骨軟骨腫瘍 osteocartilagenous tumors
軟骨腫 chondroma
骨軟骨腫 osteochondroma
軟骨肉腫 chondrosarcoma
- 頭蓋底にはさまざまな骨軟骨腫瘍ができます
- いずれも珍しいものです
- 頻度としては,軟骨肉腫,骨軟骨腫,軟骨腫の順番です
- 軟骨腫と骨軟骨腫は良性腫瘍
- 軟骨肉腫は基本的には悪性腫瘍ですが,グレードはさまざまで何年もかかってゆっくり大きくなるものや,数ヶ月でかなり増大してしまうものまであります
- もっとも重要なことは脊索腫 chordoma ときちんと鑑別することです
- 脊索腫とは異なって,これらの腫瘍は治ることが多いし,頭蓋底骨の軟骨肉腫で命を失うことはほとんどありません
- 体の他の部分の軟骨肉腫とは異なって,全身転移する頻度が低いからです
- 放射線治療が有効であることが多いでしょう
- 定位放射線治療,放射線外科治療,陽子線治療などが用いられます
- 重粒子線(炭素線)は頭蓋底を破壊するような治療法ですからできることなら避けた方がいいです
軟骨肉腫 chondrosarcoma
斜台軟骨肉腫 chondrosarcoma
