ランゲルハンス細胞組織球症 LCH
Langerhans cell histiocytosis (LCH)
要点
- おもに子供に生じる病気で,10歳以下に多いです
- ほんとの腫瘍とはいいがたいものですが,ランゲルハンス細胞の異常(腫瘍性)増殖による炎症と考えられています
- とても大切なことは何も治療をしなくても自然に治ってしまうことがあることです(自然寛解)
- 全身のどこでもできる病気ですが,頭蓋骨と脳にも生じます
- 頭蓋骨にできるものは,好酸性肉芽腫症とよばれました
- 頭蓋骨では,頭の骨が盛り上がったりへこんだりして気づくことが多いです
- レントゲン検査で,頭蓋骨が丸くポコンと抜けるように溶けているのが特長です
- 頭蓋骨の中でも頭蓋底という頭の底の骨にできるものはやっかいです
- 頭蓋底の骨のものはかなり広がらないと症状を出さないので気づかれないこともあります
- 側頭骨にできると聴力低下で発見されることもあります
- 脳では,視床下部の灰白隆起から下垂体という場所に多いです
- おしっこがたくさん出てのどが渇くという尿崩症や身長が伸びない成長ホルモン欠損症などで症状が出ます
- このようなものはジャーミノーマや下垂体後葉炎とまちがいやすいです
- 大脳や小脳に多数の病変が現れることもあります
- 脳に病気が生じると,てんかん発作や認知症などいろいろな神経症状とかの後遺症を残すことがあります
- 小脳に生じると小脳失調というふらつきが出ます,また小脳萎縮で発症することもあります
- たくさんの臓器に発生するものとか,再発を繰り返すものとか,おもいタイプのLCHでは,症状がなくても脳のMRIを定期的に検査した方がいいかもしれません
- 命が危ない病気ではありません
- 単独病変としての小さな頭蓋骨穹窿部病変は,しばらくみると自然退縮することがあるので,何も治療しないこともあります。
