脊索腫 (せきさくしゅ) コルドーマ chordoma

  • 脳ではなくて頭蓋骨にできる腫瘍です
  • 年間100万人に一人くらいの発生率でとても珍しい腫瘍です
  • なんといってもやっかいな悪性腫瘍です
  • 病理組織は良性とされますが,良性などと言える腫瘍ではありません
  • 成人にも子供にもできます
  • 30代から60代に多いのですが,10代の女の子の斜台脊索腫も治療したことがあります
  • 頭蓋底骨(斜台)あるいは脊椎骨(仙尾椎)にできます
  • 中でも斜台という頭の中心の骨から出ることが多いです
  • 年単位でゆっくり大きくなるのですが、早いものでは2−3ヶ月で増大します
  • 頭蓋底手術というのが治療法ですが、その手術の侵襲と危険性はとても高いです
  • また全部取り切れることはまれですし、残せば再発してしまいます
症状
  • 硬膜を破って中に入り脳の方へ伸びるように大きくなって症状をだします
  • 脳神経を圧迫して,目の動きが悪くなったりして発症することが多いです
  • 海綿静脈洞へ入って大きくなると、顔面の痛みや麻痺を出します
  • 脊髄を圧迫して脊髄症状や脊髄神経根症状(手足のしびれと麻痺)を出します
診断はCTとMRIが必要です
  • CTやMRIで見えるよりも実際は広くしみ込むように浸潤しています
  • CTで骨を破壊しているように見えます
  • 造影剤で白く増強されてみえます
  • 髄液播種といって脳脊髄表面に広く転移することも知られています
治療しないで経過を見ること

10年間さしたる症状もなく,経過観察されてきた巨大な脊索腫です。右三叉神経障害,外転神経麻痺,聴力消失などの症状が順次にでました。やがて上咽頭に腫瘍が進展して気道狭窄になりました。もともと全摘出できないものなので,主治医の先生の経過観察をできるところまでするという方針も納得ができるものです。

経過観察では,個々の患者さんで大きな差が出ます。数ヶ月ですごく大きくなるものも,数年でゆっくり増大するものもあります。

治療
  • 治療は手術で全部完全に取ることですが極めて難しいです
  • 全摘はなかなかできませんし,手術後の再発はとても多いです
  • 手術を繰り返して取りきれなくなるのが普通です
  • なんとしても完全に取るという目的で手術に望みますし,周囲の健康に見える骨も含めて積極的に摘出することが望まれます
  • 通常の放射線(ガンマ線、X線)はの有効性は低いですし、かなりの高線量70グレイ程度が必要です
  • エルビタックス(セツキシマブ)とイレッサ(ゲフィチニブ)が効いたというような報告もありましたが,2020年時点で有効といえる薬物治療(化学療法)はありません
  • 軟骨肉腫に似た病理のものは多少ですが治りやすいとされます
  • 治療後に,もっと悪性の線維肉腫や悪性線維性組織球腫などに変わることがあります
粒子線治療は7割程度の患者さんに有効
  • 手術で残った腫瘍には陽子線 proton あるいは重粒子線治療 carbon ion が有効です
  • 粒子線治療においても術後の残存腫瘍が大きいと効果は期待できません
  • 2020年イタリアからの報告では、5年局所制御割合は、陽子線で84%、炭素線で71%でした(この報告で注意しなければならないことは経過観察期間があまり長くないことです)
  • 2020年時点では、手術で可能な限り摘出して、残った腫瘍には陽子線治療を加えるというのが良いのかもしれません
  • 粒子線治療の有効性は、腫瘍の体積が小さい、視神経や脳幹部に腫瘍が接していないということで左右されます
  • ですから、これらの重要な神経組織に脊索腫が接しないように、手術摘出の努力がされるべきです
  • 一方で、粒子線治療の副作用を軽く見ることはできません
  • 炭素線照射が内頸動脈を含めば内頸動脈の壁はボロボロになりますし閉塞することも多いです、側頭葉が被曝すると重い認知記憶の障害が出ることがあります、もちろん上記の線量が視神経に入れば失明します、海綿静脈洞に入れば顔面疼痛や眼球運動障害が生じます

