顔面神経鞘腫 facial schwannoma
- 珍しい腫瘍なので顔面神経鞘腫の治療は判断が難しいです
- 顔面神経はまず解剖が難しいです
- 脳幹部から出たすぐのところの脳槽部,内耳道内,膝神経節部,迷路部,中耳のところ(鼓室),乳様突起の中の顔面神経管,茎乳突孔の頭蓋底,耳下腺の後部までが顔面神経の本幹部です
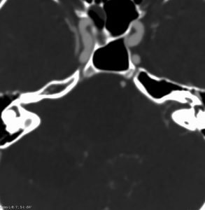
- 側頭骨内にあるものは,MRIよりCT (thin-slice bone-window)の方が正確に進展部位を把握することができます
- 顔面神経のどこの場所にも腫瘍はできますが,できた場所によって手術とか放射線治療の難しさや方法が変わるので判断がとても難しいのです
- 特に手術はできた場所によってかなり方法が違いますし,とても難しいものです
- 一般的には,放射線治療の方が手術より安全だと考えて下さい
- 放射線治療をするなら顔面麻痺が軽いうちがいいです
- 手術は顔面麻痺が相当に強くなってHB グレード4くらいにならないとしません
- 摘出手術と同時に顔面神経の再建手術(バイパス)をしなければならないので,顔面神経麻痺の外科治療もできる脳外科医に手術をしていただきましょう
- 顔面神経麻痺はとてもつらい後遺症なのだということを知っておいて下さい
麻痺が進行する前に,腫瘍が小さいうちに,なるべく早めに定位放射線治療を受けるべきでしょう
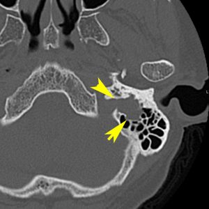
側頭骨内(顔面神経垂直部)

耳下腺内顔面神経鞘腫
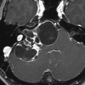
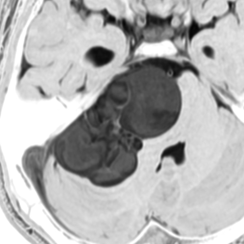
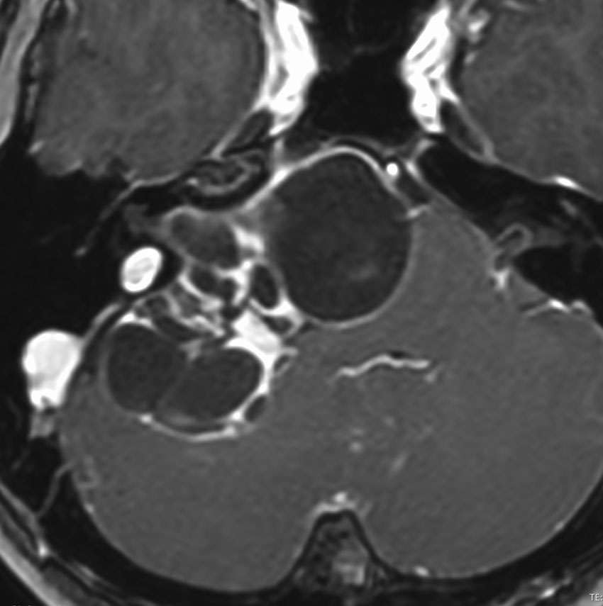
聴神経腫瘍や三叉神経鞘腫と間違えそうな顔面神経鞘腫
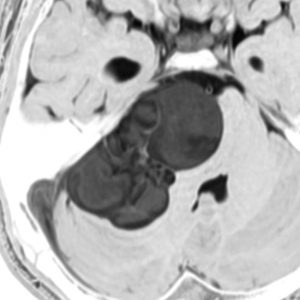
20代の男性で,下顎と口腔内の軽度の感覚以上だけがありました。聴力は正常で顔面神経麻痺は全くありません。でもこれは巨大な顔面神経鞘腫です。手術前は三叉神経鞘腫を疑っていました。
内耳道が少し拡大して内耳道内にも腫瘍があります。
手術摘出しましたが,聴神経は正常に見えて手術後も聴力は保たれました。三叉神経からは完全に剥離できています。
腫瘍の外側表面で顔面神経は紙のように薄くなって(菲薄化して),モニターで位置を確かめながらのかなり難しい手術となりました。




