髄膜腫症 meningiomatosis
- 頭蓋内の髄膜が広範囲に腫瘍化する病気です
- 神経線維腫症2型 NF-2 という病気に併発します
- でもNF-2がない人でも生じることがあります,これはとてもめずらしいです
- 不思議なことに脊髄の髄膜は腫瘍化しません
- 髄膜全部が腫瘍化してしまうタイプと,数個以上の髄膜腫がボコボコ発生するタイプがあります
- 頭蓋内の左半分だけ,あるいは右半分だけという片側髄膜腫症 uilateral meningiomatosis があります
- 無数の髄膜腫ができるのですが,大きくなるものもあれば,大きくならないものもあります
治療
- 全髄膜の腫瘍化をきたすものでは,個々の腫瘍を摘出してもあまり意味がありません
- 手術で硬膜ごと腫瘍を可能なかぎり摘出します
- 初回手術では必要なくても,2回目の手術に備えた頭皮切開を計画します
- 頭皮切開は全頭蓋が外せるように,大きな冠状切開二つと矢状部での縦切開を加えたH型にします
- 一回の手術で可能な限り広く硬膜を切除します
- たとえそこが腫瘍化していなくても広く切除します
- 腫瘍ではなく硬膜を限りなく取り去ってしまうという考え方に立つ必要があります
画像
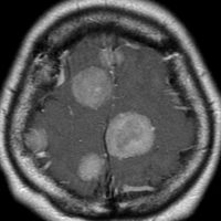