頭蓋底にできる軟骨肉腫を脊索腫 chordomaと区別することはしばしば不可能です。病理診断でもどちらか迷ってはっきりしないこともあります。chondroid chordomaと呼ばれるものに至っては中間型とも言えます。
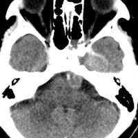
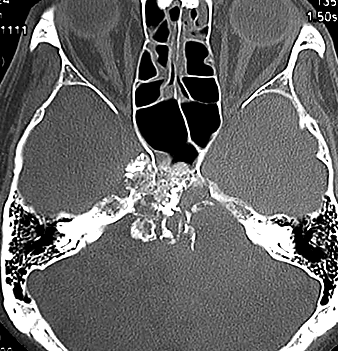
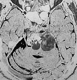
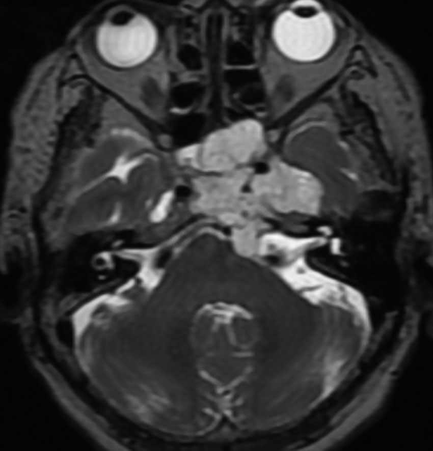
左動眼神経麻痺が急速に進行した例です。斜台から左海綿静脈洞,錐体骨尖を侵す頭蓋底軟骨肉腫です。左内頚動脈は腫瘍に取り囲まれています。
CTでは腫瘍実質部分が増強されます。不規則な骨破壊像・浸食像が特徴的です。
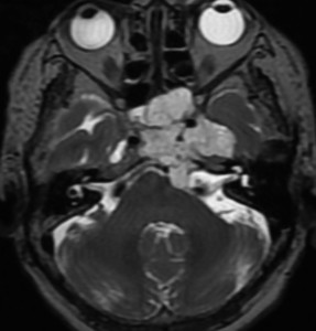
T2強調画像で高信号となるのは脊索腫と同様です。斜台後方の硬膜を破って前橋槽に伸展しています。これも脊索腫と同じような伸展浸潤形態と言えます。