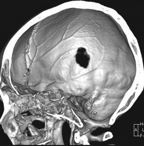
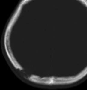
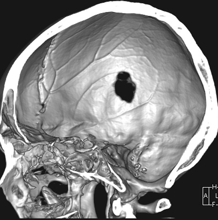
CTで典型的な頭蓋骨の打ち抜き像 punched out lesion が左頭頂骨にあります。これだけでLCHと診断がつくような画像です。
診断と治療
- LCHはまず,単一臓器型(孤発あるいは多発)か多臓器型かを区別して診断します
- 例えば脳だけなら単一臓器,脳と肺にあれば多臓器型といいます
- 単一臓器でも病変が多発することがあります
- 脳の何カ所かあるいは頭蓋骨に多発するものは,多病変単一臓器型と捉えられます
- この診断のためには全身のCT, MRIや骨シンチが必要です
- 多臓器型では予後が悪いこともあるので,LCHにかなり詳しいお医者さんを選びましょう
- 小児の治療は,脳外科ではなくて小児科でします
- 成人を含めて,血液腫瘍疾患の専門の先生が詳しいでしょう
- 頭蓋骨穹隆部にできたものの摘出や脳にできた病変の生検術は脳外科でします
- 多発病変に対する化学療法(制がん剤)は脳外科ではしません
- 頭蓋骨底の単発浸潤性病変には低線量の局所放射線治療が用いられることがあります
古い病名ですがLCHと同じ疾患をさすもの
- 組織球症X (histiocytosis X)
- 好酸性肉芽腫症 (eosinophilic granuloma)
- ハンド・シューラー・クリスチャン病 (Hand-Schuller-Christian disease)
- レテラー・ジーベ病 (Abt-Letterer-Siwe disease)
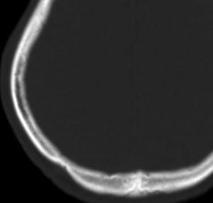
頭蓋骨のLCH
- 上の写真は,子供の右の頭頂骨にできたLCHで,頭部病変では最も多く見られるタイプです