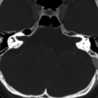
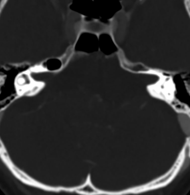
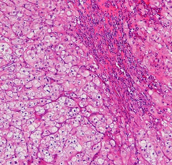
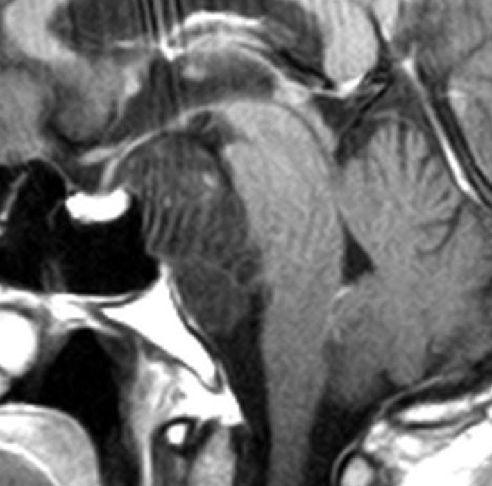
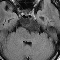
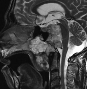
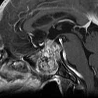
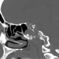
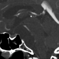
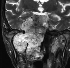
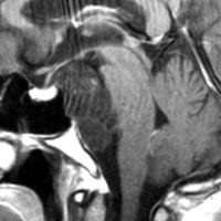
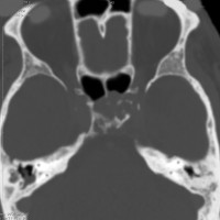
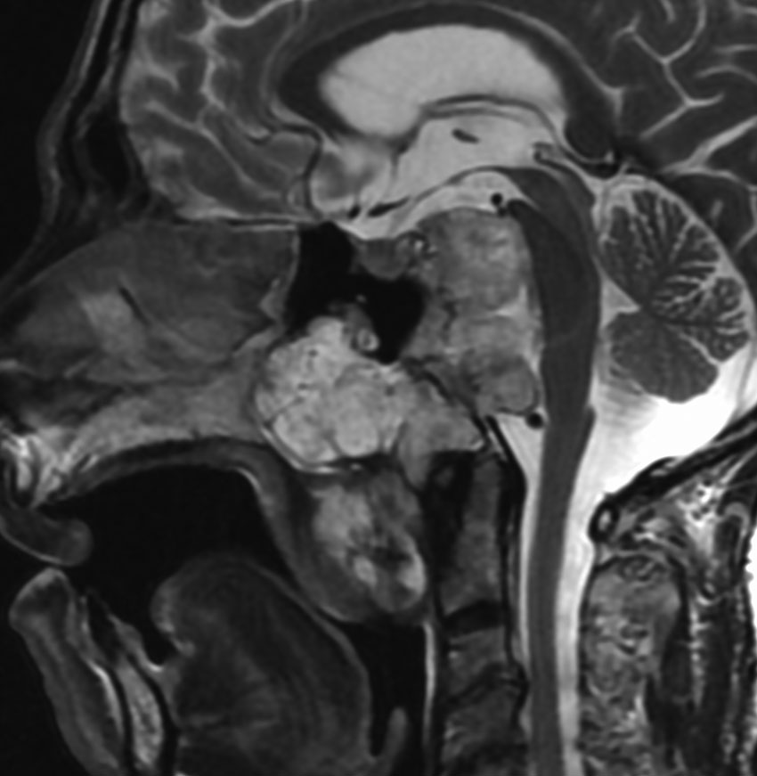
斜台の脊索腫 classical type

