粒子線治療,陽子線治療 proton radiotherapy
大切なこと
- 陽子線治療と重粒子線治療と中性子線治療を併せて粒子線治療と言います
- 陽子線治療は水素の原子核(陽子)を加速して患部に当てる方法です
- 重粒子線治療とは炭素イオンを加速して患部に当てる方法です
- 粒子線治療の特徴は,体の深いところにある腫瘍に集中的により多くの放射線量がかけられるので浅いところの正常な組織の損傷を低く抑えられることです
- 通常の放射線治療(X線とγ線)ではエネルギーは表面から減衰していきますが,粒子線では線量のピークを10cm以上の深いところへ持っていけるからです
- 治療できる代表的ながんは前立腺がんで,頭蓋底悪性腫瘍を含む頭頚部癌にもある程度の成績が見込めます
- 中性子捕捉療法 BNCTというのは半世紀近く脳腫瘍に使われていますが効果はみえません
- 残念ながら通常の脳腫瘍では粒子線(陽子線)の利点ははっきりしません
- 陽子線だと治る確率が高くなるという脳腫瘍は知られていません
- 陽子線で脳や神経の損傷が少なくなったという明瞭な科学的証拠はありません
- 2019年,小児髄芽腫低リスク群に脳脊髄照射 (23.4グレイ) と腫瘍局所照射を用いた場合,陽子線の方が知能予後が良いとの報告がなされました,小脳局所照射時の大脳被曝が陽子線では低下したと推定されます
- これより高い線量ではその違いははっきりしていません
- 陽子線でも認知機能の低下は生じます,でも従来の光子線 photon(放射線治療)と長期予後を比較するデータは明らかになっていません
- 体の中でも脳は粒子線による障害を受けやすい場所だと考えられます
- 2016年4月から小児脳腫瘍(限局性の固形悪性腫瘍)に陽子線の保険診療が認められました
- 小児以外は保険診療が認められていないので,陽子線で250万円,重粒子線で300万円くらいの自己負担になります
- 日本では2020年で,18カ所の陽子線治療施設があります
- 実際に,小児脳腫瘍に対して使用されることが多くなっています
陽子線治療 proton beam
陽子線治療の利点
- 陽子線は深部にピークを作ることできるので,深い位置にある脳腫瘍にかけると,陽子線の通り道になった正常脳の被曝を少なくすることができます
- 特に大きな病巣に対して、正常組織にかかる線量を減らして腫瘍にかかる線量を均一にする特徴をもっています (IMRTなどを応用します,陽子線治療ではIMPTといいます)
- ですから、手術ができないように広がった悪性髄膜腫の再発など、大きなかつ通常の放射線治療に抵抗性の腫瘍に十分な線量がかけられます
- 同じように頭蓋底悪性腫瘍や脊索腫でも大線量をかけることができます
- 複雑な形の脳腫瘍に対して放射線を複雑な形でかけることができます
- つまり,ガンマ線 IMRTより治療計画がしやすく低線量被爆領域が少ないとのことです
- 通常の脳腫瘍への対腫瘍効果としてはガンマ線 IMRTと陽子線 IMPTの差はあまりありません
- 従って,成人脳腫瘍に対しては頭蓋底腫瘍以外には使用されていないのが現状です
- 公的病院ではない施設から陽子線を誇張宣伝する記事では,「がん病巣前後の正常組織へのダメージはほとんどなく、体に優しいがん治療」と書いてありますが,インチキだと言えます
陽子線が適応となる脳腫瘍(頭頸部腫瘍)
- 脊索腫 chordoma
- 悪性髄膜腫 malignant meningioma
- 軟骨肉腫 chondrosarcoma
- 小児脳腫瘍の一部
小児脳腫瘍に陽子線治療を使わないか?使うのか?