- 頭蓋骨が丸く抜けるように破壊されるのでpunched out lesionと表現されます
- 頭蓋骨欠損がそれほど大きくないものは様子を見ます
- 自然に消失して治ってしまうことも多いです
- 単臓器単発型は無治療で経過をみるというのもよいでしょう
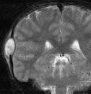
頭蓋骨のLCH
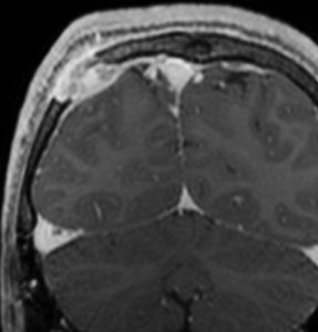
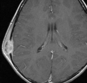
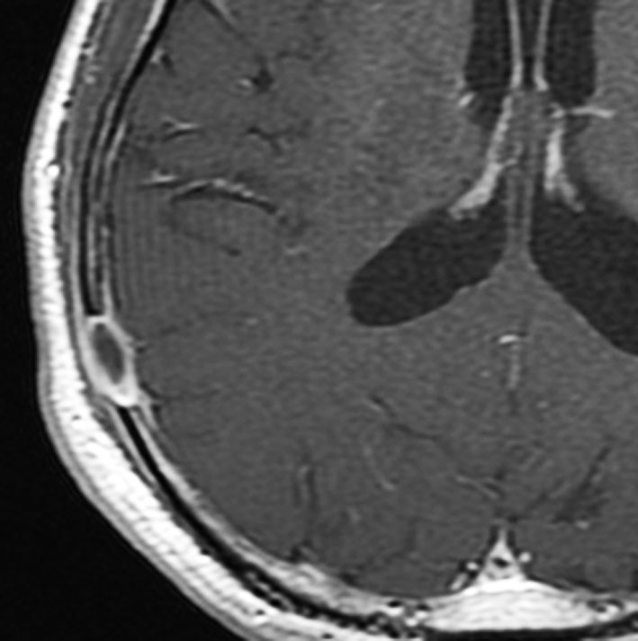
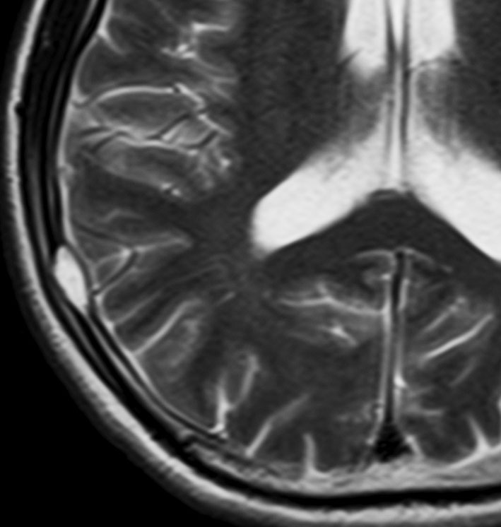
9歳の男の子です。右側頭部が腫れてきたのに気づきました。頭蓋骨のいびつな破壊像があります。

左はMRI T2強調画像です。まるで丸い腫瘍のように見えます。
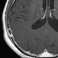
下のT1強調画像では,ガドリニウム造影剤で強く増強されていて皮下に炎症性腫脹がみられ,活動期の病変であるのがわかります。
この病変は単発(孤発)病変ですが,ややいびつな形をしていて,頭皮の方に盛り上がっていますから,活動性の病変です。手術で完全摘出すると治りますから,骨欠損が広がるようなら手術したほうがいいです。理由は,手術が簡単なこと,病理診断がつくこと,これ以上の病変の広がりを抑えることです。最近は自然の骨に近いような人工骨で補填することができますが,骨形成しなくても自然修復で骨形成されます。とくに,低年齢児では骨形成をしない時もあります,頭蓋骨が自然再生するからです。
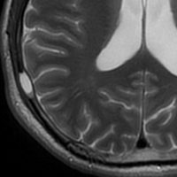
