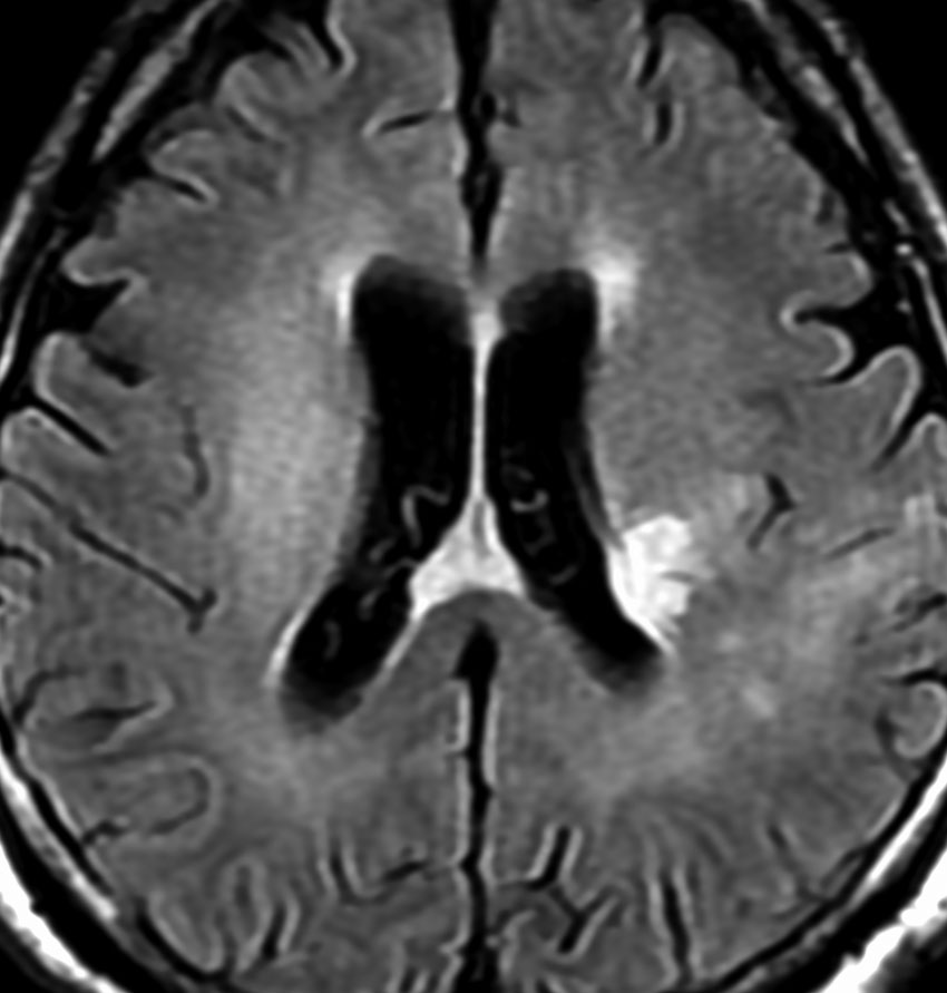
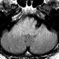
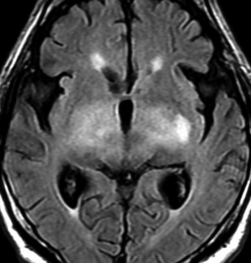
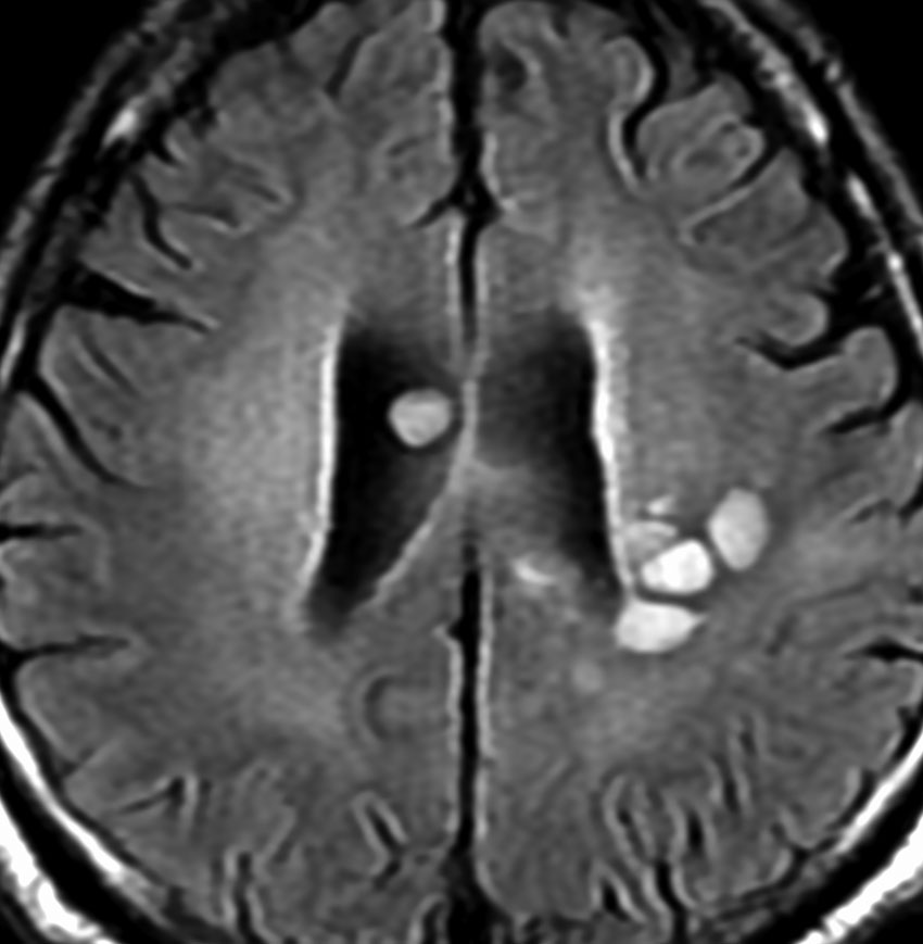