CTでは,斜台から左蝶形骨にかけて不規則な骨破壊像がみられます。

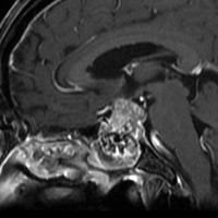
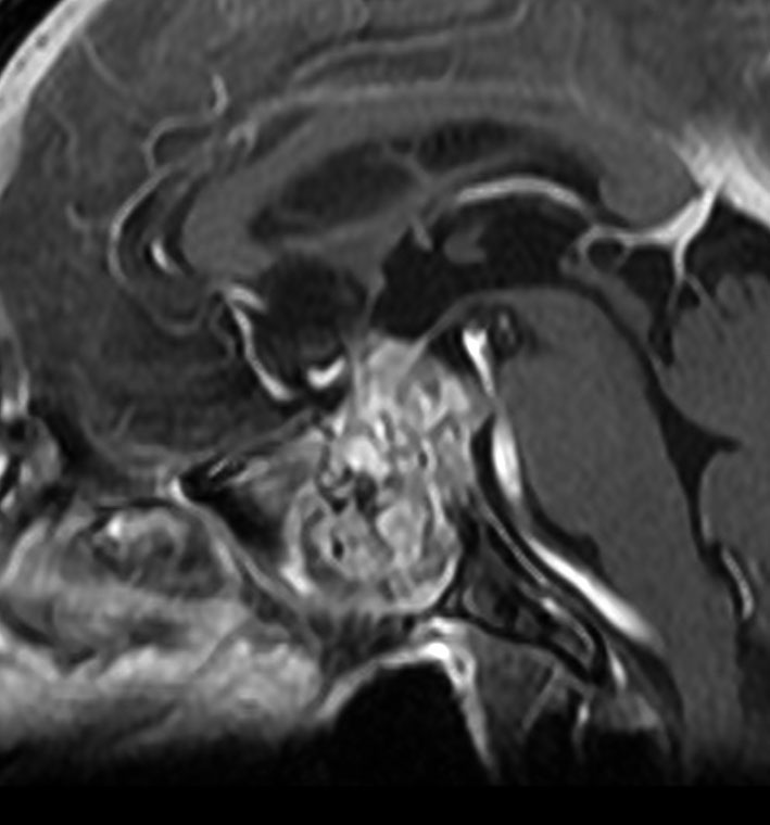
MRI T2強調画像(左)では等信号から高信号のまだらな境界が不明瞭な腫瘍が斜台から左海綿静脈洞内に浸潤しているのがみられます。T1強調ガドリニウム増強では,腫瘍がまだらに増強されています。トルコ鞍から鞍上部に伸び,視交差を侵し第3脳室底まで伸展しています。脊索腫が硬膜内に浸潤して神経組織と癒着することは珍しいことではありません。

