ロゼット形成性グリア神経細胞腫瘍 RGNT WHI grade 1
rosette-forming glioneuronal tumor of the fourth ventricle
- 第4脳室(小脳虫部と脳幹背部)に多いので,第4脳室ロゼット形成性グリア神経細胞腫瘍と呼ばれます
- 略してRGNTです,2000年代になって認識された病理診断名です
- とてもまれな腫瘍で,ゆっくり大きくなるWHOグレード1の良性腫瘍です
- 若い成人(30歳くらいが中央値)に多いです,小児でもまれにあります
- 第4脳室や中脳水道閉塞による水頭症を生じることがあります
- 小脳症状としてのフラツキ,水頭症による頭痛が初発症状です
- 無症状で偶然発見されるものもあります
- 症状のあるものでは無理しない程度に手術摘出します
発生部位
- もちろん第4脳室に最も多いです
- 脳幹部や小脳歯状核に浸潤します,そのようなものは手術で摘出することができません
- 中脳水道から視床の方向へ伸展するものもあります
- 大脳のあちこちにもできたという報告例が増えています
- ですから,単にRGNTと呼ばれ,RGNT of the fourth ventricle とは言われなくなってきました
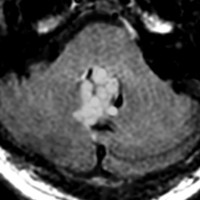
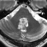
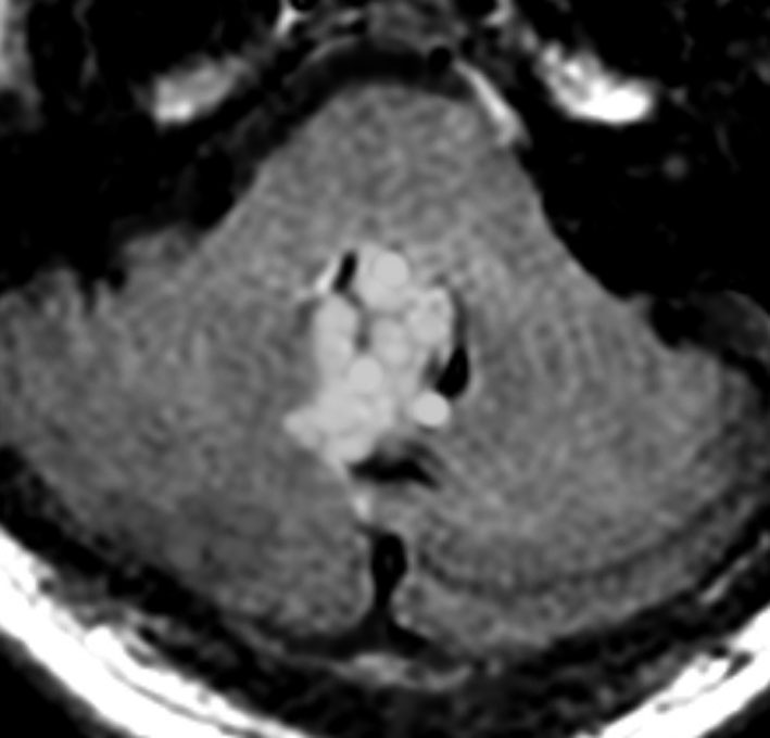
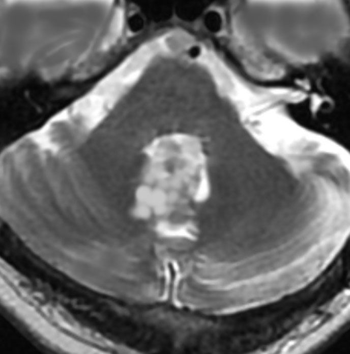
画像所見
- 比較的境界明瞭な固形腫瘍です
- T2強調画像で高信号,T1では低信号で,部分的にガドリニウム増強されます
- 小脳内の離れた部位に結節を作ることがあります
- 成人の毛様細胞性星細胞腫に似ている所見と言えます
偶然に発見された無症状の例
1990年代に無症状で発見され生検術を行った20代男性の例です。その後20年近く観察しましたが増大しませんでした。
病理
- 2つの要素によって構成されます
- 一つは,uniform neurocytes forming rosettes and/or perivascular pseudo-rosettes
- もう一つは,pilocytic astrocytomaに似るastrocytic componentです
- 従って,第4脳室毛様細胞性星細胞腫と第4脳室上衣腫との鑑別が難しい腫瘍です
- MIB-1 indexは低くて3%以下です
- かつてはDNT of the cerebellumとも呼ばれました
治療と予後
- 生命が脅かされる腫瘍ではありません
- 手術による摘出術が唯一知られた治療法です
- 無理な全摘出はしないほうがよいでしょう
- しかし,脳幹部や小脳核に浸潤するので手術による後遺症のリスクは低いとは言えません
- 治療には難渋することがあります
- 病理像がpilocytic astrocytomaとcentral neurocytomaに近いものですので,局所放射線治療は有効だと推定されます
- 経過観察後の早期再燃,再発例には放射線治療を加えるのが一般的です
- 可能な例は少ないのですが,放射線外科治療が有効です
紛らわしいもの
- 成人の毛様細胞性星細胞腫とは,画像でもMRIでも病理でも区別できない様なものがあります
- synaptophysin陽性細胞や典型的なneurocytic rosetteがないと組織診断で鑑別できないこともあります,
- 迷った時に,毛様細胞性星細胞腫にしてもRGNTにしても,グレード1の良性腫瘍ですから無理な治療はしません
文献情報
ガンマナイフ治療が有効であった例
Staged Gamma Knife radiosurgery for a rosette-forming glioneuronal tumor of the fourth ventricle: a case report. Childs Nerv Syst 2023
術後再発増大した第4脳室RGNTに,two-staged Gamma Knife radiosurgery (GKRS)が使用されました。7年間再増大はなかったそうです。
Dissemination Patterns and Short-Term Management of Multifocal Rosette-Forming Glioneuronal Tumors. World Neurosurg 2021
