顔面けいれんと三叉神経痛の解説です
顔がピクピクしたり痛いとき
- 顔面けいれんは顔がかってにピクピク動く病気で,三叉神経痛は顔面が激しく痛む病気です
- 顔の筋肉を動かす運動神経は顔面神経です
- 顔の痛みを感じる感覚神経は三叉(さんさ)神経といいます
- ですから顔が痛いときに”顔面神経痛”というのは間違っていて,ほんとうは三叉神経痛というのです。
- この2つの病気は,同じ様な原因で起こることが分かってきました
- そして脳神経外科の手術によって治る病気です
- 顔面神経と三叉神経は脳の脳幹部というところから出て,頭蓋骨の中を通ってから顔に広がります
- これらの神経が脳からでたすぐ後で圧迫されると,顔面けいれんと三叉神経痛が起こるのです
- 神経を圧迫するのは脳の血管と脳腫瘍です
なかでも一番多いのは,脳動脈が神経の根元を圧迫して起こるものです。図を見てください。脳幹部からでた顔面神経を,脳動脈が圧迫して”へこみ”を作っています。動脈がドンドンと神経をたたくので,顔がピクピクかってに動いてしまうのです。顔の痛みも同じように,動脈がドンドンと神経をたたくので,ビビッと痛みます。この脳動脈を神経から手術ではなしてあげると,顔のピクピクした動きがぴたっと止まります。
検査
顔面けいれんと三叉神経痛は,まれにですが良性脳腫瘍の圧迫で起こるので,MRIという検査で腫瘍がないかどうかを確かめておく必要があります。MRIは磁石を使って脳の断層写真をとる検査ですが,30分くらい横になっているだけですぐに終わります。
顔が勝手に動くとき
顔が勝手にピクピク動いてしまうという症状は,中年から高齢者に多く見られる症状です。この症状を起こす病気は2つの病名が考えられます。ひとつは顔面けいれんで,もう一つは眼瞼(がんけん)けいれんです。似たような病名ですが,眼瞼けいれんは両側の瞼(まぶた)にだけ動きがあるもので,顔面けいれんは顔の片側全体が動くのが特徴です。眼瞼けいれんのほうは神経内科でみてもらえます。口と頬が動く時は顔面けいれんです。
さらに一つ間違えてはいけないものが,顔面麻痺が回復した後に来る顔面の病的共同運動です。口を動かすと目が閉じる,まばたきすると口が引っ張られるというような症状で,目と口が勝手に動いてしまいます。これを間違って開頭手術などしても症状は全く良くならないし,手術が無駄になってしまいます。顔面麻痺になったことがある患者さんは,主治医の先生にそれを必ずお話ししてください。
顔面けいれんは,最初は目尻がピクピクすることから始まって,病気が進むと口元までピクピクします。症状が軽くて日常生活にぜんぜん困らないときには,ほっておいてもかまいません。命にべつじょうがあるような病気ではないのです。けれども人前でかってに顔が動いてしまうのはつらいものなので,早期に治療を受ける人も多いです。がまんできないときは治療を受けましょう。
この病気は顔面神経が脳の血管で圧迫されて起こるので,脳神経外科で手術することによって治ります。あまり病気が進行すると顔面のマヒなどがでて手術しても治りにくくなることがあるので,気になってしょうがないときは脳神経外科の外来で相談してください。
ボトックス治療
顔面けいれんと眼瞼けいれんに対してボツリヌス毒素の皮下注射で治療をすることができます。注射をして動きが止まってもまた再発しますから3から6ヶ月に1回の注射をしなければなりませんが,手術よりは危険が少なく,特に高齢者の人にはお勧めです。数ヶ月に1回ですが,ずっと何年も続けていかなければならないのが欠点です。私のクリニックでも使用しています。
顔がとってもいたいとき
顔がいたい時はとてもたくさんの病気が考えられます。なかでも最も痛いのが三叉神経痛です。ひどいときには,冷たい風にあたったり歯をみがいたりすると,突然ナイフで顔を裂かれたり,キリで顔をえぐられたりするような激しい痛みが起こってしまいます。三叉神経痛が,あごのあたりに生じたときには,歯の痛みとまちがえられて歯を抜いてしまう人も少なくありません。