- お医者さん(小児科医と脳外科医)には陽子線は正常の脳が被曝しないから,知能低下を防げるという期待をご両親に過度にいだかせる傾向があるので,まず注意です
- それは証明されていませんし,おそらく最新のガンマ線 photon 照射装置と照射方を使えば陽子線より正常脳組織が守れるという意見もあります
- 新しい治療法があれば,両親も主治医も,藁をもすがるという病気です
- 認知機能を守るためにはどんな可能性としての手段も利用するという考えもあります
- 実際には,頭蓋咽頭腫や上衣腫などに広く用いられています
- 注意することは,従来の放射線治療で治るはずの腫瘍に陽子線を使用して生命予後を悪化させてしまうということです
- あくまでも高度な知識をもった専門家がその優位性をしっかりと見据えた上での陽子線選択となります
- また陽子線があるからといってリスクが高い外科手術を中途半端な結果に終わらせた時,陽子線の侵襲度が高くなり,長期成績をみればなにをしたのかわからなくなることもあります
- とくに,頭蓋咽頭腫と上衣腫ではこの点に注意する必要があります
- 「頭蓋咽頭腫と上衣腫は手術で完全摘出できたときに長期予後に期待が抱ける」という事実は,陽子線治療が発達しても変わりがないことです
わかりにくいけど基本的なこと
- 電磁波(光子線 photon): X線,ガンマ線
- 粒子線: 電子線,陽子線,中性子線,重粒子線(炭素線)
放射線には2種類ありますが,現実的に脳腫瘍の治療で使用されるのはガンマ線と陽子線だけです。従来の放射線治療は,光子線 photon beam (主にγ線)を利用した ionizing irradiaitonです。粒子線 particle beam というのは,水素の原子核(プロトン,陽子線)や炭素の原子核(カーボン,炭素線)を利用した放射線治療です。
ブラッグピーク Bragg peak
Wikipediaからの引用です。ピンクの光子線(ガンマ線)は脳の表面から深くなるとエネルギーが減衰していきます。でも青の陽子線では,深さ20cmくらいのところでピークがありエネルギー放出が最大となります。深いところの腫瘍に効率的に被曝を大きくできます。
問題は,頭蓋は前後径でも18cmくらい幅は15cmくらいということです。この20cmのブラッグピークだと頭を超えてしまいます。脳の中心部の腫瘍といっても表面からたかだか10cmでしょう。また浅いところに被曝が少ないといっても50%doseくらいは入ります。陽子線を進めるネット上の情報では,正常脳に全く放射線が入らないような記述をしているのですが,ごまかされないようにしましょう。
ballistics

放射線の軌道制御をballisticsといいます,陽子線は従来のガンマ線治療よりもballisticsが非常に良いとされます。高度に制御されたミサイルが標的だけを確実に破壊するのと同じように,正常脳の被曝を抑えてターゲット(脳腫瘍)を破壊するというような理論です。でもあくまでも理論です。
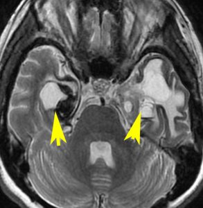
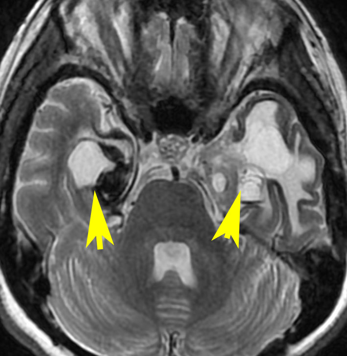
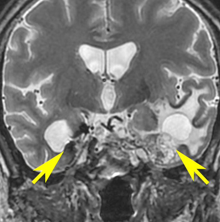
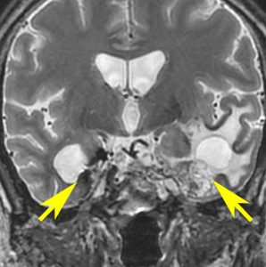
重粒子線治療(炭素線)の放射線壊死
頭蓋底の脊索腫再発のために炭素イオン線 60グレイ16分割の治療を受けました。5年後に両側の側頭葉の脳壊死が生じました。そのために高度の高次脳機能障害となりました。両側の海馬(黄色い矢印)の壊死のために記憶が全くできません。でもしかし,この患者さんは重粒子線治療を受けなければ腫瘍再発で亡くなっていたと私は考えています

左内頸動脈が炭素線被爆したために閉塞しています。
重粒子線は高度の悪性腫瘍をやっつける強力な治療である反面,このように脳や動脈が被爆すればその組織も破壊されてしまいます。悪性腫瘍を破壊できる強力な粒子線治療は,その周囲の神経組織もかまわず破壊する治療であるとも言えます。
文献
陽子線治療は従来の放射線治療と比較して生存期間を延長しない
Muroi A: Proton therapy for newly diagnosed pediatric diffuse intrinsic pontine glioma. Childs Nerv Syst. 2020
筑波大学からの報告です。12例のDIPGの子供に54Gy30分割の陽子線治療が行われました。結果,OS 生存期間の延長は得られませんでした。
65歳以上の初発膠芽腫に対する少分割・短期間陽子線治療の効果
Vora S: Short-course hypofractionated proton beam therapy, incorporating 18F-DOPA PET and contrast-enhanced MRI targeting, for patients aged 65 years and older with newly diagnosed glioblastoma: a single-arm phase 2 trial. Lancet Oncol 2024
Mayoクリニックで行われた臨床第2相試験です。放射線治療のターゲットは, 18F-DOPA PET とガドリニウムで増強される部分に絞って決められました。陽子線が使用され,5回から10回の少分割で照射されています。65例の患者さんが登録され,1年生存率は56%,生存期間中央値は13.1ヶ月でした。過去の臨床第3相試験の生存期間6-9ヶ月と比較すればとても良い成績で,治療後の生活の質も良好であると報告者は結論しています。ですが,症例数もとても少なく生存期間の延長も無作為試験ではないので,信ぴょう性には欠けます。
小児への陽子線治療では脳幹部損傷リスクは低い,従来の放射線と同様である
