トルコ鞍部黄色肉芽腫 xanthogranuloma of the sellar region
- 頭蓋咽頭腫とは異なったclinical entitiyとされます
- Paulusらが1999年に提唱したもので,xanthogranuloma様の組織像を有するadamantinomatous craniopharyngiomaは,通常の頭蓋咽頭腫と異なる予後を示すとしました
- なぜこの疾患を知ることが大切かというと,多くの場合に頭蓋咽頭腫として治療されてしまうからです
- 思春期から若年成人に多く,トルコ鞍内に限局性の腫瘍で,頭蓋咽頭腫としては腫瘍サイズが小さく,その割には下垂体機能低下が著しく,病歴が長く,石灰化と視力障害の程度が低く,摘出がしやすく,予後が良いと特徴づけられています
- 要点は,トルコ鞍内に限局性に増大するが速度は遅く,術後再発が少ないという良性の経過をたどるということです
- 頭蓋咽頭腫とは区別されなければなりません
- ラトケのう胞と区別できないという意見もありますが,画像上ではsolid massが多いので違います
- 手術中に,嚢胞内溶液と伴に,キラキラ光る黄色いコレステリンの大きな結晶が流れ出てくるのが際立った特徴です
- 病理像では,cholestelin cleftが優勢にみられ,肉芽腫組織に炎症細胞浸潤があり線維化と巨細胞が認められます
- adamantinomatous epitheliumの上皮成分が少ないために,ラトケのう胞と病理診断されることもあります
手術摘出に際して注意するべきこと
- 肉芽腫なので下垂体正常組織との境界が頭蓋咽頭腫よりも不鮮明であるということです
- それに再発率が低くて予後が良いことです
- ですから,無理して全摘出しないことが大切です
- この点が,頭蓋咽頭腫と大きく異なるところです
- 黄色肉芽腫の存在を知っていることで,無駄な侵襲を下垂体組織に与えないで済みます
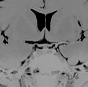
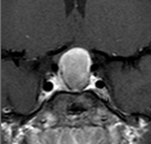
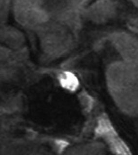
尿崩症で発症した小さな腫瘍
尿崩症で発症した9歳男児にみられたxanthogranuloma of the sellar resion。左はT1強調画像で高信号,右はT2強調画像で低信号であり,肉芽腫の特徴がみられます。のう胞部分はT2強調画像で,高信号になります(右図)。このような小さな頭蓋咽頭腫やラトケのう胞が尿崩症を呈することはまれですが,黄色肉芽腫の場合は小さくても症候性となることが多いです。神経下垂体組織が炎症性に破壊されるからと考えられます。
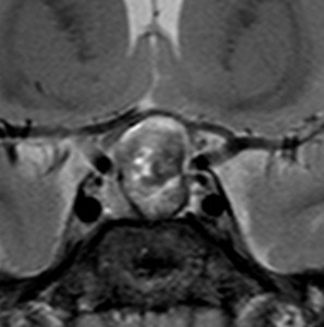
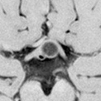
増大しても下垂体症状を出さなかった例
9歳の女の子に偶然発見された腫瘍です。何の症状もありませんでした。頭蓋咽頭腫と診断されて経過観察となりました。1年半観察しましたが腫瘍は増大して,視交差の変形が増して両耳側1/4半盲となり症候性となりました。下垂体機能は正常でした。
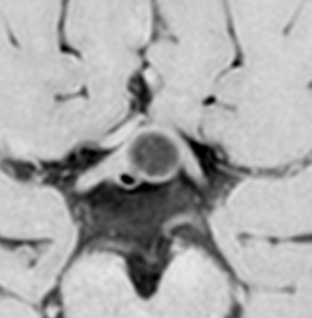
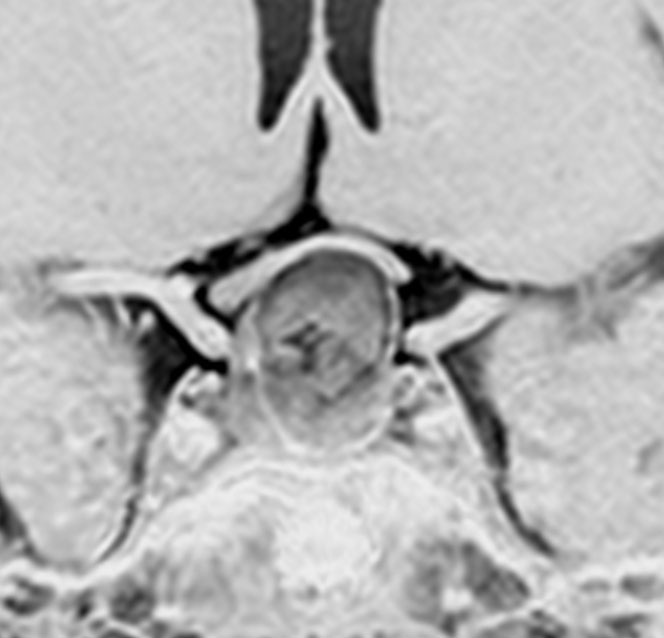
上のT2強調画像では,全体的に低信号で,高信号の部分が混在します。上右のCISS画像では,下垂体組織が右に変移していることが推定されます。
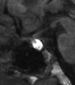
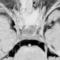
左がT1強調画像で高信号,右がT1ガドリニウム増強像ですが腫瘍は増強されません。正常か錐体が腫瘍の右側にくっついていて,ガドリニウム増強されています。典型的なトルコ鞍部黄色肉芽腫です。画像診断で,下垂体腺腫の腫瘍内出血とよく間違われるのですが,高信号になるのはコレステリン結晶を豊富に含むからです。ガドリニウム増強される部分がほとんどないという所見が頭蓋咽頭腫とは異なるところでしょう。
