線維形成性乳児星細胞腫 DIA/神経節膠腫 DIG
線維形成性乳児星細胞腫/神経節膠腫について DIA/DIG
desmoplastic infantile astrocytoma DIA/ ganglioglioma DIG
- 乳幼児にできるとてもめずらしい良性腫瘍です
- ほとんどが2才以下に生じます
- 短期間に頭囲が異常に大きくなる,大泉門(頭のてっぺんの骨のないところ)が膨らんでくるなどで気付かれます
- それから,ぐったりして元気がなくなったり,嘔吐したり,眼の動きが悪くなったり(眼が下の方に向く)などします
- 麻痺やてんかん発作(けいれん)を生じることもあります
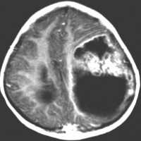
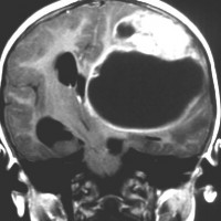
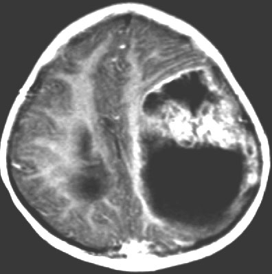
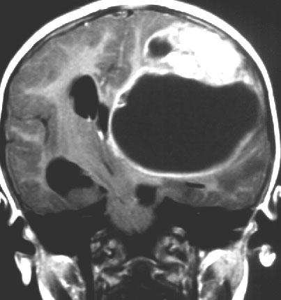
- 大脳の表面にできて,とても大きな腫瘍で,大きなのう胞(液体がたまる)を伴います
- 画像からはPNETと間違うことがありますので気をつけて
- 腫瘍の特徴は,乳児の大脳の表面にある巨大な腫瘍です
- とにかく,とても大きいので脳外科の先生もびっくりします
- 液体のたまっているのう胞が大部分です
- 不正形に造影剤で増強されて白く映る塊が見えますが,それが本体です
- 手術で全部取れれば治りますし,再発の頻度は低いです
- たとえ少し取り残しても,すぐには化学療法(制がん剤)や放射線治療などをしないでようすをみます
- 取り残した腫瘍が,ほっておいても自然に小さくなることもあります(自然退縮)
- 残った腫瘍が大きくなってくる場合には,また開頭手術で摘出します
- 放射線治療や化学療法はごく限られた例で必用です,慎重に検討しましょう
- 良性の腫瘍でWHO グレード1(もっとも経過の良い腫瘍)です
- でも,乳児の巨大な脳腫瘍なので手術は簡単ではないですし,手術合併症(死亡例や重い脳損傷)の可能性はあります
- 乳児では10%くらいで治療合併症や髄液播種で命を失うことがありますとの記載もあります
- 大脳の表面に傷が残りますので,症候性てんかん(けいれん発作)を起こすことがあります
- 症候性てんかんが生じたら,小児科の先生に抗てんかん薬を処方していただいて発作を止めます
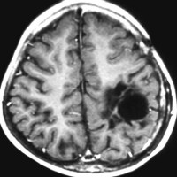
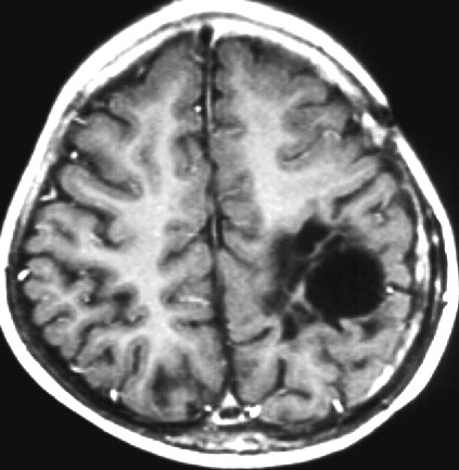
2歳の子どもの例
2歳の時に右の片麻痺と意識障害で発症しました。手術できれいにとれて,20年経ちますが再発はありませんし,運動麻痺もありません。この画像を見ると左の一次運動野が侵されていて,麻痺が治るということは信じられないのですが,2歳以下の小さな子どもの麻痺は治ることがあります。乳幼児のこの腫瘍は積極的な摘出を行った方がいいでしょう。
専門的知識
- 急激な頭囲拡大など,乳児特有の頭蓋内圧亢進症状で発症します
- 多くは生後6ヶ月以内,おそくとも36ヶ月で発症します
- 大脳の表在性腫瘍です
- 乳児の軟膜下神経上皮細胞(上衣下星細胞)から発生すしますが,大脳皮質と軟膜起源の腫瘍の性質を有するので,硬膜にしばしば癒着します
- 脳溝へと浸潤して皮質動脈に癒着しそれを巻き込むことがありますが,その部分は手術では無理に摘出しません
- 頭頂葉と前頭葉表面に広がり数センチを越える巨大なのう胞性腫瘍となります
- 大脳深部方向へ食い込むのう胞があり,固形腫瘍部分は結節様に表在することが多いです
- 石灰化は珍しく,一部がガドリニウム増強されます
病理所見
- mixed neuronal-glial tumorと呼ばれる一群の良性グリオーマに属します
- 膠細胞(glia)のみで腫瘍細胞が形成されるもの (DIA) と,神経細胞 (neuron, ganglion cell)を混じるもの (DIG) があります