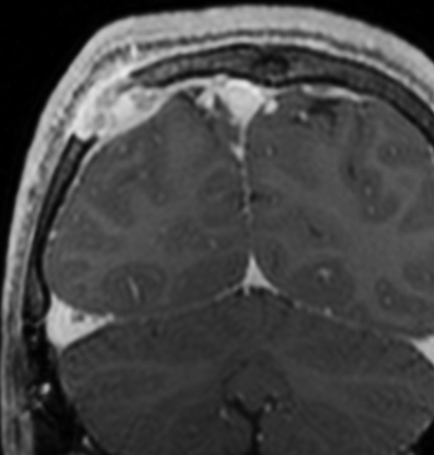
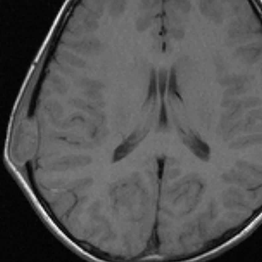
脳のLCH(ガドリニウム増強されるタイプ)
- 左の写真は,両側の側頭葉内側(黄色の矢印)と視床下部(赤)に同時にできたLCHです
- このように脳のLCHは近寄った場所に多発するように散在性に発生することがあります
- まれには,前頭葉全域にガドリニウム増強病変が生じて,悪性グリオーマと間違うようなものもあります
- これを単発病変とするのか1臓器の多発病変とするのかはわかりません
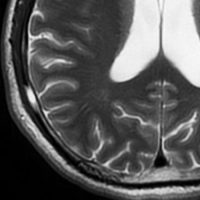
- 左の写真は3ヶ月後のものですが,なにも治療しないで自然に病巣は消失してしまいました(自然寛解)
- しかし,脳のLCHは脳組織を破壊して広がりますから,病像が消えても症状は後遺症として残ることが多いです
- ですから,脳病変が発見されたら正確に診断して治療を行った方がいいでしょう
- 尿崩症で発症して子供たちにできる病気にジャーミノーマというものがあります
- 画像では区別できないくらい似ているのですが,治療法が全く違うのでジャーミノーマに詳しい専門医に一度は診てもらうべきです
LCHの発生と自然退縮
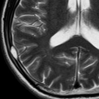
51歳の男性にみられたものです。脳ドックをきっかけにみつかりました。何もないところから発生して増大してまた3ヶ月くらいで消失していきます。左上から1月間隔くらいのMRIです。


もちろん生検手術などしません。


ガドリニウム像です。極期を過ぎているのでリング状増強で,これも縮小消失していきます。
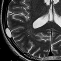
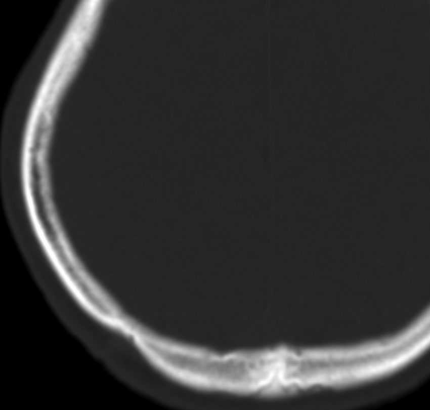