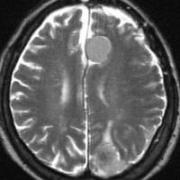
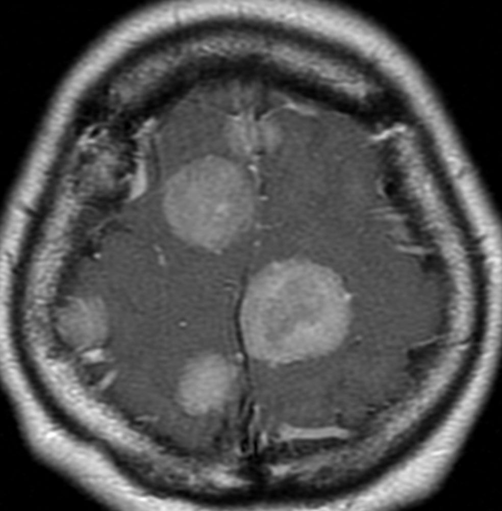
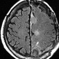
多発例,NF-2ではないもの
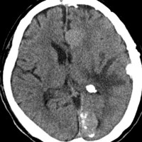
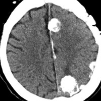
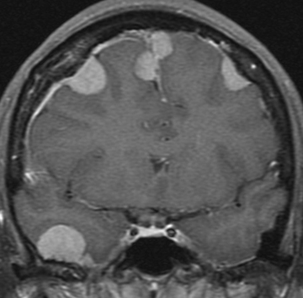
30代で下肢の局所てんかん発作で発見されました。テント上硬膜の腫瘍化です。数えれば総数で30個以上はあったでしょう。このタイプは手術で硬膜を広範囲切除(ほとんど全頭蓋冠)することで治すことができます。
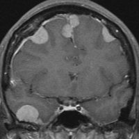
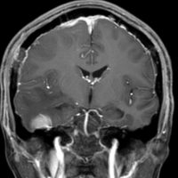
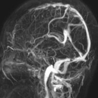
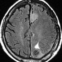
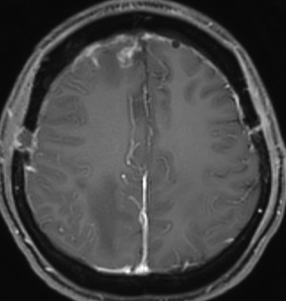
