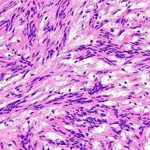
三叉神経鞘腫 trigeminal schwannoma
- 三叉神経鞘腫の症状は顔のしびれです
- とても大きくなってから発見されることが多いです
- 小さなものでは放射線治療もできるのですが,顔面の痛みや強いしびれなどの三叉神経障害が副作用(有害事象)として生じることがあります
- ですから,放射線治療よりは手術をお勧めすることが多いです
- でも手術はとても難しいので,三叉神経鞘腫の手術に手慣れている脳外科の先生にお願いする必要があります
- 手術でとても気をつけなければならないことは三叉神経を大きく損傷しないことです
- 手術でかなり三叉神経を傷つけてしまうと,耐えがたい顔面の痛みとしびれが残ってしまうことがあります
- 手術では必要以上に大きな開頭手術をしないことがポイントです
- 硬膜内ではなく蝶形骨洞方向に伸びるものでは,経鼻視鏡手術ができます
最も大切なこと,判断の目安
- どのような治療を選んでも,とにかく,三叉神経を損傷して,顔面の感覚異常を悪化させることを可能な限り防ぐことがなによりも大切です
- 顔面の感覚異常は,耐えがたいしびれや痛みになることがあり,仕事や日常生活ができなくなることがあります
- 治療後に顔に軽い感覚低下やしびれが残ることがほとんどですし,また手術で多少悪化しても,それは受け入れて下さい,軽度の顔面感覚障害なら日常生活は普通にできるものです
- 激痛にならなくて良かった,と前向きに捉えた方がいいです
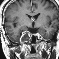
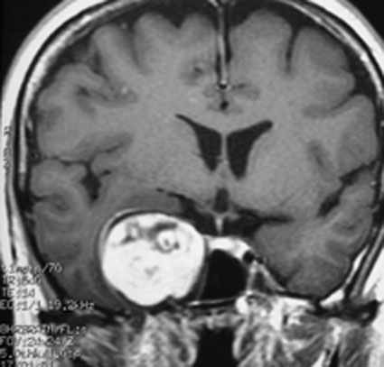
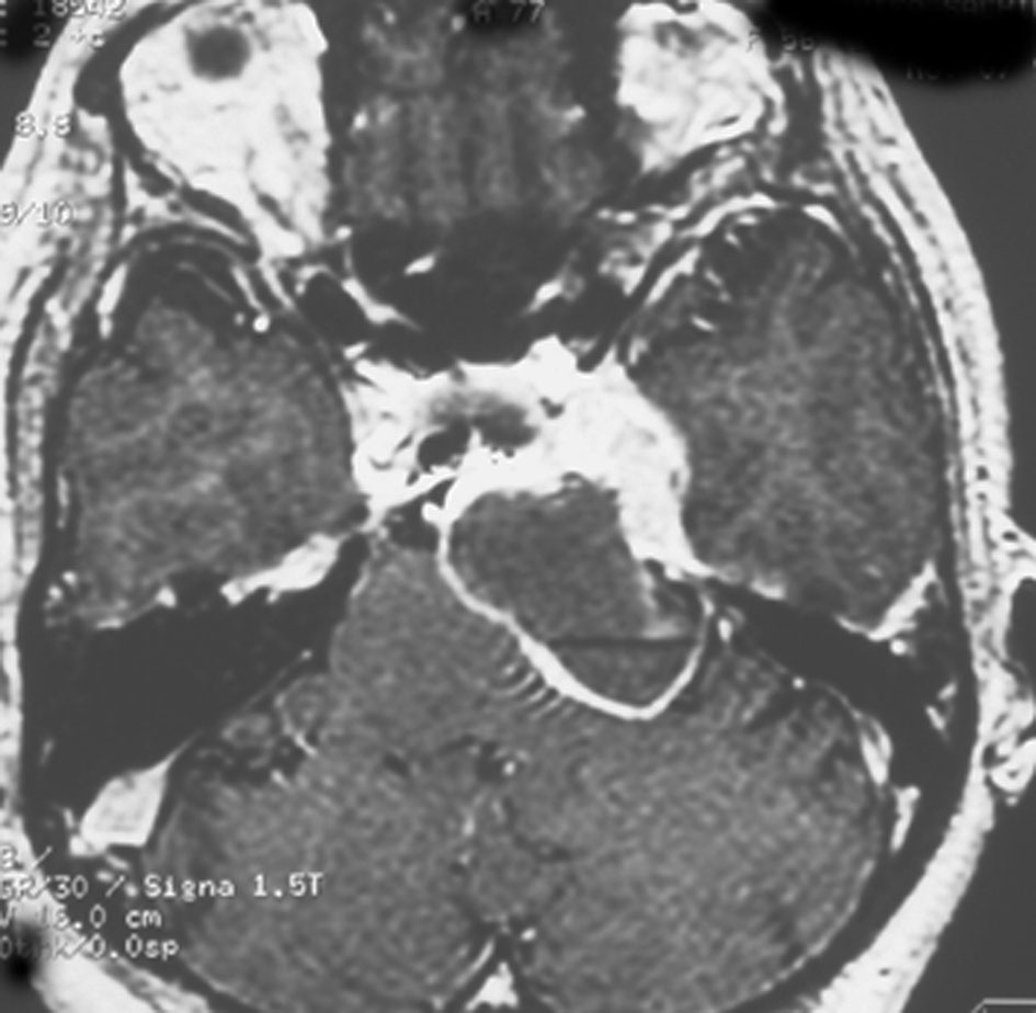
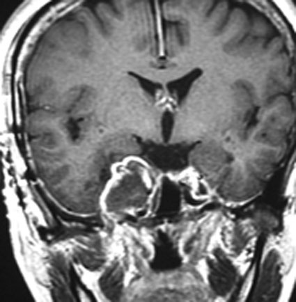
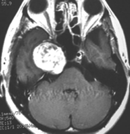
ちょっと大きめの三叉神経鞘腫
メッケル腔(ガッセル神経節)という場所から発生した三叉神経鞘腫のMRIです。サイズは放射線治療するには大きすぎます。ですから手術摘出します。手術には側頭開頭硬膜外法と経鼻内視鏡手術があります。内視鏡手術は三叉神経が外側に来ているので優位性があります。開頭手術では,側頭部の前の方を小さく開頭して脳の硬膜の外から腫瘍を見るだけで取れます。もちろん脳の損傷は起こさないようにしなければなりません。手術中には三叉神経が薄く広がって腫瘍のまわりにくっついていますからそれを大事に守りながら腫瘍を取っていきます。