最も多いのがヘルペス神経炎です。帯状疱疹ヘルペスというウィルスが三叉神経に感染すると三叉神経痛ととてもよく似た顔面の激痛を生じます。これはリリカという薬で治療することができます。
ほかにも顔の痛みを起こす病気はとても多いので,脳神経外科か神経内科の外来で正確に診断してもらうことが必要です。歯と顎骨の病気は歯科で,鼻の奥の腫瘍や炎症は耳鼻科で,精神的な原因でくるもの(非定型的顔面痛)は神経内科で治療します。
ほんとの三叉神経痛はカルバマゼピン(テグレトール)という薬でおさえることができます
- まずはテグレトールを飲む薬物治療からはじめましょう
- テグレトールで痛みが治まると手術治療でも治る神経痛です
- テグレトールが効けば,手術効果も期待できます
- 診断的治療と言います
- テグレトールをかなりたくさん飲んでも収まらないときや副作用で飲めない時に手術治療を考えます
放射線治療はお勧めできません
最近ではガンマナイフ治療が広まっていますが,これは放射線で三叉神経を焼いてしまうので,5 – 10年後くらいに三叉神経障害が起こって顔のひどい痛みやしびれが出る可能性があり,さらにこれを治療する方法はないと考えられます。ですから,ガンマナイフやサイバーナイフなどの放射線治療よりは手術治療の方がおすすめです。ガンマナイフで治療した後に生じる痛みを異感覚 dysesthesia (deafferentation pain) といい,三叉神経痛とは異なるもので,手術では治りませんから,疼痛外来で治療を受けることになります。薬があまり効かないのでとてもやっかいです。
神経血管減圧術(脳外科での手術治療)
三叉神経が脳の血管や脳腫瘍で圧迫されて起こる脳神経の病気ですから脳神経外科の手術で治すことができます。
手術の効果と合併症
手術は耳の後ろの後頭部の皮膚を切開(左の図)して,後頭骨に小さな開頭(右の図)をしますから,開頭手術です。そこから,脳の膜を切開して,小脳をよけて脳幹部の側面に到達します。そこで顔面神経や三叉神経を圧迫している血管などをよけて圧迫を解除すると治ります。手術時間は経験の多い手慣れている術者で2時間くらい,一般的には4時間くらいでしょうか。入院期間は2週間くらいです。料金の自己負担額は,高額医療になりますから10万円以内くらいを目安にして下さい。
手術するとだいたい95%くらいの人がほぼ完全に治ります。20人にひとりくらい手術しても止まらない人がいるかもしれません。最近の脳神経外科の技術はとても進歩しているので,手術で後遺症がでることはないと考えてもよいでしょう。
でも開頭手術になるので脳梗塞や出血など,最悪の場合は死亡に至るような手術合併症が実際にあります。顔面けいれんで多いのは聴力(聞こえ)の低下や嚥下(飲み込み)の障害,三叉神経痛で多いのは三叉神経障害や小脳出血などですが,他にも様々な脳神経の合併症があります。このことについては,手術をしてくださる先生から十分に説明を聞いて治療を受けるかどうか自分で決めることがたいせつです。
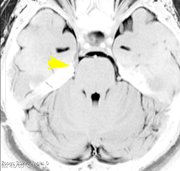
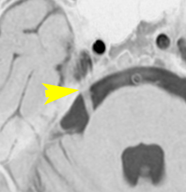
脳動脈の圧迫が原因となる場合(普通のもの)
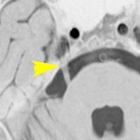
顔面けいれんでは前下小脳動脈,三叉神経痛では上小脳動脈という血管が,神経の根っこ(REZ レズ root entry zone, root exit zone)を圧迫するから症状が出ます。神経を圧迫している動脈をよけてあげれば,症状は消失します。
左側の写真は,顔面神経の根っこを前下小脳動脈が圧迫しているところです。矢印が示すのは,脳から顔面神経が出たところ(REZ レズ)です。ここが圧迫されないと顔面けいれんは起こりません。右側の写真は,動脈をよけて顔面神経のREZを解放したところです。長い間の圧迫でちょっとヘコんでいます。これが最も多いタイプです。