- 臨床経過は同じであり予後は極めてよいので,両者を臨床的に区別する必用はありません
- 病理組織学的には,非常に顕著なdesmoplasia 線維形成(reticulin stain)が特有の所見です
- 細胞密度は中等度に高いのですがMIB-1の染色率は低く,緩徐な増大傾向を指示する所見です
- glia成分はGFAP陽性で突起の目立つ星細胞が主体となります
- 混在する神経細胞 (neuronal differentiation) の密度はさまざまで,gemistocyte様の星細胞がみられ,髄膜に近い部分では膠原線維の増生が生じます
- 小型円形細胞が密に存在する部分像 (poorly undefferenciated cell nest) をみることが多いのですが,これをanaplastic astrocytoma, gliosarcoma, PNETなどの混在と誤ってはなりません
- PNETと類似した部分病理像の診断は特に注意をようするものです
- この部分にはMIB-1染色率が高くて3%程度かもしれません
- 稀に高度の分裂像をみることがあります (Duffner 1994)
- glial cellはGFAP, vimentin陽性で,neuronal cellはsynaptophysin, neurofilament protein, class III beta-tublin, MAP 2などが陽性です
治療の方針
- desmoplasiaの程度が低いものではgangliogliomaと病理診断されるのですが,臨床像がDIGであれば予後はDIGとして治療を考えた方がよいです
- 巨大なのう胞を伴うので,頭蓋内圧亢進と意識障害が強い例では,まずのう胞穿刺で廃液ドレナージします
- 意識を改善して圧排された正常脳の変移を戻してから,2期的に腫瘍結節切除をします
- のう胞は多房性のこともあり,内容液は黄色透明なことが多いです
- 実質成分は脳表に存在して硬く,周囲の髄膜と癒着しますが,正常脳とは境界が明瞭に見えます
- 血管成分は腫瘍結節部に豊富ですが,ほとんど皮質動脈からの栄養枝であり,手術時に出血をコントロールすることは容易です
- 硬膜に強く癒着することがありますが,硬膜組織に浸潤しないので,必要であれば癒着部のみの硬膜切除をします
- 多くの場合は全摘出できる腫瘍です
- eroquent brainや皮質動脈損傷が生じそうな時には部分摘出にとどめて,術後は補助療法を加えないで経過を見ます
- 巨大な乳児脳腫瘍にも関わらず死亡例の報告はほとんどありません
- しかし,乳児の開頭術なので手術合併症としての周術期死亡がありえます
- 化学療法の有用性は不明です
- 放射線治療は再燃/再発を繰り返す例以外にはしません
- 文献上は悪化例や悪性腫瘍に転化した例が目立ちますが,それは多くはないので惑わされないように文献を読まなければなりません
文献
エトポシドで再発が抑えられた例
Al-Kharazi K, et al.: Malignant desmoplastic infantile astrocytoma? a case report and review of the literature. Clin Neuropathol 32: 100-106, 2013
生後6週間という新生児の症例報告です。DIAを全摘出したのですが,3ヶ月後に再燃しました。病理所見では,PNET-like areaとspindle cell component (MIB-1 25%)での核分裂像が目立っていたようです。VCR/CBDCA/TMZの化学療法を2コース行ったのですが腫瘍は増大しました。しかし,経口VP-16(エトポシド)の投与で腫瘍はコントロールされ9ヶ月間経過したそうです。「解説」その後の経過に関しては記載されていません。この例は生後6週間というDIAにしても早い発症年齢です。また病理所見でspindle cell componentのMIB-1染色率が25%にも達していて,通常のDIAとは異なるものなのかもしれません。
初回手術だけでは治らない例が意外に多い?
