びまん性正中グリオーマ diffuse midline glioma
- MRIで,頭の真ん中に境界がはっきりしないにじむような腫瘍がみえたときに疑います
- WHOの分類では,diffuse midline glioma, H3 K27M-mutantといいます
- histone H3-K27Mという遺伝子に変異があるグリオーマです
- 小児と若年成人の中枢神経の真ん中に発生するのでこの呼び名がつきました
- 視床下部,視床,橋,脊髄に発生します
- びまん性橋膠腫(橋グリオーマ,DIPG) がほとんどを占めますので,別のページにある橋グリオーマのところを読んでください
- 橋グリオーマと同じ臨床像ですから治療方法も同じです
- 橋に発生するものの年齢中央値は7歳くらい,視床や脊髄のものは20歳を超えます
- とても悪性度の高いグリオーマで,予後不良です
- 2025年の報告で,2年生存割合は10%以下です
- 様々な病理組織像を示してHE染色では診断ができません
2025年8月6日米国で びまん性正中グリオーマに対してdordaviprone (ONC201) の使用が認可されました
商品名 モデイソ Modeyso
1歳以上でH3K27変異があり,再発の患者さんに対してのみです,週に一回,1カプセルを飲みます
DIPGの患者さんは除外されています

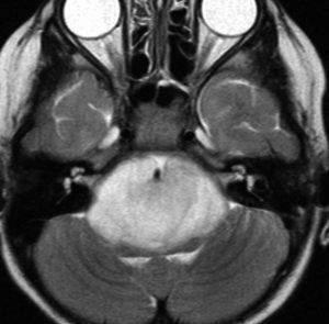
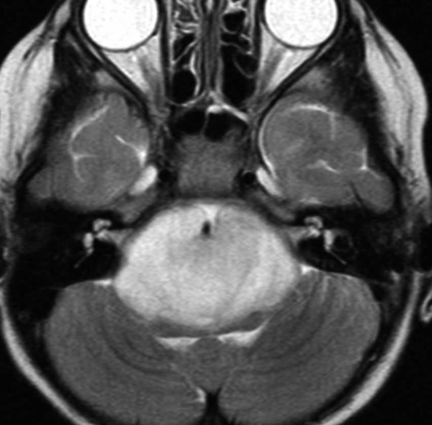
幼小児に発生するDIPG びまん性橋グリオーマです。ほとんどのびまん性正中グリオーマはDIPGです。脳幹部の橋の中央に発生し,橋が腫大します。

20代の若い患者さんの延髄下端のdiffuse midline gliomaです,組織診断ではanaplastic astrocytomaでした
病理像は? 雑多でなんでもあり
以下のような部分像を示します
gliomas with giant cells, epithelioid and rhabdoid cells, primitive neuroectodermal tumor (PNET)-like foci, neuropil-like islands, pilomyxoid features, ependymal-like areas, sarcomatous transformation, ganglionic differentiation, and pleomorphic xanthoastrocytoma (PXA)-like area
グリオーマならなんでも混じってよいということですから,遺伝子診断しないとわかりません
IDH1 mutationとEGFR amplificationはありませんが,まれにco-occurred with BRAF-V600E mutationがあります。p53 over expressionとATRX loss (except in pontine gliomas)とmonosomy 10が認められることは多いです。
治療はどうするのか
- 外科治療(開頭腫瘍摘出術)の有効性はほとんどありません
- 最も多いびまん性橋膠腫では生検術はしません
- 視床の腫瘍は生検手術(病理診断)がなされます
- 局所放射線治療が世界標準的な治療です
- 生検術で病理組織診断がでれば,遺伝子診断でdiffuse midline gliomaであっても,WHOグレードと組織像に応じた治療がなされます
- 分子標的治療薬としてOCN201が期待されて治験中です,有効性は必ずしも期待ほどではありません
- 2025年1月の段階では,放射線に次ぐ確たる治療方法はありません
国立がんセンターのONC201臨床試験
https://www.ncc.go.jp/jp/ncch/division/clinical_trial/patient/to_patients/03/T5272.html
- 2025年4月に日本でも開始されました
- 投与薬剤は,週1回あるいは2回のONC201です
- 対象は,H3K27M変異があると証明されたびまん性神経膠腫です
- 体重が10kg以上,放射線値長をすでに受けているというような条件があります
- ONC201が日本で使用できる唯一の窓口です
橋グリオーマ,びまん性橋膠腫 DIPGはここをクリック
文献
ONC201は,再発したびまん性正中グリオーマにわずかながら効果が認められる
ONC201 (Dordaviprone) in Recurrent H3 K27M-Mutant Diffuse Midline Glioma. J Clin Oncol 2024
50例の再発患者さんでONC201の効果が試されました。成人が46名,18歳以下は4名です。放射線治療からは90日以上が経過しており,PSは60以上で,びまん性橋膠腫 DIPG は除外されています。ORR(全奏功割合 RANO-HGG)は20%でした。TTR中央値は8.3ヶ月,DOR(有効期間)中央値は11.2 ヶ月でした。PSの改善(症状の改善)は評価しうる34人の内6人に認められました。
BRAF/FGFR1変異を伴うサブタイプは予後が少し良いかも
Auffret L: A new subtype of diffuse midline glioma, H3 K27 and BRAF/FGFR1 co-altered: a clinico-radiological and histomolecular characterisation. Acta Neuropathol 2023
H3-K27に変異があるびまん性正中グリオーマの中に,BRAFもしくはFGFR1の変異を伴うものがあります。60例で臨床像が解析されました。視床に発生頻度が高く(70% for BRAFV600E and 58% for FGFR1MUT) 石灰化が認められたとのことです。OSが比較的長く中央値で3年を越えるとのことです。
拡散強調画像での高信号とガドリニウム増強が一致しないものは予後が悪いかもしれない DWI-Gd mismach
Ikeda K: Diffusion-weighted imaging-gadolinium enhancement mismatch sign in diffuse midline glioma. Eur J Radiol 2022
DWI-Gd mismatch signがあるものの予後が悪いかもしれないということです。ガドリニウム増強される部位の拡散強調画像が強い高信号となるものの予後が最も短いという報告でした。
文献
Solomon DA, et al.: Diffuse Midline Gliomas with Histone H3-K27M Mutation: A Series of 47 Cases Assessing the Spectrum of Morphologic Variation and Associated Genetic Alterations. Brain Pathol 10, 2015