Quantifying the risk and dosimetric variables of symptomatic brainstem injury after proton beam radiation in pediatric brain tumors. Neuro-Oncol 2022
brainstem Dmean >30 Gy and/or Dmax >50.4 Gy以上の陽子線照射受けた20歳以下の468人の患児が調査されました。画像上の変化に加え,脳神経麻痺,失調,麻痺などの悪化が生じた例を脳幹障害 brainstem injury と評価しています。年齢中央値は6.3歳,線量中央値は54グレイです。15例 (3.2%)で脳幹障害が発生し,中央値は照射後4ヶ月です。グレード2, 3, 4, 5の脳幹部障害は,それぞれ7, 5, 1, 2名です。無症候性の画像上変化は51例 (11%)に生じました。3歳以下,女児,ATRT,幹細胞救援と大量化学療法などがリスクファクターでした。線量制約を行なった後には脳幹障害が減少したということです。従来のphton 放射線治療に”匹敵する comparable to ” 程度に低侵襲だと結論しています。
膠芽腫に対する陽子線とIMRT放射線治療
A Prospective Phase II Randomized Trial of Proton Radiotherapy vs. Intensity Modulated Radiotherapy for Patients with Newly Diagnosed Glioblastoma, Neuro-Oncol 2021
陽子線治療とIMRTという従来の放射線治療を用いて,照射による認知機能の低下が比較されました。67人の患者さんで臨床第2相試験が行われ,認知機能の温存に有意なさはなかったとの結論です。膠芽腫に陽子線治療を行うメリットははっきりしません。
小児脳腫瘍に対する陽子線治療の利点
Dell’Oro M: Influence of Target Location, Size, and Patient Age on Normal Tissue Sparing- Proton and Photon Therapy in Paediatric Brain Tumour Patient-Specific Approach. Cancers 2020
9歳以下の小児のテント上腫瘍に陽子線を用いると下垂体の被曝量が減量されます。髄芽腫などのテント下腫瘍では視路を含めた脳組織への被曝量が低減できるということです。
髄芽腫の低リスク群では,陽子線のほうが知能予後が良い
Kahalley LS: Superior Intellectual Outcomes After Proton Radiotherapy Compared With Photon Radiotherapyfor Pediatric Medulloblastoma. J Clin Oncol. 2019
長く議論があった命題の答えかもしれません。2007年から2018年に治療された髄芽腫に,37人に陽子線が,42人に光子線(photon radiotherepy, 旧来の放射線治療)が用いられました。脳脊髄線量中央値は同じ23.4Gyで,平均年齢8.6歳,平均追跡期間は4.3年です。旧来の放射線治療では認知機能は低下しましたが,陽子線ではstable scoresであったそうです。そのまま受け取れば目立った知能低下はないと訳せます。この論文は今後の放射線治療に対して大きなインパクトをもつものです。
「解説」著者は,processing speedは陽子線でも低下したと強調しています。原発巣周囲の小脳には同じ高線量が入りますので,陽子線においても,小脳機能を介する認知機能としてのprocessing speedは低下すると理解されます。注意したいのは,治療対象となった年齢が髄芽腫にしては比較的高いこと,また対象が低リスク群であったという限定条件です。また脳脊髄照射は同じ線量が入っていますので,脳脊髄照射が23.4Gyという低線量条件において成立し得る治療成績です。
陽子線治療の方が甲状腺機能低下症少ないか? はっきりしていない
Bielamowicz K: Hypothyroidism after craniospinal irradiation with proton or photon therapy in patients with medulloblastoma. Pediatr Hematol Oncol. 2018
髄芽腫で脳脊髄照射を受けた子供たちの甲状腺機能が追跡されました。追跡期間は,通常のX線 XRT は9.6年,陽子線 PRT で3.8年でした。原発性甲状腺機能低下症は,XRTで12/54 (22.2%) 人,PRTで3/41 (7.3%)人でした。中枢性甲状腺機能低下症は,XRTで13/54 (24.0%) 人,PRTで 4/41 (9.8%) 人でした。いずれの数字も陽子線治療の方が優っています。でも結論では,統計学的に有意な差はないとされています。
2018年ASTROでの学会発表
陽子線治療とX線治療を受けた125人の子供が追跡調査されました。診断年齢中央値は7歳,4年ほどの経過を見ると,陽子線治療の方がfull-scale IQ (10.6), processing speed (12.6) , parent-reported practical function (13.8)で,X線に優ったとのことです。Northwestern Medicineの放射線治療科のレジデントの発表で,後方視的な分析です。このデータは鵜呑みにはできないかもしれません。
髄芽腫の陽子線治療
Yock TI et al. Long-term toxic effects of proton radiotherapy for paediatric medulloblastoma: a phase 2 single-arm study. Lancet Oncology Published online January 29, 2016