Hummel TR, et al.: Clinical heterogeneity of desmoplastic infantile ganglioglioma: a case series and literature review. J Pediatr Hematol Oncol 34: e232-236, 2012
過去の文献をまとめると,DIGの23%が生後24ヶ月以降に発症するとのことです。初回手術の後で,約40%で追加の治療が必用になっていたそうで,再手術,化学療法,放射線治療などがなされています。15%の乳児が,髄膜播種や腫瘍の増大で死亡していたとのことです。「解説」これは過去の文献症例報告をまとめたものです。文献報告というのは稀な例を記載することが多いので,当たり前のように初回手術で治ってしまった例の報告頻度は低いものと想定されます。ですから,DIG/DIAがこの様に悪い経過をたどるとは思えません。
悪性化して膠芽腫になった例
Loh JK,et al.: Malignant transformation of a desmoplastic infantile ganglioglioma. Pediatr Neurol 45: 135-137, 2011
Phi JH, et al.: Desmoplastic infantile astrocytoma: recurrence with malignant transformation into glioblastoma: a case report. Childs Nerv Syst 27:2177-2181, 2011
Lohの報告では,5才の時にDIGの摘出を受けて3年後に再発し,膠芽腫の診断でした。放射線化学療法を行って寛解し,11年間生存している例を記載しています。PhiのDIA報告例は,生後22ヶ月で手術摘出を受けて,8年後に再発した小児例が記載されています。再発時の病理組織は膠芽腫であったとのことです。
「解説」他にも膠芽腫やPNETに変化して,悪性化したという報告はあります。でもきわめてまれな事例であることから文献上で記載されているものです。悪性化率の真の値は不明です。
乳幼児以外の例も含めたdesmoplastic gangliogliomaという概念
Desmoplastic infantile and non-infantile ganglioglioma. Review of the literature. Neurosurg Rev 34: 151-158, 2010
desmoplastic gangliogliomaには,infantile typeとnon-infantile typeがあるということです。側頭葉と前頭葉の表面に好発し,表在性に腫瘍結節があり内面には大きなのう胞を伴うものです。3種類の細胞起源の腫瘍の部分が混在して,astrocytic, neuronal, and primitive neuroectodermal marker sitesと表現されます。文献上で報告された113例では,infantile typeが94例で,noninfantileが19例でした。完全摘出すれば後療法(補助療法)の必用がないと強調されています。
文献
- Al-Kharazi K, et al.: Malignant desmoplastic infantile astrocytoma? a case report and review of the literature. Clin Neuropathol 32: 100-106, 2013
- Duffner PK et al.: Desmoplastic infantile ganglioglioma: an approach to therapy. Neurosurg 34, 583-589, 1994
- Desmoplastic infantile and non-infantile ganglioglioma. Review of the literature. Neurosurg Rev 34: 151-158, 2010
- Hummel TR, et al.: Clinical heterogeneity of desmoplastic infantile ganglioglioma: a case series and literature review. J Pediatr Hematol Oncol 34: e232-236, 2012
- Loh JK,et al.: Malignant transformation of a desmoplastic infantile ganglioglioma. Pediatr Neurol 45: 135-137, 2011
- Phi JH, et al.: Desmoplastic infantile astrocytoma: recurrence with malignant transformation into glioblastoma: a case report. Childs Nerv Syst 27:2177-2181, 2011
- Prakash V, et al.: Malignant Transformation of a Desmoplastic Infantile Ganglioglioma in an Infant Carrier of a Nonsynonymous TP53 Mutation. Pediatr Neurol, 2014 [Epub]