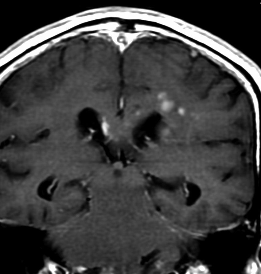
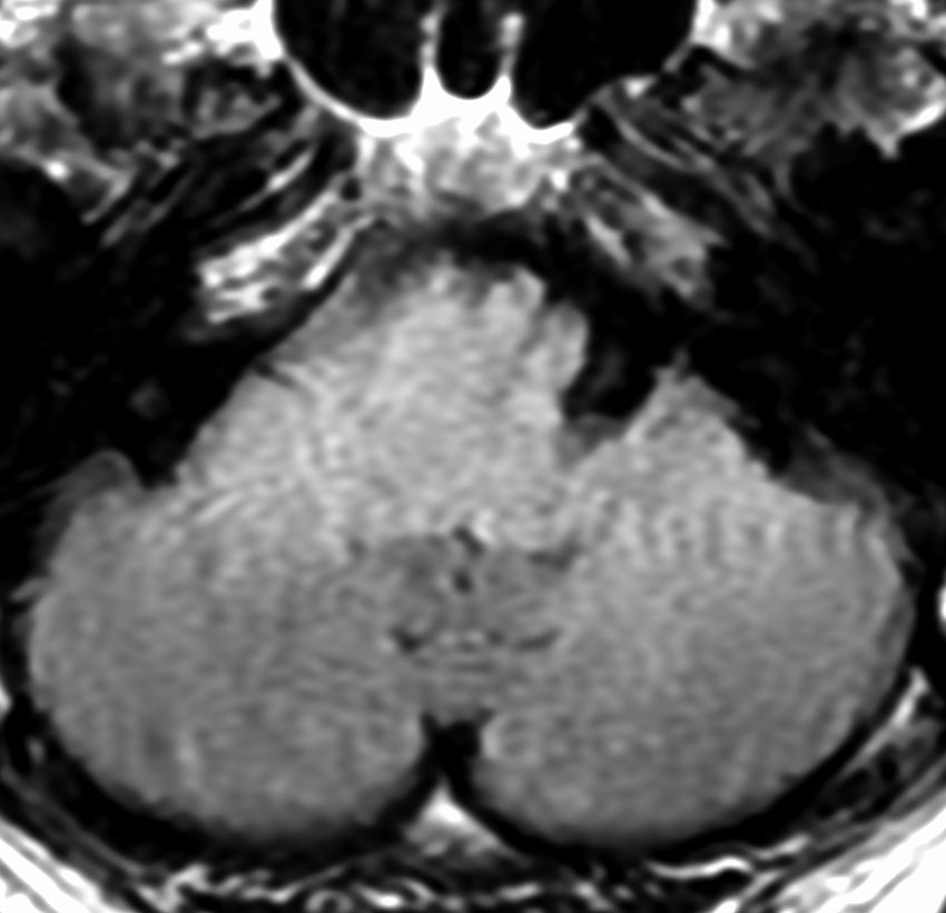
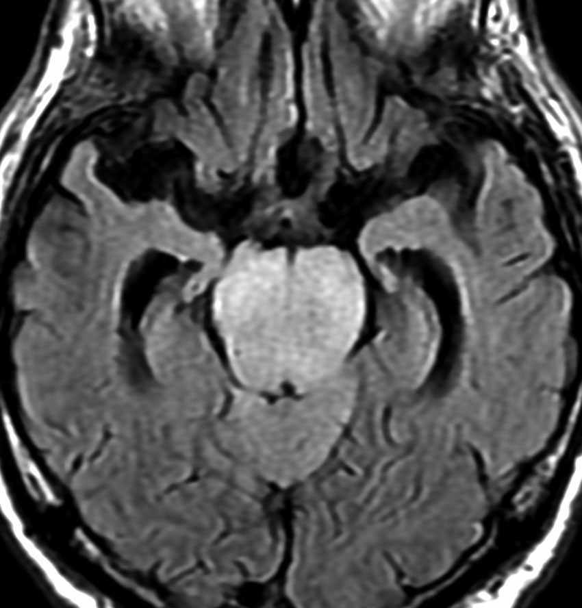
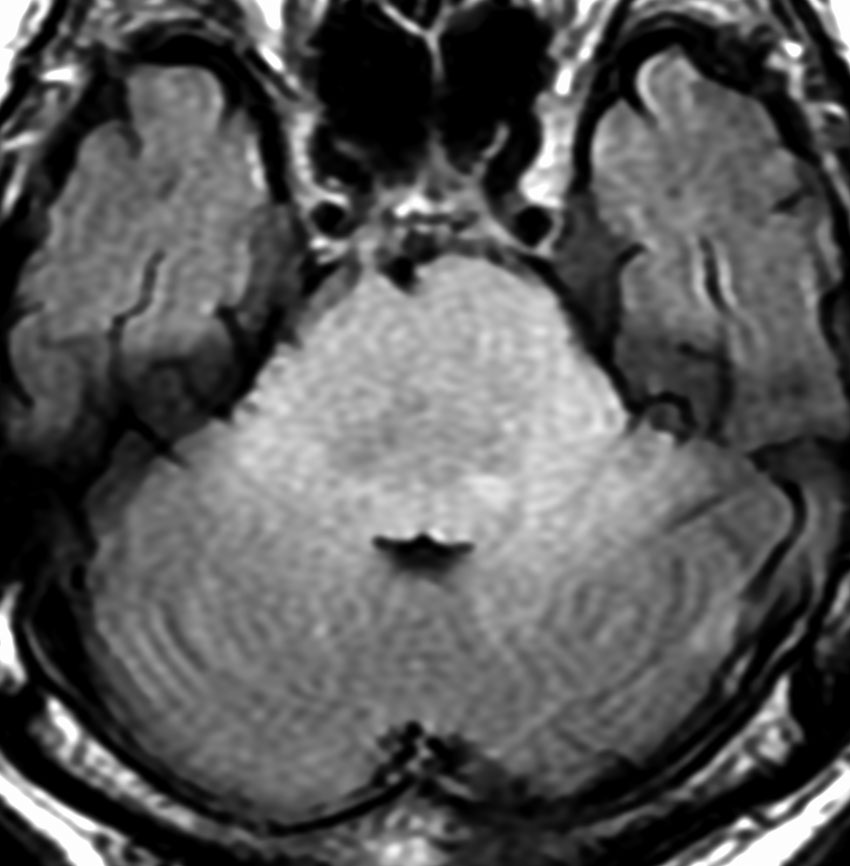