ボストンMGHからの報告で,2003年から2009年に59人の髄芽腫の治療成績です。14例の高リスク群の患児が含まれています。陽子線で脳脊髄18–36 Gy (GyRBE) (1·8 GyRBE per fraction)と局所照射が使用されました。全員が化学療法を受けており,脳脊髄線量中央値は23.4Gy,局所は54Gyでした。生存者平均追跡期間は7年です。45人中の4人(9%)で両側の聴力低下(grade 3-4)が生じ,3人で片側の聴力低下が生じました。5年での累積割合では16%でした。5年追跡期間でFIQが年平均1.5 point低下しました。内分泌機能は55%で低下していて,成長ホルモン欠損症が頻度として高かったとのことです。5年全生存割合は83%(95%CI 67-88)と推定されました。陽子線で,旧来の放射線治療と同等の生存割合を得られるとの結論です。
「CCLGのコメント」
中短期の観察期間において,陽子線による生存割合と副作用は旧来の放射線治療と同等である評価しています。理論的期待があるもののそれはまだ証明には至っていません。メディアで報道されたものは,論文の著者によって書かれた結論に尾ひれがついているようで,一部の報道の陽子線に対する熱気に警告を発しています。
陽子線治療と知能低下
Kahalley LS, et al.: Comparing Intelligence Quotient Change After Treatment With Proton Versus Photon Radiation Therapy for Pediatric Brain Tumors. J Clin Oncol 34:1043-92, 2016
陽子線を受けた子供130人と従来のガンマ線照射 photon radiation を受けた子供90人の知能が比較されました。陽子線ではIQに変化はありませんでしたが,従来の放射線では1年間にIQが 1.1 低下しました。しかし,低下傾向に有意な差はありませんでした。結論として,陽子線のほうがガンマ線よりも,認知機能の温存できるかどうかは不明であるとしてます。
小児脳腫瘍への陽子線治療と認知機能
Pulsifer MB, et al.: Early Cognitive Outcomes Following Proton Radiation in Pediatric Patients With Brain and Central Nervous System Tumors. Int J Radiat Oncol Biol Phys 93:400-407, 2015
MGHからの報告です。6歳以上の60人の患児(髄芽腫,グリオーマ,頭蓋咽頭腫,上衣腫など)が陽子線治療を受けました。脳脊髄照射が47%で局所照射が53%でした。平均年齢は12歳で平均追跡期間は2.5年です。ウェクスラーFIQ検査, Verbal Comprehension, Perceptual Reasoning/Organization, Working Memoryでは有意な低下は生じなかったとのことです(ほんと??)。しかし,12歳以下ではProcessing Speed scoresの低下が目立って有意でした (mean 5.2 points)。
「解説」陽子線治療で認知機能の低下が防げると考えられかなり期待されています。しかし,陽子線治療で小児の認知機能が守れたかどうかという証拠は相変わらずありません。この報告も経過観察期間が短く,脳脊髄照射や大脳や小脳の部分照射が混在するもので,結論には全くいたりません。
脊索腫の陽子線治療
McDonald MW, et al.: Influence of Residual Tumor Volume and Radiation Dose Coverage in Outcomes for Clival Chordoma. Int J Radiat Oncol Biol Phys. 2015 Aug
インディアナ大学からの報告です。39人の患者さんがの陽子線治療 (中央値 77.4グレイ; RBE range 70-79Gy) を受けました。追跡期間中央値は51ヶ月と短いのですが,5年推定値での腫瘍コントロール割合は69.6% (95%CI 50-89)で,OS 81% (95%CI 65-97)です。GTVが小さい方が腫瘍制御が確実となり,腫瘍単位体積あたりのD1cm3は74.5Gy以上が必要との結論です。
「解説」この推定値からは陽子線で脊索腫の増大を制御できる確率は50%程度と読み取れます。手術で限界まで摘出して残存腫瘍が小さい方が陽子線の効果も期待されるということが諫言されています。
参照文献
- McDonald MW, et al.: Influence of Residual Tumor Volume and Radiation Dose Coverage in Outcomes for Clival Chordoma. Int J Radiat Oncol Biol Phys. 2015 Aug
- Pulsifer MB, et al.: Early Cognitive Outcomes Following Proton Radiation in Pediatric Patients With Brain and Central Nervous System Tumors. Int J Radiat Oncol Biol Phys 93:400-407, 2015
- Yock TI et al. Long-term toxic effects of proton radiotherapy for paediatric medulloblastoma: a phase 2 single-arm study. Lancet Oncology Published online January 29, 2016