グレード2の軟骨肉腫でした。軟骨肉腫は軟らかい腫瘍です。もちろん頭蓋底骨に浸潤しているので全摘出は無理ですが,大部分を摘出して術後に放射線治療をするのが標準的な治療です。ガンマ線による放射線治療でもコントロールできることは多いでしょう。逆に,重粒子線(炭素線)などの治療は侵襲的過ぎます。
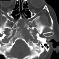
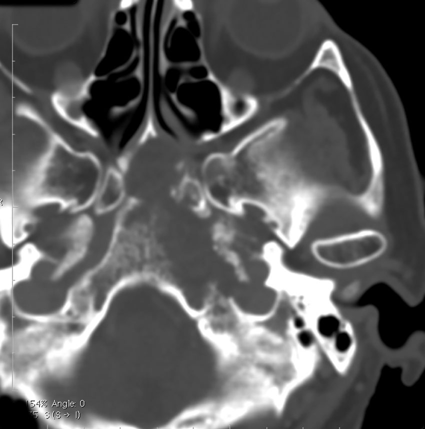
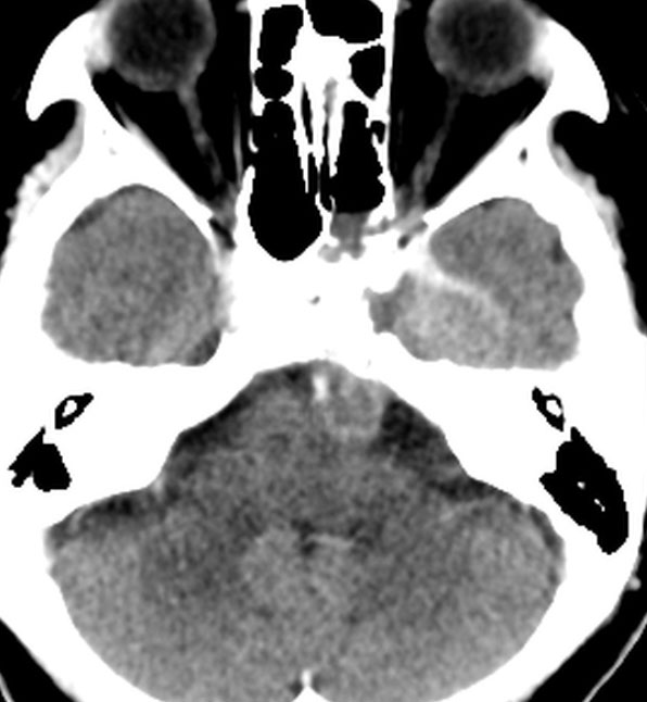
骨軟骨腫 osteochondroma の悪性化例:secondary chondrosarcoma
骨軟骨腫が若い時からあって壮年になってから悪性化した軟骨肉腫です。20代のときに右外転神経麻痺が生じて20年以上そのまま経過しました。左のCTでは頭蓋骨の真ん中の斜台というところに異常な骨があって,良性の骨軟骨腫のように見えます。でも右側のMRIでは脳幹部に深く食い込む柔らかい腫瘍の部分が写っていてこれは軟骨肉腫を疑う像です。手術摘出と術後の放射線治療をしました。
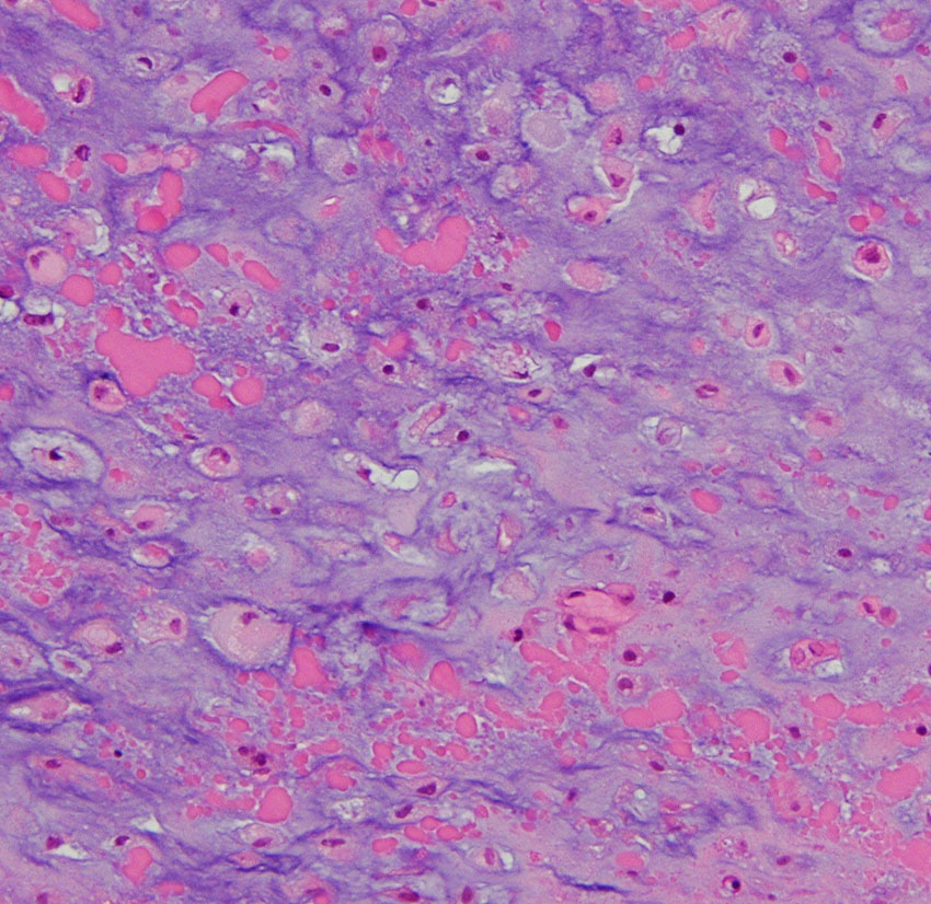
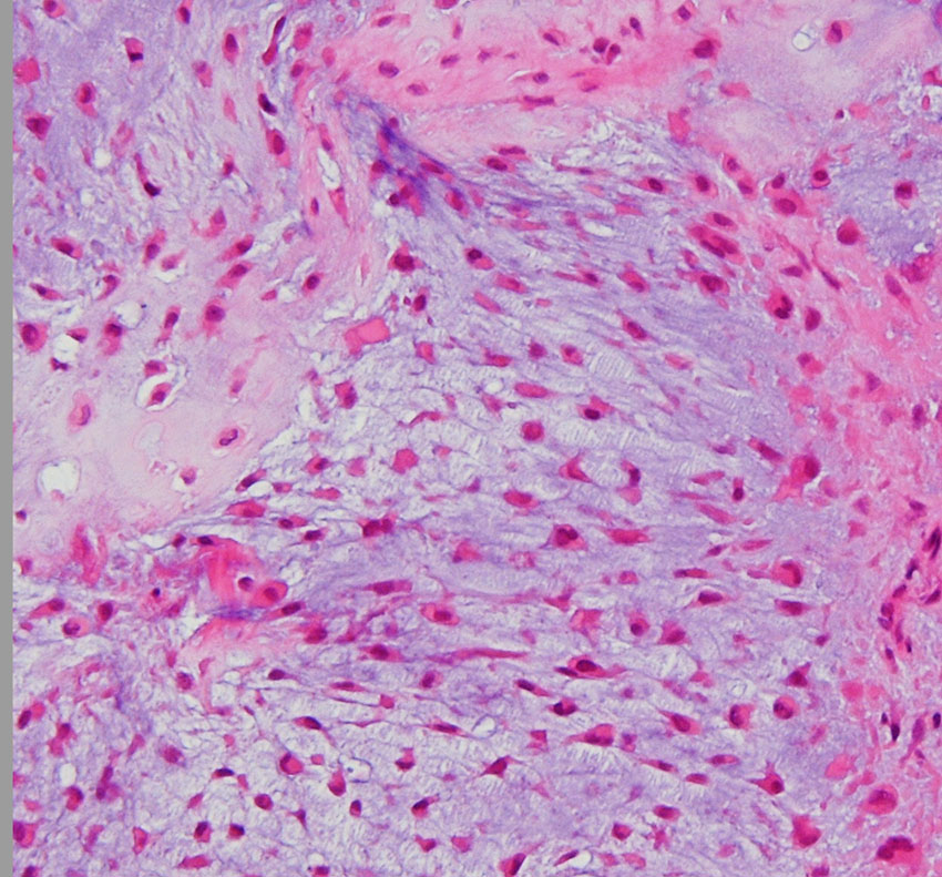