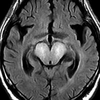
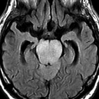
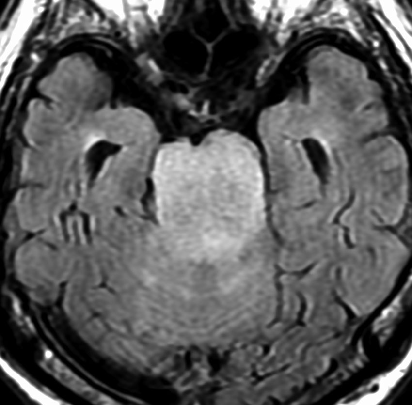
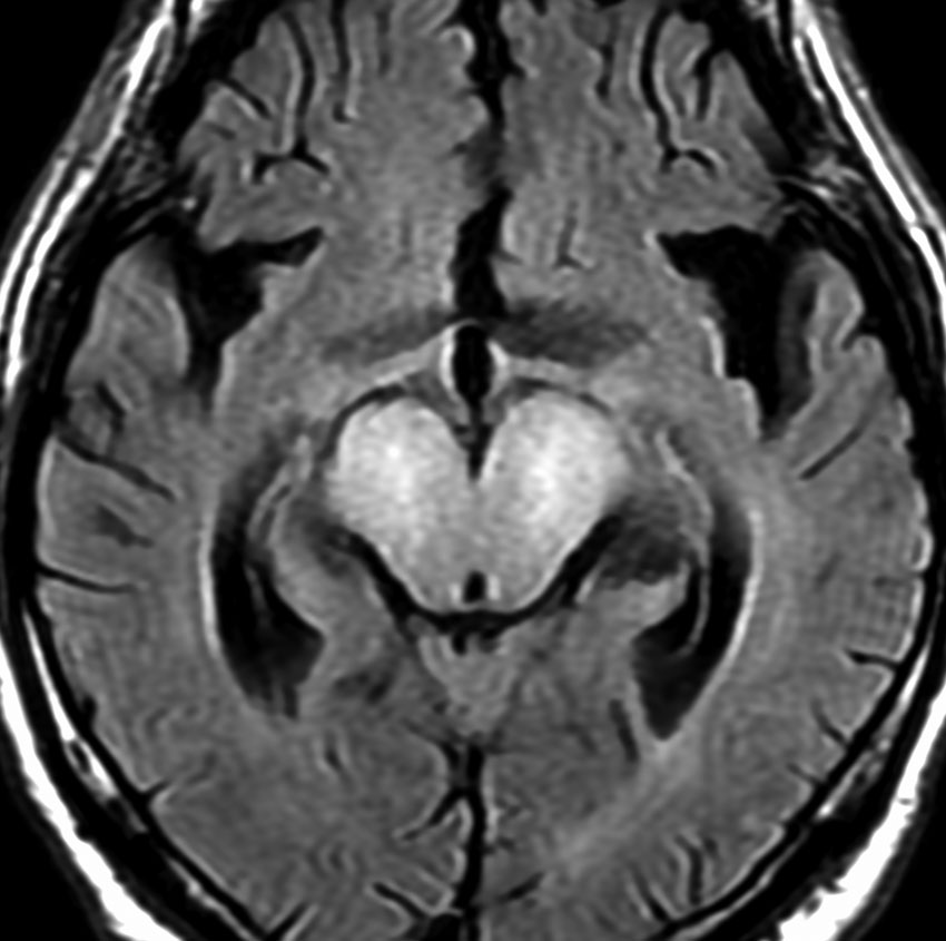
