舌下神経鞘腫 hypoglossal schwannoma
- 良性の神経鞘腫です
- 発見されるときの症状は舌下神経麻痺です
- 舌の片側だけが痩せる,片側舌萎縮 tongue atrophy というのだけが症状です
- 良性の経過をたどるので,発見しても慌てて手術しません
- 延髄小脳脚部や深頸部にある大きな舌下神経鞘腫を摘出するとき,迷走神経や舌咽神経を損傷して,嚥下障害や嗄声が出てしまうことがあります
- 手術するにしても無理して全摘出しない方がいいでしょう
- 治療は定位分割放射線治療の方が安全です
典型的な例1

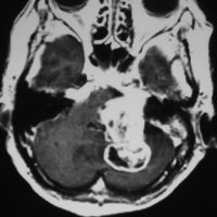
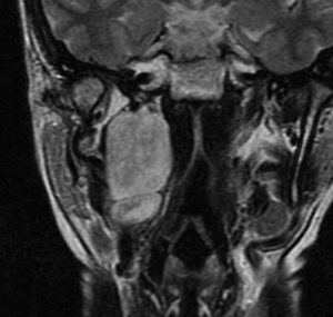
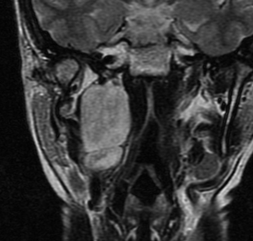
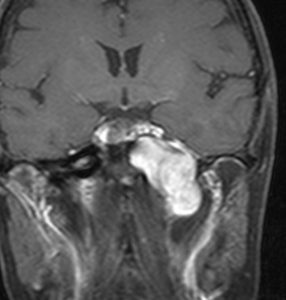
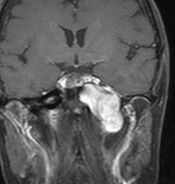
舌萎縮(舌が右側に曲がっている)に気づいて発見された舌下神経鞘腫です。
舌の右側だけが痩せて萎縮しています,前に出すと麻痺側に曲がります。
舌に波のようなシワができます。
頭蓋底の舌下神経管から頭蓋底部,深頸部に伸びた6cmくらいある大きな舌下神経鞘腫です。舌萎縮以外の症状がないので,手術しないで何年も経過観察していますが大きさは変わりません。右側の画像では内頸動脈が圧迫されていますが,狭窄して血流が悪くなるようなことはありません。
典型的な例2
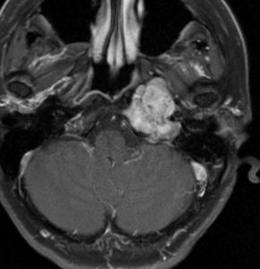
40代で発症したものです。手術リスクが高いので定位分割放射線治療 fSRT をしました。50グレイを25分割,1回線量2グレイです。以来,18年間が経過しますが腫瘍は2/3くらいに縮小して,そのままです。新たな症状もありません。この腫瘍への手術侵襲は大きいので定位放射線治療は有力な治療選択肢です。
大きなもの


20年以上前の古い例です。今ではこんな大きな舌下神経鞘腫を見ることはあり得ません。