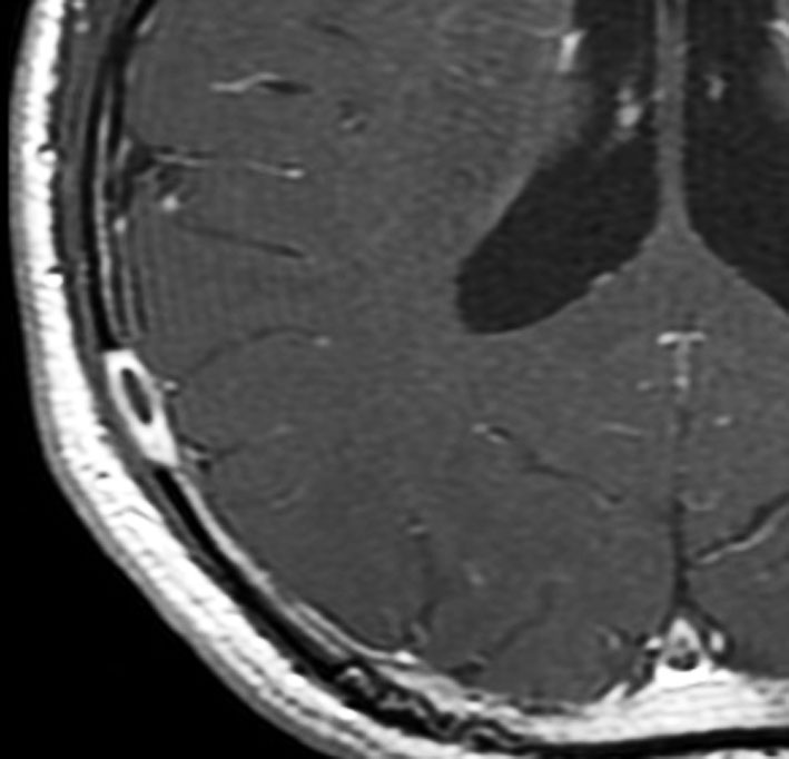
生検術だけして経過を見ると骨欠損が修復される

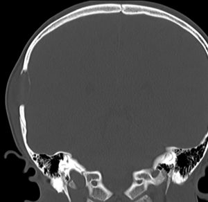
中年の女性の頭頂部に発生したものです。症状は頭皮の膨隆でした。生検術でLCHと診断して,しばらく経過を見たら自然退縮しました。
左は発症時,右は2年後のCTです。骨欠損部は自然修復されています。LCHの小さな骨欠損は頭蓋形成しなくても良いです。
ND-LCH (neurodegenerative LCH) ガドリニウム増強されないタイプ
- 脳のLCHですが,広範囲な病変で,ガドリニウムで白い造影像がでません
- 脳炎のような臨床像です
- T2強調画像の不規則な高信号領域が,両側の小脳白質,大脳基底核,橋,大脳深部白質に生じます
- LCHを有する子どもの20%くらいに画像上の脳病変が生じますが,その内の症候性のものを言います
- 変性性神経疾患のような多発性脳病変と症状を出すものです
- 症状は急激に悪くなることがあります
- 小脳失調,振戦,構語障害,嚥下障害,人格変化,学習障害,知能障害,行動異常,認知障害,精神発達遅滞などを生じます
- 病変が広いと様々な神経精神症状を残してしまいます
- 脳のLCHの代表的な症状が尿崩症なのですが,尿崩症が判明してからND-LCHの症状が出ることが多いです
- 水頭症を合併することがあります
ランゲルハンス細胞組織球症(LCH)患者会(ここをクリック)
日本ランゲルハンス細胞組織球症研究グループ(ここをクリック)
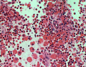
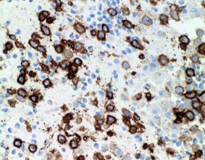
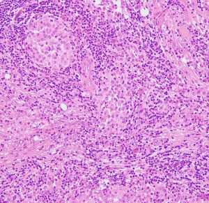