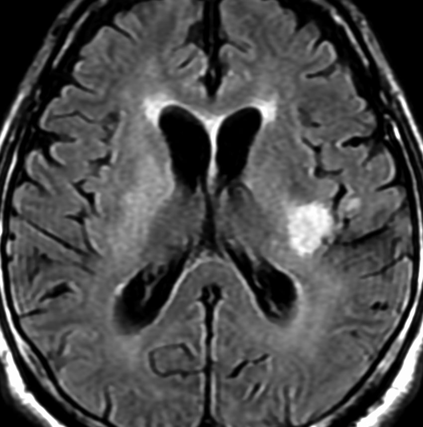
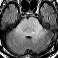
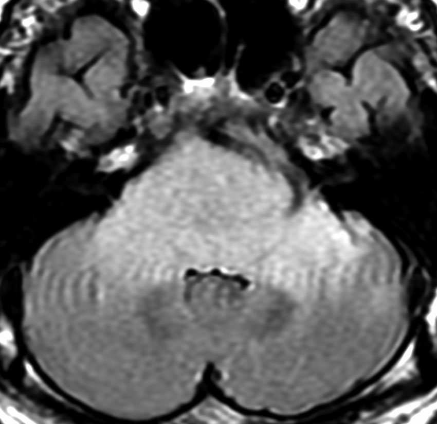
MRI画像所見 60代で嚥下障害と構音障害で発症した例