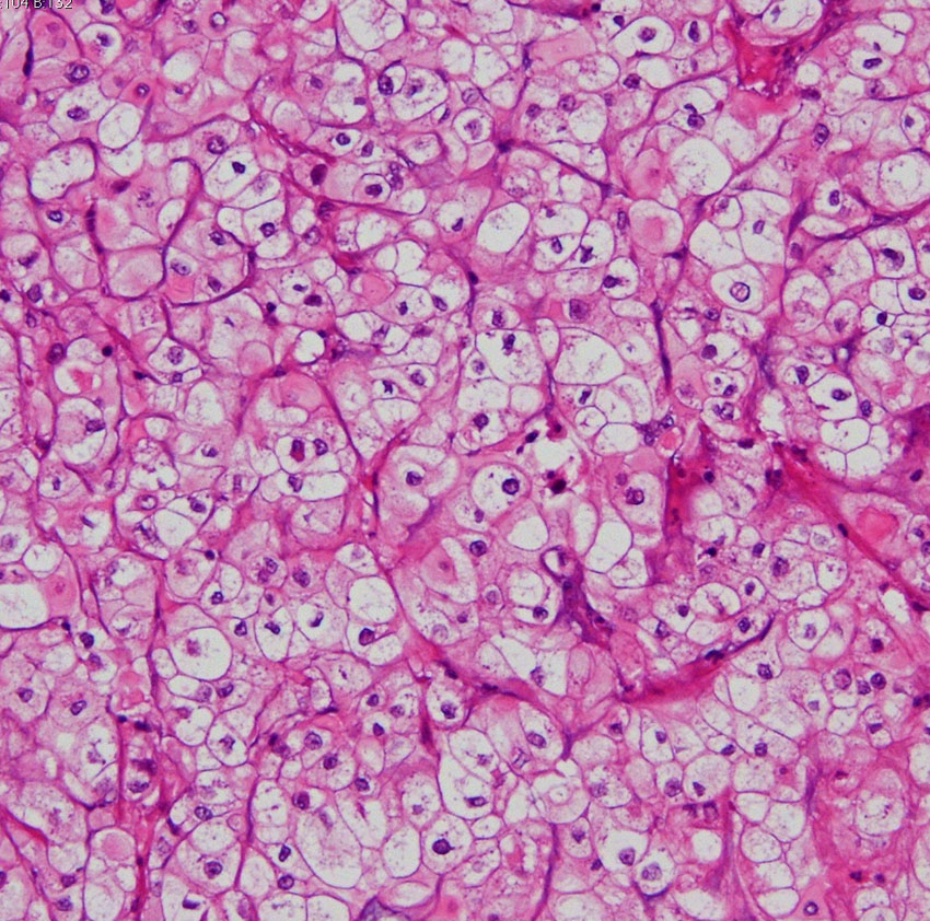
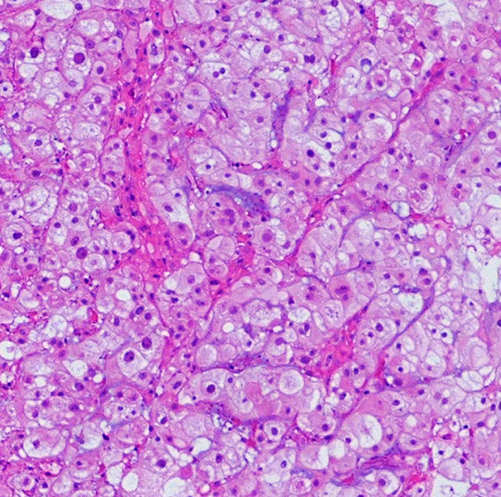
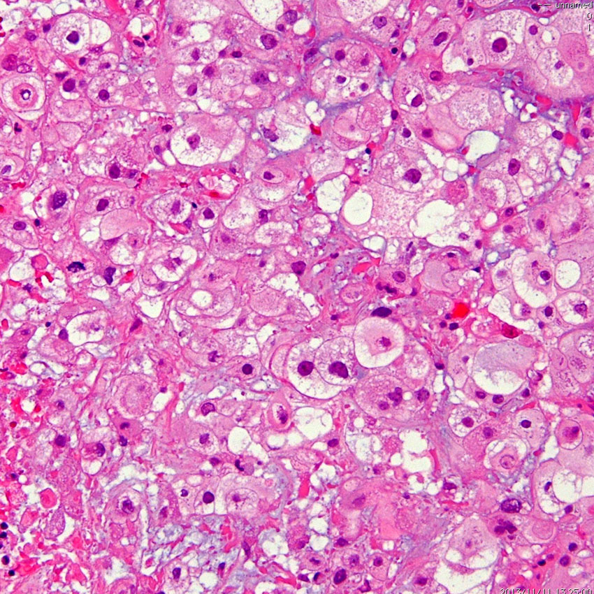
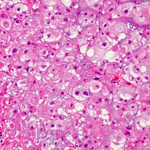
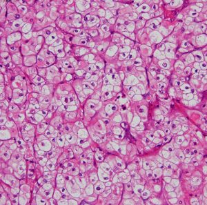
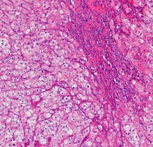
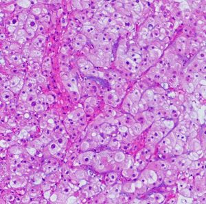
病理像です。軟骨様組織を混在しない純粋な脊索腫です。核を中心にして大きな丸い細胞体には空胞が目立ちます。空胞腫瘍細胞 physaliphorous cellsのシート状配列が特徴的です。左上の写真にわずかに粘液状間質(青く染まるところ)がみえます。

脊索腫のWHO分類

  1. classical chordoma
  2. chondroid chordoma:予後がよいこともある
  3. dedifferentiated chroma:増殖転移速度が速い

