星芽腫(星芽細胞腫) astroblastoma MN1-altered
アストロブラストーマ WHO グレード不明
- アストロブラストーマと呼ばれるのが普通です
- とてもまれな腫瘍で,臨床データがあまりないので,治療法や予後がはっきりしていません
- 若い成人と子どもにみられます
- 女性に多い腫瘍です
- 大きな腫瘍になってから発見されます
- 頭痛や吐き気,呕吐が症状です
- 治療は,手術で全部とることです
- 大脳半球に発生するものです
- 腫瘍は大脳に食い込んで大きいのですが,くりんとした固まりで全部とることができます
- 分化型で病理学的に良性のものは,うれしいことに手術だけで治る腫瘍です
- 高度の病理学的悪性像を示すものの予後は不良です
- 手術で取り残した腫瘍に放射線治療をしても有効性は低いとされます
- 病理診断では,「大脳の上衣腫」と誤診されることが多いです
症状
- 閉塞性水頭症による頭蓋内圧亢進のための頭痛と嘔吐で発症することが多いです
- 腫瘍の発生部位に応じた大脳症状がみられます
発生部位
大脳に発生し,前頭葉,頭頂葉,側頭葉に多く,極めてまれに,小脳,視床下部,脳幹部,視神経などの発生例の報告もあります
診断
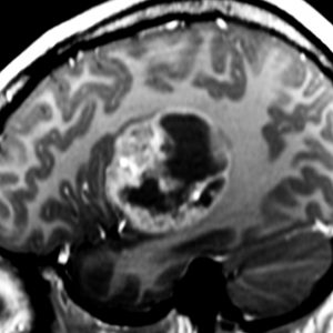
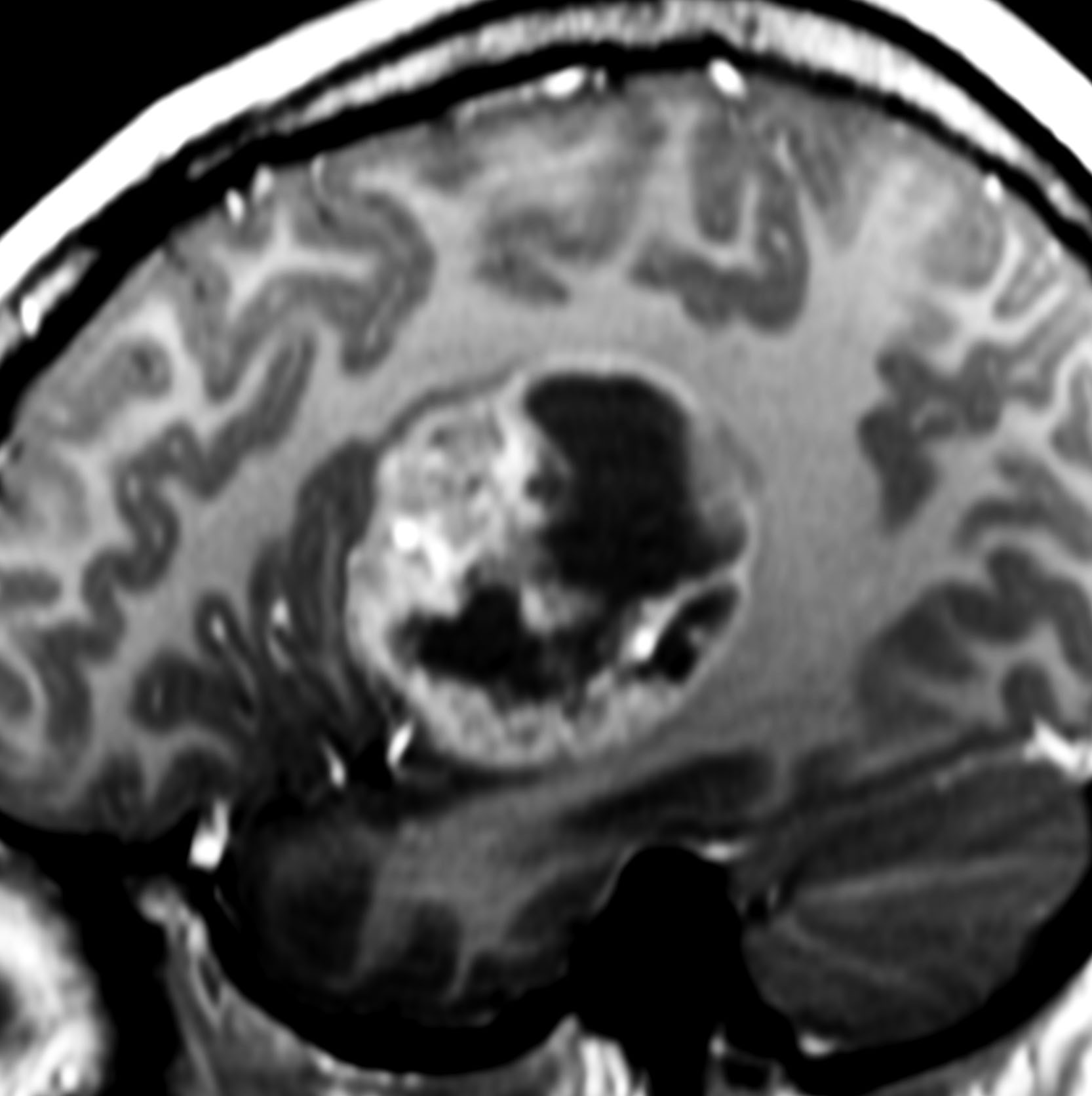
- 大脳表在性のものが多く,結節様でのう胞性と表現されます
- 腫瘍境界 demarcation が明瞭で浸潤像を示さないのが特徴です
- 半数以上に腫瘍内のう胞がみられ,multicystic bubbly appearanceと呼ばれます
- 腫瘍周辺浮腫の程度はさまざまです
- 腫瘍周囲がガドリニウムで強く増強さますが,heterogenous enhancementです
- まれに,腫瘍内出血によりのう胞内に二ボー fluid-fluid levelがみられます
- 脳室内に突出するように増大するものがあります
- 硬膜に接し浸潤するものでは dural tailsがみられることもあり,のう胞性髄膜腫と見間違うことがあります

境界明瞭な腫瘍で,腫瘍内にのう胞形成し,腫瘍実質は強くガドリニウム増強されます。これは深部ですが,脳表発生のものの方が多いです。他の小児悪性神経膠腫と画像では鑑別できません。退形成性上衣腫や旧来のPNETと呼称された悪性神経膠腫との画像類似性は強いです。