H字状皮膚切開で広範囲両側前頭登頂開頭をして,穹窿部と傍矢状洞部髄膜腫をほとんど摘出してしまいました。上矢状洞は開存していたので残してあります。
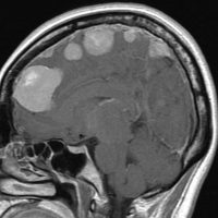
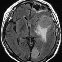
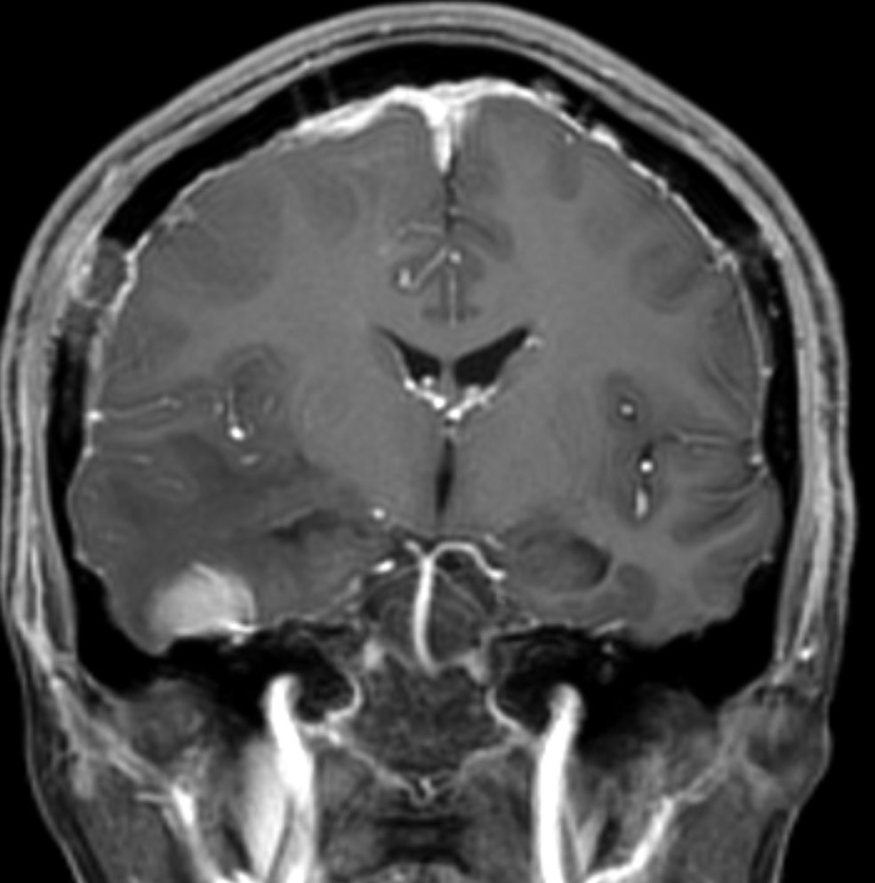
全髄膜の腫瘍化,NF-2
テント下を含めて頭蓋内の全ての髄膜が同時に腫瘍化してきます。この患者さんはNF-2なのですが,NF-2がない患者さんにもmeningiomatosisはあります。脳圧亢進による視神経乳頭萎縮で両側の視力が無くなるというような症状が出ます。これは手術適応がないタイプです。
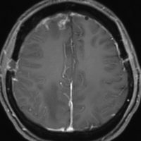
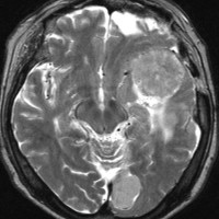
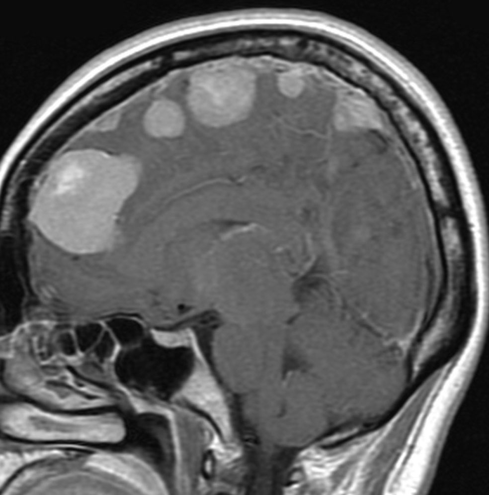
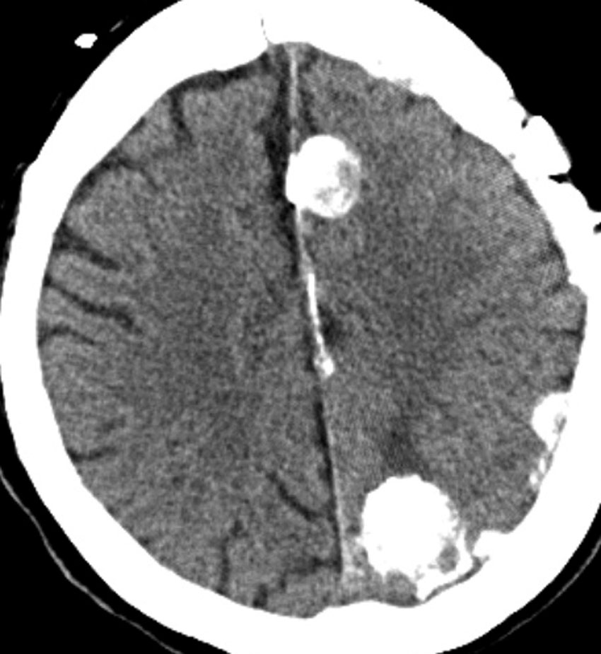
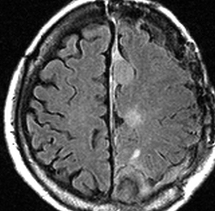
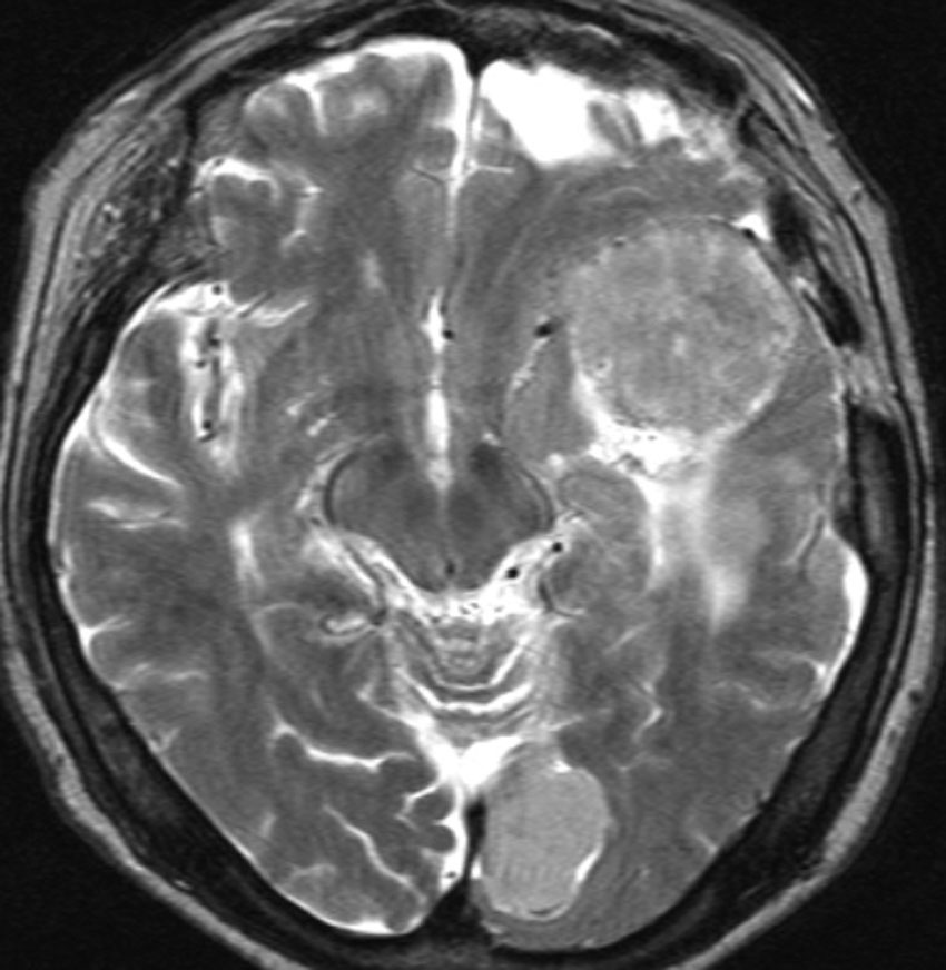