18例の1年生存割合は94%で播種したとしてもゆっくり増大する腫瘍です。43%が脳脊髄液転移,48%が実質内浸潤での2次病巣の広がり,10%が両方だそうです。死亡は2例で20%ですが,観察期間中央値17ヶ月ですから,もっともっと高いと推定されます。放射線と化学療法の効果は不明でした。
部分摘出でも予後がよい
Beuriat PA, et al.: Rosette-forming glioneuronal tumor outside the fourth ventricle: a case-based update. Childs Nerv Syst. 2015
文献報告された32例を調べたところ,死亡例は一例もなかったとのことです。2例で残存腫瘍が増大して,補助療法(放射線治療)が必要となりました。亜全摘出を行えば十分なことも多く,無理な全摘出をしなくてもよいと結論しています。
8歳児の視床下部 RGNT に対する陽子線治療
Yamamoto T, et al.: Rosette-forming glioneuronal tumor originating in the hypothalamus. Brain Tumor Pathol 32. 2015
思春期早発症で発症した8歳児の視床下部のRGNTの報告です。MIB-1 3.5%と高く早い増大速度を示したので,陽子線治療が加えられました。その後3年間にわたり腫瘍再燃はなかったそうです。
第3脳室後部に発生した例
Maiti TK, et al.: Rare pathologies in the posterior third ventricular region in children: case series and review. Pediatr Neurosurg 50: 42-47, 2015
中脳水道から視床に発生することは知られています。部分摘出して経過観察したと記載されています。
脳室内播種した例
Allinson KS, et al.: Rosette-forming glioneuronal tumor with dissemination throughout the ventricular system: a case report. Clin Neuropathol 34: 64-69, 2015
33歳の女性例で,第4脳室RGNTが脳室壁に広範囲に伸展した例です。腫瘍は多発結節状に側脳室から第3脳室壁に広がりました。脳室内に多発性増殖を示した例は過去にも2例あったそうです。
脊髄播種がみられた例
García Cabezas S, et al.: Rosette-forming glioneuronal tumour (RGNT) of the fourth ventricle: a highly aggressive case. Brain Tumor Pathol 32:124-130, 2015
頭痛で発症した24歳男性例です。両側小脳,左小脳橋角部,頚髄に腫瘤があり,髄膜播種の像を認め放射線化学療法を行ったとあります。病理所見では,微小血管増殖があり壊死像を混じていました。
デューク大学からの多数例報告
Zhang J, et al.: A comprehensive analysis of 41 patients with rosette-forming glioneuronal tumors of the fourth ventricle. J Clin Neurosci 20: 335-341, 2013
第4脳室RGNTの41例の報告です。手術はtransvermian and telovelar approachでなされました。ただ1例の患者さんで腫瘍再発(再燃)のために放射線治療が行われました。治療は無理せずに亜全摘出にとどめ,再発時には放射線治療を考慮するべきと結論しています。
Rosette-forming glioneuronal tumor: report of an unusual case with intraventricular dissemination. Acta Neuropathol 2009
16歳女性が症候性てんかんで発症した例です。放射線治療されていますが予後は不明です。