延髄から中脳まで腫瘍があって脳幹部が腫れています。この画像ですと,小児のびまん性橋膠腫(DIPG,びまん性正中グリオーマ)のように見えます

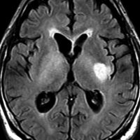
両側視床から大脳基底核,両側大脳半球深部白質,脳梁まで広範囲に腫瘍が存在します。退形成性星細胞腫のようにまだらにガドリニウム増強されます。

診断で気をつけること

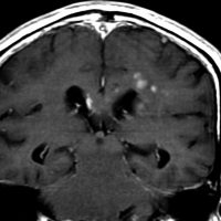
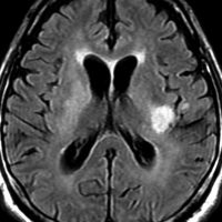
両側の大脳半球の深部白質に脳梁を越えて広がる乏突起膠腫をグリオマトーシスと診断してはなりません。でも,この乏突起膠腫の予後は良いので大きな線量の放射線治療をしてはいけません。実例が他のページにあります(ここをクリック)。

メイヨクリニックからの報告

Chen S, et al.: Gliomatosis cerebri: clinical characteristics, management, and outcomes. J Neurooncol 112: 267-275, 2013
1991年から2008年からの54例が解析されました。定義は,びまん性のグリオーマが病理学的に証明されていて,大脳3葉 three lobes以上にまたがるものです。生存期間中央値は18.5ヶ月と膠芽腫とほとんどかわりません。高齢者と状態の悪い患者さんでの予後が悪かったそうです。グレード2の病理像を有するもので34ヶ月,グレード4の病理像をみると8.5ヶ月の生存期間となりました。放射線治療をかけた群で無増悪生存期間が16.5ヶ月,放射線治療しなかった群で4.5ヶ月でした。

大きな統計

Taillibert S, et al.: Gliomatosis cerebri: a review of 296 cases from the ANOCEF database and the literature. J Neurooncol 76: 201-205, 2006
文献とANOCEFからの296例を解析したパリからの報告です。発症年齢の中央値は42歳です。生存期間中央値は14.5ヶ月でした。若くて状態が良くて病理診断でグレードが低い方予後がよく,グレード2では20ヶ月,グレード3では11.5ヶ月,グレード4では8.5ヶ月です。注意しなければならないのは,このグレード2星細胞腫という診断での生命予後が20ヶ月しかないことです。一方で,グリオマトーシスではない,びまん性星細胞腫グレード2の生存期間中央値は4年を超えるのです。まれにグリオマトーシスの病理像に乏突起膠腫の部分像が認められることがあり,そのような例では少しだけ生存期間が長いそうです。