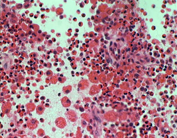
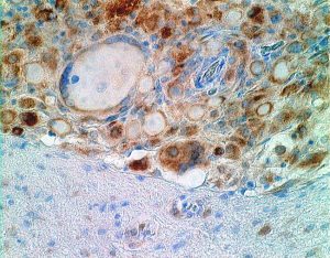
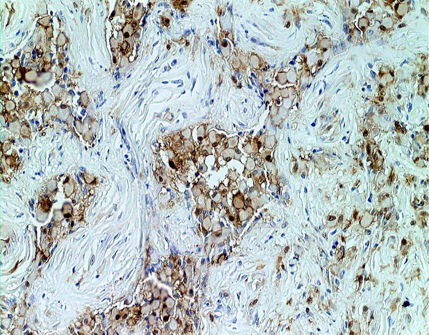
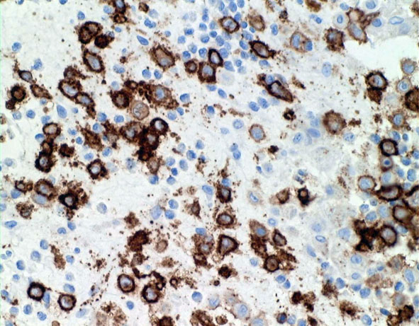
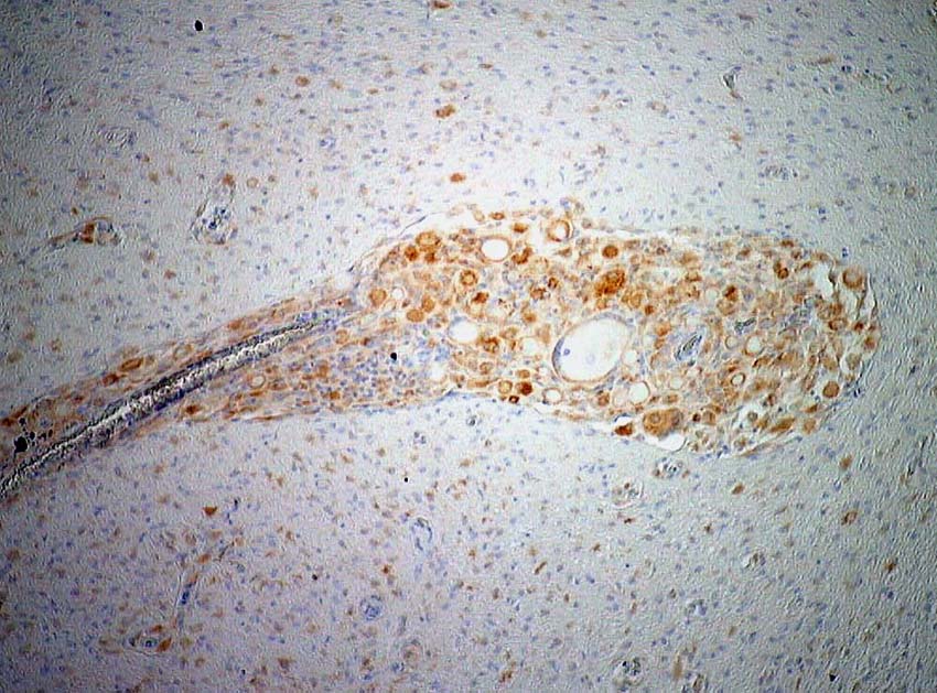
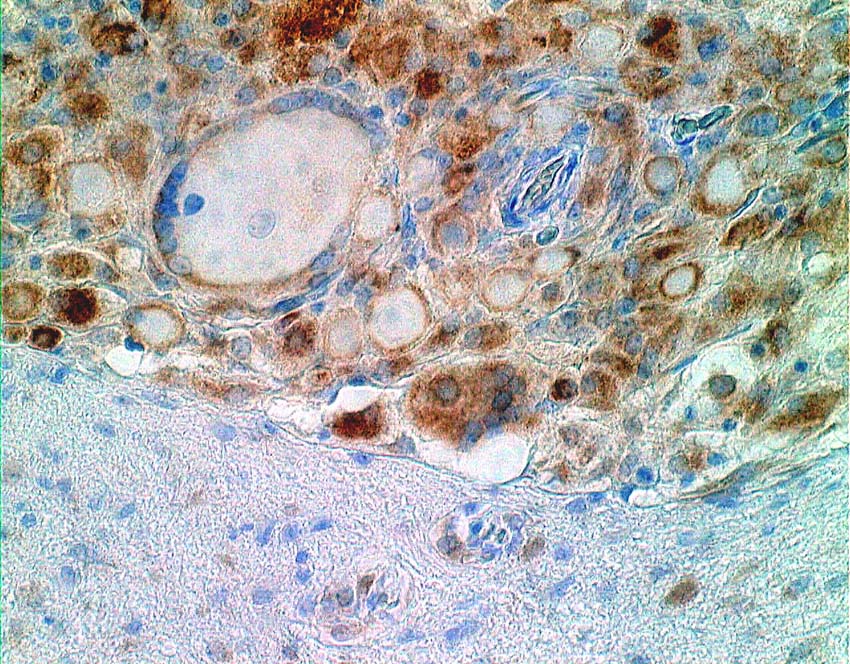
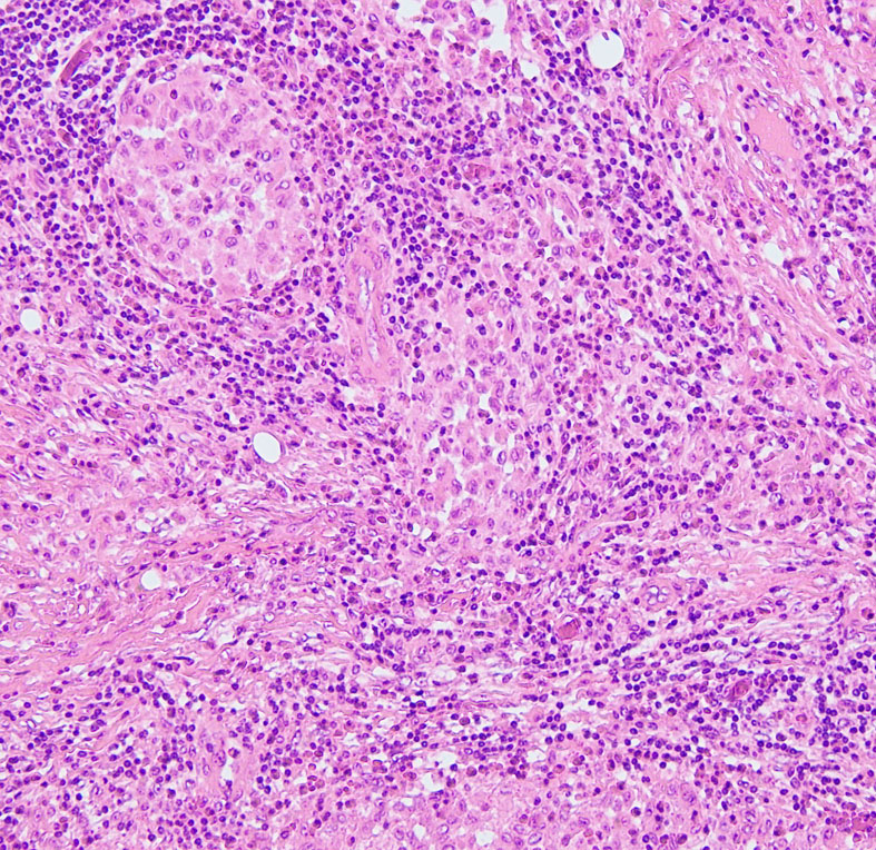
LCHの病理像
頭蓋骨のLCHの病理像です。左はHE染色,右はランゲルハンス細胞に特異性の高いCD1a(specific to dendric Langerhans cells) 染色です。多数のLangerhans cellとともに,組織球,リンパ球,好酸球,多核細胞など多彩な細胞浸潤があります。これは活動性のLCHの病巣から摘出したものです。
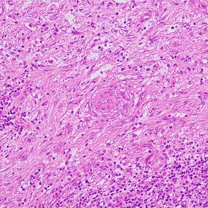
自然緩解して収まった病巣を生検術で摘出しても,このような典型的な病理像がなくて慢性炎症像がみられるだけのことがあります。その場合は確定診断がつきません。
左は,活動性の病巣です。右は,活動期が終わり慢性炎症所見を伴いながら肉芽種に移行する過程です。
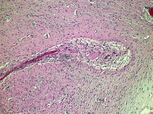
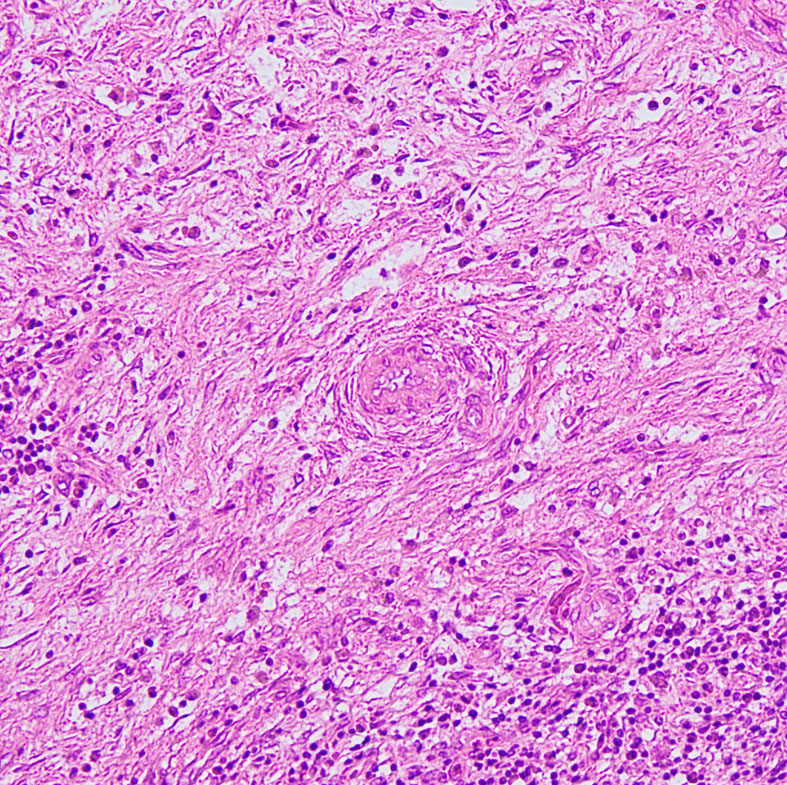
別な例の病理像です
左はHEで血管周囲に多様な細胞浸潤像があります,右はS-100です
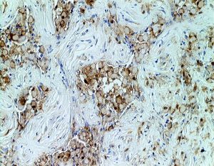
CDa-1染色です




