脊索腫の専門知識

  • 脊索腫はfetal notochord 遺残脊索から発生する低悪性度腫瘍 low-grade neoplasmです。
  • これは病理学的な悪性度であり、緩除な増殖能を有するといえども臨床的には明らかに悪性腫瘍 malignant neoplasmといえます。
  • 遺残脊索から発生する腫瘍として,ecchordosis physaliphoraが良性型で,chordomaが悪性型の腫瘍だともとらえられます
  • 頭蓋底中心部(斜台)と脊椎に発生します
  • 仙椎頭蓋底に好発しますが、頸椎と胸腰椎にも発生します
  • 肺、骨、肝臓などへの転移は稀なことではなく、髄液播種を生じることもあります。
  • 組織学的にはchondroid chordomaとされる軟骨要素に富むものの予後が比較的良いとされます
  • 純粋に硬膜内に発生するもの intradural chorcoma の予後は良いです
  • 一方稀なのですが、sarcomatous/ dedifferentiated chordomaではきわめて進行の早いものもあります
  • 治療の難点は、浸潤性の脊索腫を完全摘出することが現実的にはほどんどできないことです
  • 手術摘出で治癒する例は少ないといえます。
  • 放射線治療の有効性はある程度は実証されていますが、粒子線(炭素線)でかなりの高線量を用いても照射後の再発は多いです
  • 脊索腫が、PDGFRB, PDGFA, KITを発現しかつPDGFBを分泌するautocrine / pracrine loopを有して増殖するという報告があり、anti-BDGF agent (imatinib)の有効性が期待されています

泡状外脊索症 エコルドーシス ecchordosis physaliphora

脊索腫ととても似ている小さい頭蓋底腫瘍で過誤腫です
  • たまたま見つかることの多い良性の先天性の過誤腫です
  • 斜台の中央からでるecchordosis physaliphoraという小さなのう胞様病変で
  • 脊索腫と同じ発生母地からできるとされ,病理学的にも両者が区別できないことがあります
  • 遺残脊索組織 embryonic notochordal remnants といって,多くは蝶形骨と後頭骨の接合部のsphenooccipital synchondrosisのところから後方へでます
  • 脳幹部の橋の前にある前橋槽というところに育ちます
  • 頻度が高いもので,脊索腫と間違えて治療しないように注意が必要です
  • 経過観察しても症状を出すことは例外的でほとんどないと言えます
  • これは脊索腫と違って大きくなることはありません
  • 剖検例では何かの理由で亡くなった人の実に2%に見つかり,MRIをよく見ると1-2%の人にあるとされています
  • とすると正常な人の100人に一人はもっているものになります

画像所見

  • CTでは,斜台の中央に骨の浸食像と腫瘍内部に石灰化がみられることがあります
  • 脊索腫と異なり,骨破壊像はほんの少しです
  • MRI T1強調画像で低信号,T2強調画像で高信号となります
  • 大きいものでは,信号が入り交じったheterogenousな所見になることが多いです。
  • MRIの信号では脊索腫と鑑別が難しいことが多いでしょう
  • のう胞性病変のようにみえて,ガドリニウム増強されないことが特徴です
  • 斜台との間に繋がりがあります (stalk-like connection)

臨床所見と治療

  • 偶然発見された小さなものはまったく治療の必要もないものですし,大きいのものでも症候性となることはめったにありません
  • ものが2重に見えるという外転神経麻痺という症状がでることがあります
  • 巨大なものでは脳幹部圧迫症状としての片麻痺,失調性歩行,聴力低下などがあります
  • 腫瘍から出血して突然の頭痛(くも膜下出血)で発症することがあります
  • 症候性の大きなものでは経鼻的(経蝶形骨洞)内視鏡手術で摘出できます (endoscopic transsphenoidal-transclival procedure)
  • しかし脳幹部や血管や神経に癒着するのでそれほど安全とは言い切れませんから,無理して全摘出しないようにします

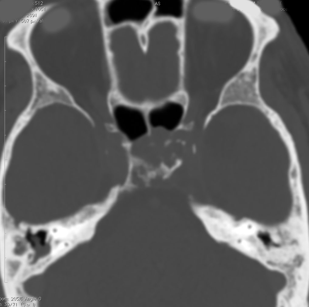
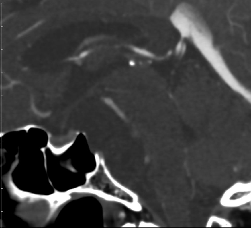
巨大なエコルドーシス・フィサリフォラ


骨をみているCTです。鞍背からsphenooccipital synchondrosisまでの斜台骨皮質が失われています。かなり特徴的な所見です。


T2強調画像とFLAIR像です。FLAIRでは髄液より高信号となります。のう胞様の膨らみを有します。脊索腫と異なり,expanding mass と表現されます。