灰白質を侵さないグリオマトーシスの方が化学療法反応性が良い

Kaloshi G, et al.: Gray matter involvement predicts chemosensitivity and prognosis in gliomatosis cerebri. Neurology 73: 445-449, 2009
フランスからの報告です。脳には白質と灰白質というところがあります。灰白質は神経細胞が存在するところです。この灰白質をより多く侵す(腫瘍が中に入り込む)もののほうが生存期間が短いとのことです。71人の患者さんで解析されたところでは,灰白質をおかす割合が低い例ではテモダール upfront chemotherapyへの反応がよく,生存期間中央値が56ヶ月と非常に長く,1p/19q欠失割合が高かったそうです。乏突起膠細胞の成分が多い訳ではなかったとも記載されています。
「解説」この論文は注意して読まなければなりません。生存期間中央値が56ヶ月にも及んでいることです。グリオマトーシスではあり得ないほど良い成績です。両測範級にまたがっておとなしい広範囲のグレード2乏突起膠腫やびまん性星細胞腫を症例として含んでいるのではないかと疑われます。

小児例の報告

Armstrong GT, et al.: Gliomatosis cerebri: 20 years of experience at the Children’s Hospital of Philadelphia. Cancer 107: 1597-606, 2006
Landi A, et al.: Gliomatosis cerebri in young patients’ report of three cases and review of the literature. Childs Nerv Sys 27: 19-25, 2011
2006年のフィラデルフィア小児病院からの報告で,文献上は51例の小児例の報告があったとのことです。2年全生存割合は64%でしたが,10歳以下の方が生命予後は特に短かかったそうです。一方,2011年のローマ大学からの報告で,10歳以下の25例では生存期間は2年前後であり,放射線治療とテモゾロマイドを使用してみる価値があるかもしれないとしています。

テモダールと放射線で腫瘍が消えたという1例報告

Mattox AK, et al.: Marked response of gliomatosis cerebri to temozolomide and whole brain radiotherapy. Clin Neurol Neurosurg 114: 299-306, 2012
デューク大学からの報告ですから信用度は高いです。一人の患者さんに通常量のテモゾロマイドと全脳照射 50グレイの治療がなされました。治療後腫瘍が完全に消失して38ヶ月の観察期間では再発はなかったそうです。
「解説」通常は,50グレイという大量の線量を全部の脳に照射するということはなされません。かなり高度の認知機能障害と人格の変化が生じる治療線量だからです。

病理像

大脳膠腫症 gliomatosis cebri とは腫瘍性星細胞が結節 (solid mass) を作らず,びまん性に発育して脳の広範な部位,時としては全脳におよび, 一部位からの発生・浸潤とは考えられないようなものを指します。壊死や嚢胞形成を伴うことがなく,腫瘍性星細胞の増加のみを認めます。臨床的には,人格の変化や痴呆などで発症し,経過中に不全麻痺などの局所症状や,痙攣,うっ血乳頭も加わってきます。臨床症状のみでの診断は困難で,古くは剖検によってのみ確定診断がされていました。実際には真のgliomatosis cerebriを見ることはほとんどなく,ある種の星細胞腫diffuse astrocytomaの広範伸展像をgliomatosisと診断していることが多いです。

 文献

  • Armstrong GT, et al.: Gliomatosis cerebri: 20 years of experience at the Children’s Hospital of Philadelphia. Cancer 107: 1597-606, 2006
  • Chen S, et al.: Gliomatosis cerebri: clinical characteristics, management, and outcomes. J Neurooncol 112: 267-275, 2013
  • Elshaikh MA, et al.: Gliomatosis cerebri: treatment results with radiotherapy alone. Cancer 95:2027-2031, 2002
  • Kaloshi G, et al.: Gray matter involvement predicts chemosensitivity and prognosis in gliomatosis cerebri. Neurology 73: 445-449, 2009
  • Landi A, et al.: Gliomatosis cerebri in young patients’ report of three cases and review of the literature. Childs Nerv Sys 27: 19-25, 2011
  • Mattox AK, et al.: Marked response of gliomatosis cerebri to temozolomide and whole brain radiotherapy. Clin Neurol Neurosurg 114: 299-306, 2012
  • Rajz GG, et al.: Presentation patterns and outcome of gliomatosis cerebri. Oncol Lett 3: 209-213, 2012
  • Taillibert S, et al.: Gliomatosis cerebri: a review of 296 cases from the ANOCEF database and the literature. J Neurooncol 76: 201-205, 2006
  • Vates GE, et al.: Gliomatosis cerebri: a review of 22 cases. Neurosurgery 53: 261-71, 2003
Copyright (C) 2006-2026 澤村 豊 All Rights Reserved.