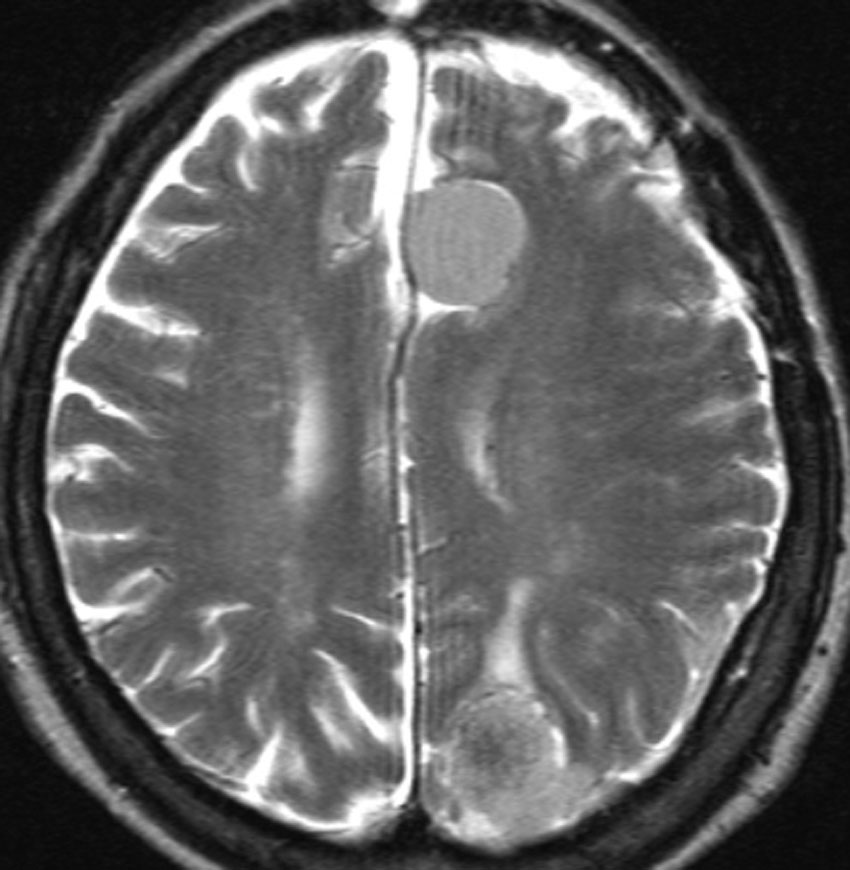
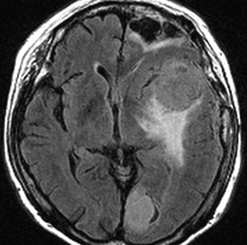
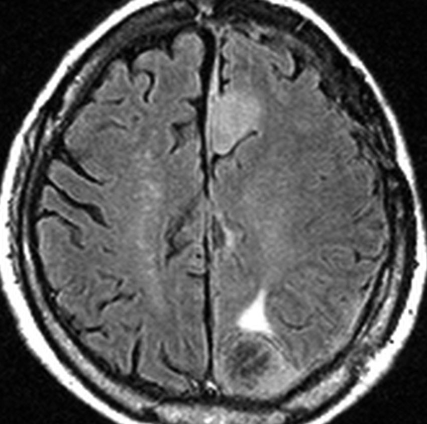
片側髄膜腫症 unilateral meningiomatosis
50歳ころから15年間に3回の開頭手術を受けている患者さんです。parasagittal, falx, convexityなど6個の髄膜腫がすでに摘出されています。左側だけ,テント上だけに髄膜腫が20個くらい多発していました。これらはグレード1で,anaplastic meningiomaの転移ではありません。
やがて蝶形骨縁の髄膜腫の増大速度が早まりatypical meningiomaとなりました。MIB-1 index が10%の高値でした。病理学的にも,psamomatous meningiomaなど様々な種類の髄膜腫が多発しています。
初発時から多発性髄膜腫であり,最初の手術で左側テント上の硬膜を広範囲に摘出しておくべきでした。このような病態は若年者でもみられることがあり,胎生期の硬膜の原基になる細胞にmutationが生じたとしか考えづらいものです。