CISSとガドリニウム増強T1強調画像です。ガドリニウム増強されません。


拡散強調画像ではわずかに高信号です。類表皮のう胞や類皮のう胞との鑑別が可能です。


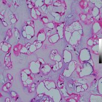
病理像は脊索腫と区別がつかない indistinguishableことがあります。腫瘍周囲組織への浸潤像の有無だけが鑑別点であるという意見もあります。

ここから下は文献情報

陽子線と炭素線の効果

Iannalfi A: Proton and carbon ion radiotherapy in skull base chordomas: a prospective study based on a dual particle and a patient-customized treatment strategy. Neuro Oncol 2020
イタリアからの粒子性治療の報告です。頭蓋底脊索腫の患者さん135人が、陽子線あるいは炭素線で治療されました。陽子線は70例に使用され74Gy (RBE)/37frで、炭素線は65例で使用され70.4Gy/16frでした。炭素線の方が手術後残存腫瘍が大きい症状が重いなど治療が比較的困難な患者さんが多く含まれていました。追跡期間44ヶ月での局所再燃率 local failure は、陽子線で11%、炭素線で21%でした。5年局所制御割合は、陽子線で84%、炭素線で71%でした。5年生存割合は両者ともに8割ほどです。

脊索腫の化学療法(薬物治療)

Magnaghi P, et al.: Afatinib Is a New Therapeutic Approach in Chordoma with a Unique Ability to Target EGFR and Brachyury. Mol Cancer Ther. 2018
Afatinibを用いるヨーロッパで第2相試験が計画されているとのことです。

脊索腫の陽子線治療

McDonald MW, et al.: Influence of Residual Tumor Volume and Radiation Dose Coverage in Outcomes for Clival Chordoma. Int J Radiat Oncol Biol Phys. 2015
インディアナ大学からの報告です。39人の患者さんがの陽子線治療 (中央値 77.4グレイ; RBE range 70-79Gy) を受けました。追跡期間中央値は51ヶ月と短いのですが,5年推定値での腫瘍コントロール割合は69.6% (95%CI 50-89)で,OS 81% (95%CI 65-97)です。GTVが小さい方が腫瘍制御が確実となり,腫瘍単位体積あたりのD1cm3は74.5Gy以上が必要との結論です。
「解説」この推定値からは陽子線で脊索腫の増大を制御できる確率は50%程度と読み取れます。手術で限界まで摘出して残存腫瘍が小さい方が陽子線の効果も期待されるということが諫言されています。

脊索腫の化学療法(薬物治療)

Stacchiotti S, et al.: Imatinib mesylate in advanced chordoma: A multicenter phase II study. J Clin Oncol 545s:abstract 10003, 2007
55例のかなり進行した脊索腫の患者さんでのイマチニブの効果が2007年に報告されました。84%の患者さんで病気の進行が抑制され (stable disease)、無増悪生存期間は32週間、38%の患者さんで1年間は進行が止まったとのことです。これを読み取ると3分の1くらいの患者さんで1年くらいは病気の悪化が食い止められそうであると思えます。この後には、 イマチニブとシスプラチンを組み合わせる併用化学療法が行われましたが効果は限定的でした。

脊索腫の化学療法(薬物治療)

Casali PG, et al.: Imatinib mesylate in Chordoma. Cancer 101: 2086–2097, 2004
Tamborini E, et al: Molecular and biochemical analyses of platelet-derived growth factor receptor (PDGFR)B, PDGFRA, and KIT Receptors in Chordomas. Clin Cancer Res 12: 6920–6928, 2006
2004年にイマチニブ imatinibという抗がん剤で脊索腫の増殖抑制ができる可能性があることをCasaliらが報告しました。2006年には18人の患者さんで imatinib 800mg/dayの投与を行ったところ11人の患者さんで効果があったとのことです。でも効果というのはCTとかMRIで造影剤で移る部分の増強効果が低下したという程度です。腫瘍の大きさが小さくなたのは2人 (11%)でした。

エコルドーシスのMRI所見

Mehnert F, et al.: Retroclival ecchordosis physaliphora: MR imaging and review of the literature. AJNR Am J Neuroradiol 25:1851-1855, 2004

 

Copyright (C) 2006-2026 澤村 豊 All Rights Reserved.