小脳動脈からはたくさんの細い枝(0.1-0.3mmくらいの穿通枝)が出ていますから,動脈をよけて動かす時に,この小さな動脈を切ったりねじったりすると,その動脈が詰まってしまって,脳梗塞や聴力低下や顔面麻痺や嚥下障害(飲み込みづらい)や嗄声(声がかすれる)などの後遺症を残してしまいます。顕微鏡を使ったとても細かい手術操作です。
脳腫瘍が原因となる場合(珍しいもの)
三叉神経痛はしばしば,顔面けいれんはとても稀に,良性脳腫瘍が原因で発症することがあります。三叉神経痛を生じる代表的な腫瘍は,前庭神経鞘腫(聴神経腫瘍),髄膜腫,類表皮のう胞です。


これは1989年に50歳で発症した左三叉神経痛の女性のMRIです。赤いのが類表皮のう胞という良性腫瘍で,黄色く塗ったのが左三叉神経です。腫瘍による圧迫で三叉神経がゆがんでいるのがよく解ります。2010年まで20年間,ほんの少しのカルバマゼピン(テグレトール)の服用で我慢できました。腫瘍は20年の間にゆっくり大きくなって,一時期は左の顔面けいれんもありました。2010年になって眼球運動障害による複視(ものが2重に見える)という症状が出て,年齢も70歳を越えたので開頭手術で腫瘍を摘出しました。術後は目の動きも正常になって三叉神経痛も消失しました。でも,類表皮のう胞の手術はリスクもあって簡単なものではありませんから,手術をすぐに勧める場合と,この患者さんの様にながーく経過を見る場合があります。判断は難しいものです。
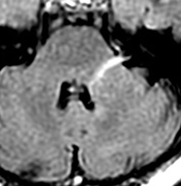
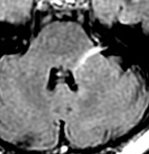
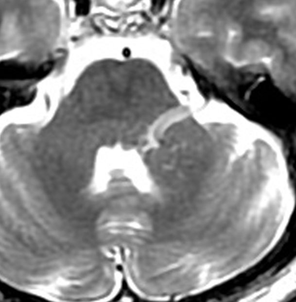
生まれつき頭が小さいことによって生じる場合(珍しいもの)
左側と中央は正常な人の三叉神経です。
右側のMRIは後頭骨がとても小さい女性です。三叉神経の周りの隙間(髄液腔)がほとんどなくて三叉神経がよく見えません。14歳で右三叉神経痛を発症しました。治すための神経血管減圧術はとても難しいと言えます。場合によっては,隙間を作るために錐体骨尖部の骨をドリルで削らなければならい事もあります。
日本人には,頭蓋骨が小さいため脳と神経の隙間が狭くて,ギューギューづめの状態で血管が三叉神経や顔面神経にぶつかりやすい人が多いです。特に,顔面けいれんは頭蓋骨の小さな日本人女性に多いと言えます。
静脈の奇形によるもの
38歳の時に典型的な左三叉神経痛で発症しました。左はMRIT2,右はフレア画像です。小脳と脳幹部の間に巨大な血管がみえます。これは生まれつきの静脈の奇形 (venous anomaly)です。この血管は脳幹部と小脳のかなりの部分の血流を還流しています。出血などはみられませんが,脳幹左側の三叉神経核と神経路に血流障害があるものと推定されます。このタイプは手術で治すことができません。カルバマゼピンは有効でしたがアレルギーのために使えなくなり,ガバペンチン 1800mg/日で痛みはなんとか我慢できています。24年の間に試した他の薬は何も効きませんでした。
三叉神経痛の知識 Tic Douloureux チック・ドロロ
フランス語で三叉神経痛のことを Tic Douloureuxといいます。douloureuxというのは,dolorosaというラテン語に語源をもちます。苦しみ,痛み,悲しみという意味です。via dolorosaというのは,via(道)ですから,苦難の道という意味です。キリストがゴルゴダの丘の処刑地までを歩いた道と言われています。
フランス人の神経学者は,三叉神経痛がそれほどひどい痛み(キリストが十字架を背負った時の痛み)であるということを表現したくて Tic Douloureuxと名付けました。Tic Douloureuxは人間が感じられる最も過酷な痛みであるとも言われています。
家族の方は,三叉神経痛の患者さんがそれほどひどい痛みを耐えているということを理解して下さい。痛みは人にはみえないけど,三叉神経痛は周囲の理解が必要な痛みです。
誤診に気をつけましょう
顔面けいれんも三叉神経痛もとても稀な病気の症状であることがあります。