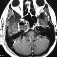
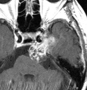
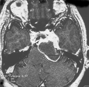
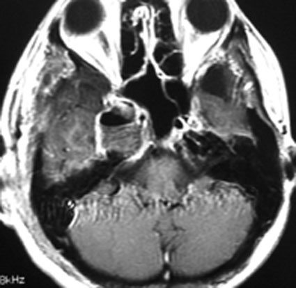
手術のすぐ後のMRIです。幸いなことにこの患者さんでは,腫瘍を全部取ったのですが三叉神経の大部分を残すことができて,顔のしびれはとても軽くてすみました。全摘出すると経鼻手術でも開頭手術でも多少の顔面の痺れ(感覚低下)はでますが,日常生活に支障のないレベルに留めなければなりません。
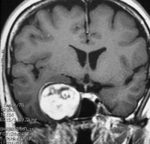
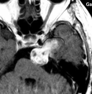
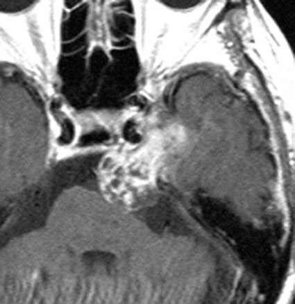
開頭手術で摘出した方がよい三叉神経鞘腫
この腫瘍もちょっと大きいので放射線治療だけで治すことは難しいでしょう。この三叉神経鞘腫は少し大きいかなと思うくらいの大きさです。 脳幹部が圧迫されていますから手術摘出した方がいい例です。これも側頭部の前の方の骨を開頭するだけで全部取れます。
何も治療をしなくてもいい高齢者の三叉神経鞘腫,自然に小さくなります
これもメッケル腔(ガッセル神経節)という場所から発生した三叉神経鞘腫です。70代後半の女性に見つかったものです。左が2001年,右が2006年です。顔面の軽いしびれだけが症状で13年くらい経過観察していますが,大きくならないし,腫瘍の内部が壊死になってきています。何の治療もする必要のないものです。高齢者の三叉神経鞘腫は自然に小さくなること(自然退縮)があります。
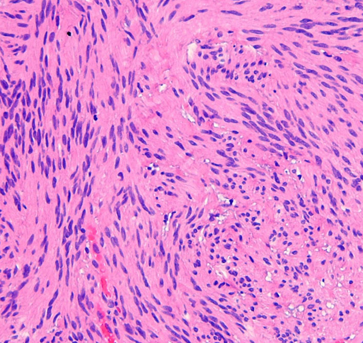
三叉神経鞘腫の手術と合併症(後遺症)
- 三叉神経鞘腫は小さいものは治療しないでほっておく,放射線治療をする,手術で摘出するの3つの選択肢があります
- 問題は大きな腫瘍で手術を必要とするもので,以下に書いてある後遺症は腫瘍がある片側の症状で,頻度の高い順になるかもしれません。