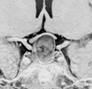
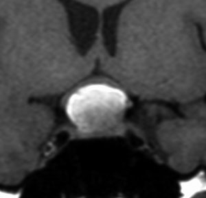
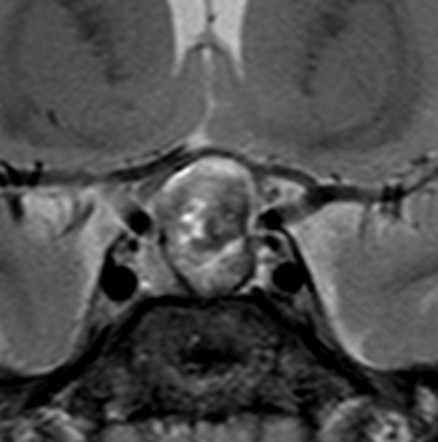
左と中央の画像でinfundibular recessの管腔が見え,左の視交差から視索の変形が強いことが解ります。右の画像では下垂体組織がトルコ鞍の右側に偏在してあります。画像では正常化錐体と明瞭な境界があるように見えるのですが,実際の手術所見では正常下垂体との境界は不鮮明でした。腫瘍のう胞からは黒褐色の内容液 machinery oil とコレステリン結晶が流出しました。厚いのう胞壁は硬膜と下垂体に強く付着して剥離するのが困難で切断して摘出しました。ラトケのう胞とはのう胞壁の厚さが異なると言えます。
術後5ヶ月のMRIです,無理して全摘出しませんでしたので残存腫瘍のように見えます。病理診断では,出血,慢性炎症性細胞浸潤を伴い,コレステリン結晶やヘモジデリンの沈着,泡沫組織球,多核巨細胞浸潤を伴った繊維性組織片に,少量の上皮組織塊があり,少量の正常下垂体組織も付着していると報告されました。施設によってはこの所見をラトケのう胞と病理診断するかもしれません。
術後には軽度の尿崩症がでましたが,1年半でデスモプレッシンを中断できて,下垂体機能は正常化しました。
1年半を要して残存腫瘍は徐々に縮小しました。この画像は術後3年半のもので,正常下垂体がトルコ鞍右側に偏って見えます。
多少取り残しても再発しない
29歳の女性が高プロラクチン血症による月経不順で発症しました。視野検査では両耳側半盲が認められました。
手術所見では,多量のコレステリン結晶が流出しました。腫瘍実質は硬く正常下垂体との剥離はできませんでした。黄色肉芽種の可能性もあるので,あ全摘出にとどめて手術を終了しました。T2強調画像で黒い低信号の縁取りがあり内部に不均一なのう胞内容液が見えるのが特徴とも言えます。

3年後の画像です。腫瘍の再燃増大はありませあん。視野は正常化して,下垂体機能も正常化しホルモン補充はありません。
同義と考えられる疾患名
- xanthomatous hypophysitis
- xanthogranulomatous hypophysitis
- xanthogranuloma of the sellar region
- ラトケのう胞に炎症性変化が慢性的に生じた結果としての腫瘍だという意見もあります
- 単に下垂体の慢性炎症であり腫瘍ではないと意見もあります。
文献
- Amano K, et al.: Clinicopathological features of sellar region xanthogranuloma: correlation with Rathke’s cleft cyst. Brain Tumor Pathol, 2013 (Epub)
- Burt MG, et al.: Xanthomatous pituitary lesions: a report of two cases and review of the literature. Pituitary 6:161-168, 2003
- Jung CS, et al.: Xanthogranuloma of the sellar region. Acta Neurochir (Wien). 148:473-437, 2006
- Kamoshima Y, Sawamura Y, et al. : Xanthogranuloma of the sellar region of children: series of five cases and literature review. Neurol Med Chir (Tokyo) 51: 689-93, 2011
- Paulus W, et al.: Xanthogranuloma of the sellar region: a clinicopathological entity different from adamantinomatous craniopharyngioma. Acta Neuropathl (Berl) 97: 377-382, 1999














