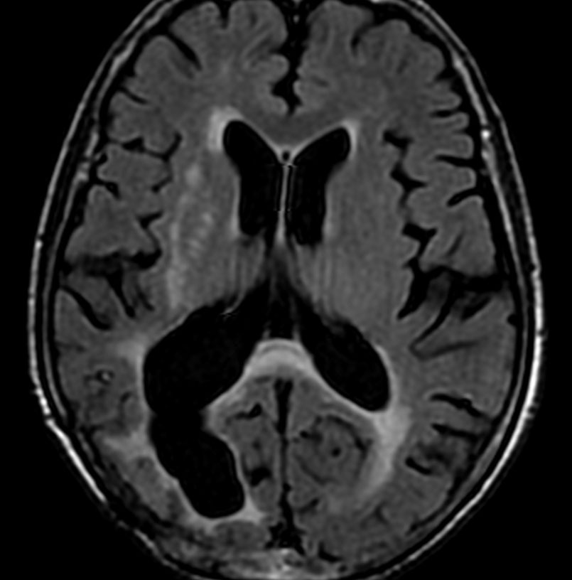
放射線治療後の白質変性
放射線治療後の白質変性(ワーラー変性,Wallerian degeneration)



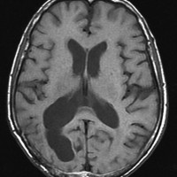
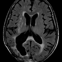
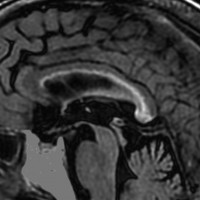
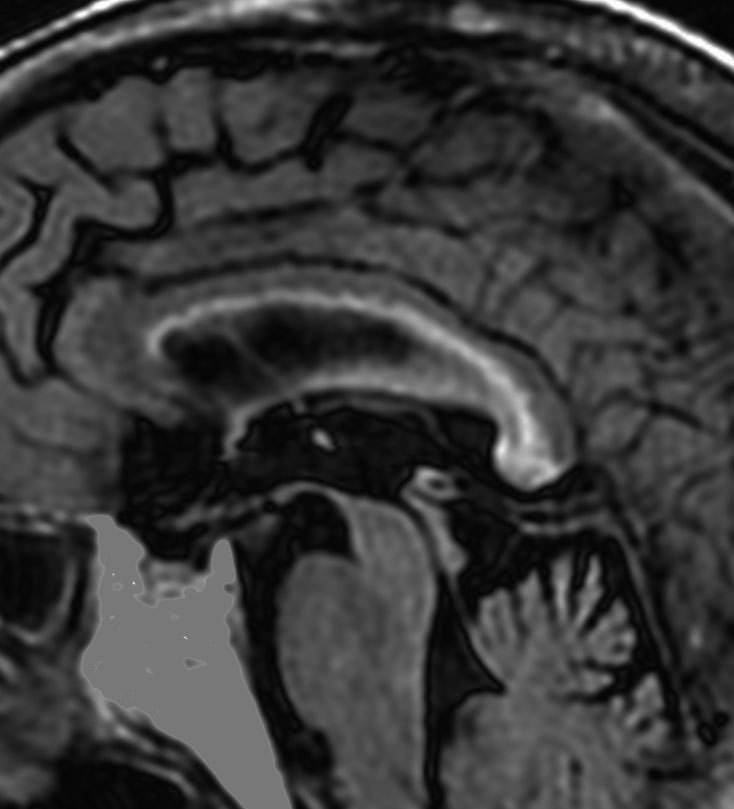
70歳女性の右後頭葉退形成性星細胞腫に対して,摘出術と54グレイ27分割の局所放射線治療をしました。右後頭葉に腫瘍摘出腔があって腫瘍再発はないのですが,治療一年後くらいから脳梁の脳室側にFLAIRで高信号の領域が広がってきました。特に星細胞系腫瘍の場合に,局所浸潤再発とまがうような所見となることもあります。ここにあげた例は典型的なもので,脳梁膨大部から膝部に至るまで脳梁内側部の白質変性が明瞭にとらえられます。