- もっともつらい後遺症は前の方に書いたように,顔面の異常感覚(とても辛いしびれや痛み)です。これは手術で三叉神経を少しでも傷めないで摘出する,ということで結果(程度)が違ってきます。生じると,術後に多少は回復するのですが,残った場合には治療の手段がありません。
- 次には,滑車神経麻痺という細い神経の損傷です。ひどくはないのですが,ものが2重にみえます。
- 大錐体神経を損傷すると目から涙が出なくなって目が渇きます。これは目薬でなんとかがまんできます。
- 蝸牛神経の損傷や中耳の損傷では聴力低下がおきます。
- 前庭神経の損傷ではめまいがでますが,一時的で治ることが多いです。
- 外転神経の損傷では,片目が外に動かなくなってしまいつらい複視(物が2重に見える)が生じます。
- 顔面神経の本幹の損傷では,顔面が片方動かなくなります。これはとてもつらい後遺症ですから,もし完全麻痺が起こってしまったら顔面神経の再建術をすることもあります。
- 動眼神経の損傷では,片目がほとんど動かなくなったり,まぶたが動かないので目が開けられなくなります。
- 脳幹部の損傷はあってはならないのですが,半身麻痺や運動失調で歩行が困難になる可能性があります。
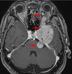
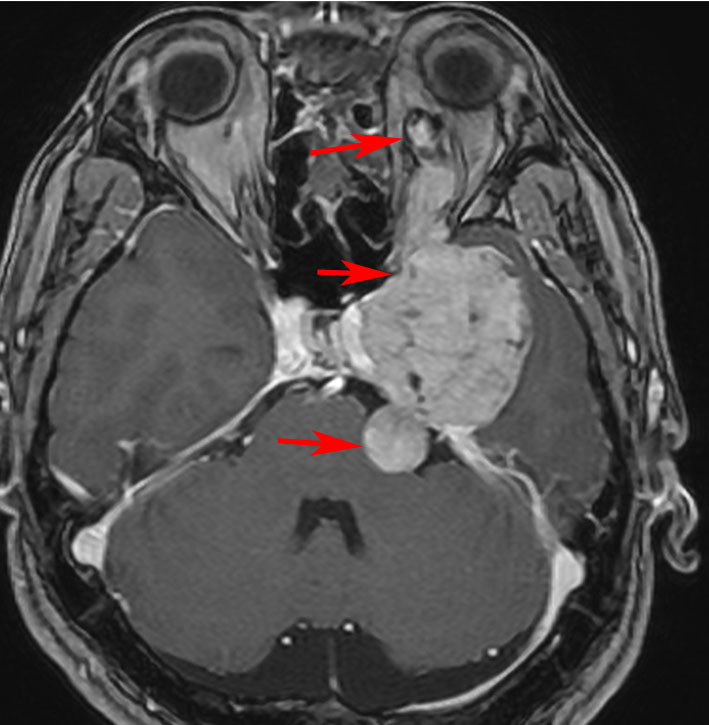
特殊な蔓状三叉神経鞘腫

NF-1ではない孤発例の三叉神経蔦状神経鞘腫です。眼窩内,上眼窩裂,メッケル腔,小脳橋角槽まで伸びる大きなものです。内視鏡の手術はできないので,開頭手術になりますが,全部まとめて摘出できます。
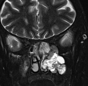
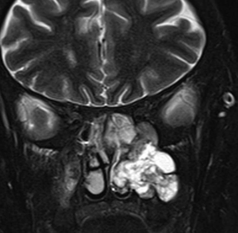
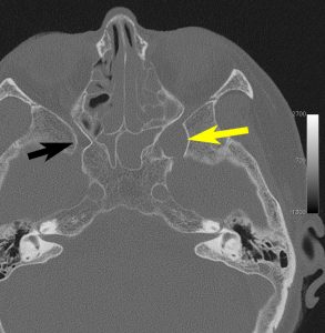
上顎洞癌と間違えるようなもの
三叉神経鞘腫は,頭蓋底の孔(上眼窩裂,正円孔,卵円孔)から眼窩内や頭蓋底,鼻咽腔に伸びることがあります。CTで頭蓋底骨の孔の拡大があることで診断がつきます。bone erosionといって徐々に大きくなる腫瘍の特徴的な所見です。
左上顎癌と間違えそうなMRI画像です。CTでは左の正円孔(黄色の矢印)が辺縁が滑らかに拡大 erosion しているので三叉神経第2枝(上顎神経)の神経鞘腫の診断がつきます。