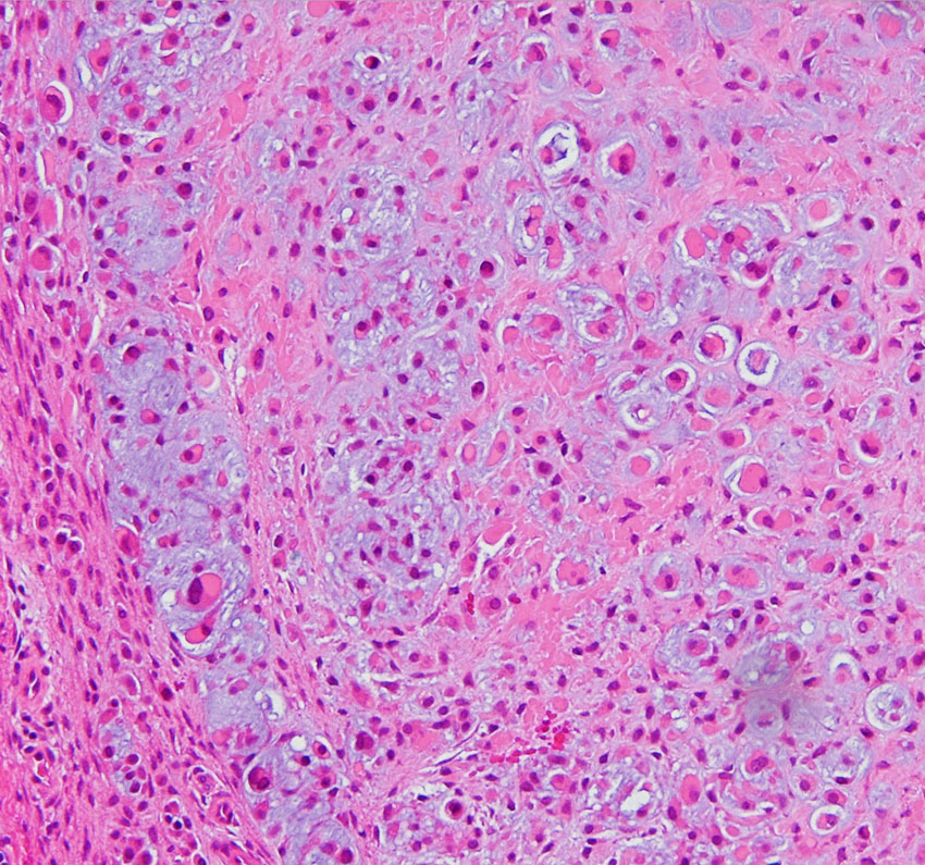
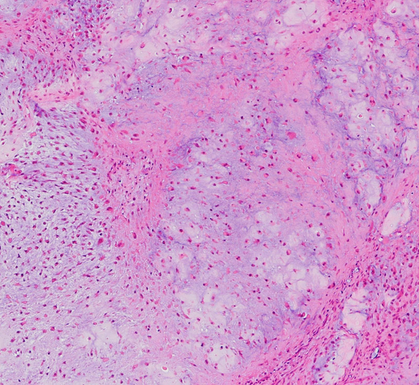
病理
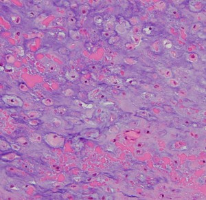
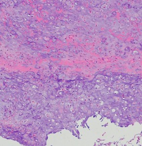
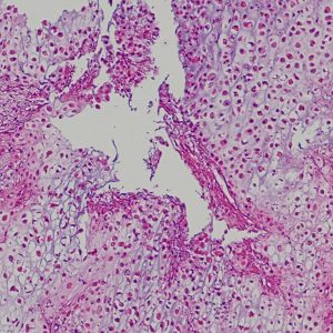
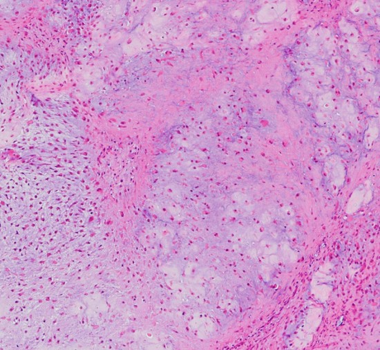
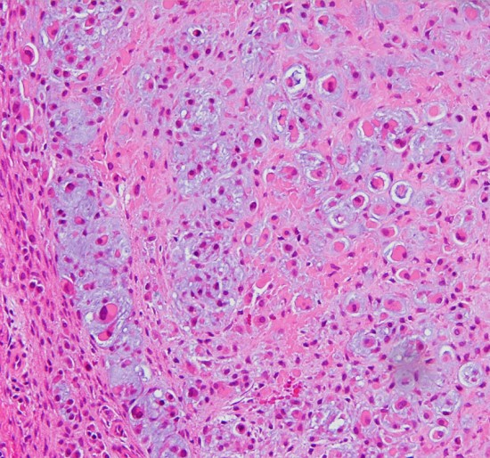
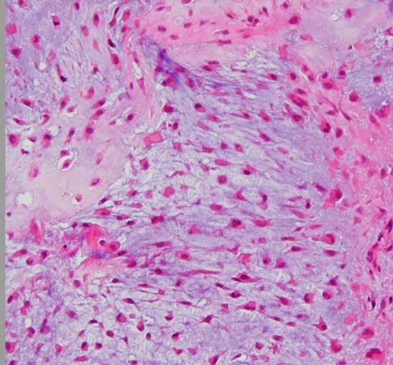
低悪性度軟骨肉腫の病理像 grade 2 chondrosarcoma
背景は好塩基性の軟骨基質(粘液状 myxoid,軟骨様 chondroid)です。好酸性胞体をもつ異型紡錘形ないし上皮様細胞が多結節状に増殖しています。細胞密度はやや高い部分もあり,核は濃縮され大小不同や2核の細胞も見られます。MIB-1 index 3%