治療
- 手術摘出のみが治療法です
- 病理学的に悪性度が強いastroblastomaでも,手術全摘出できれば長期予後が良いとされます
- 放射線治療と化学療法の有効性は不明です
予後
- 2017年のWHO分類では,症例によって予後がさまざまで悪性度に関するグレードが決められないとされました
- しかし,予後が良いものが多いです
- Sughrueらの文献上の116例のreviewによれば,5年無増悪生存割合 5-year PFSは,全摘出 gross total resectionで83%,部分摘出 subtotal resectionで55%です
- 2021年WHO分類では,MN-1遺伝子変異があると定義されています
病理
- 中心血管の周囲のastroblastic pseudorosettes が特徴的です
- この構造を有しないものはastroblastomaと呼びません
- 上衣腫に近似する初見なので鑑別はとても慎重にする必要があります
- vimentin, S-100, GFAPが強陽性です
- perivascular-hialinizationも特徴といえます
- 星細胞腫や上衣腫をastroblastomaと診断すること少なくありません
- 病理診断でグレードはつけられないとWHOは定義しています
- でも,文献上は,高分化型 well-differentiated と退形成性がある悪性型 malignant (anaplastic) に分けられることがあります
- 悪性度の高いものでは,高い分裂能 MIBの高値,高い細胞密度,核異型性,血管内皮増生,索状壊死などがみられます
文献
- Bell JW, et al.: Neuroradiologic characteristics of astroblastoma. Neuroradiology. 49:203-209, 2007
- Sughrue ME, et al.: Clinical features and post-surgical outcome of patients with astroblastoma. J Clin Neurosci 18: 750-754, 2011