側頭葉の解剖図
側頭葉の解剖図です
側頭葉の解剖図です。表面からは見えませんが,深部の海馬というところには記憶の中枢があります。左側頭葉には言語の中枢もあります。聴覚や味覚,情動などの中枢も側頭葉にあります。
脳の底面(左)と正面(右)から
脳の右と左側面から
言語野・ウェルニッケ領域
左側頭葉の言語中枢(ウェルニッケ領域)です。上側頭回の後ろの方にあります。ここが侵されると,言葉を聞いても理解できないという感覚失語という症状が出ます。左側頭葉の底面には字を読む能力もあります。

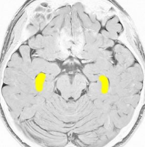
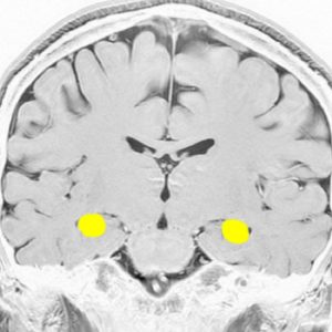
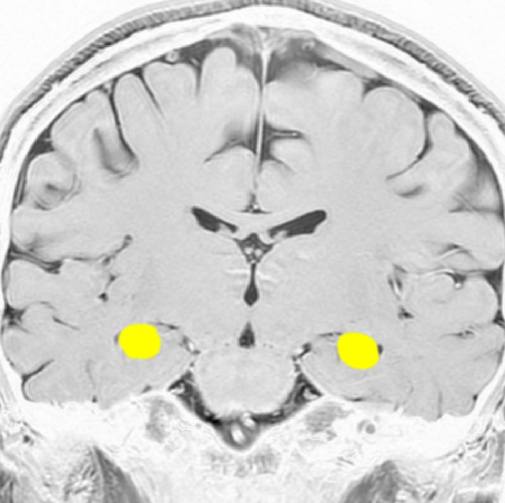
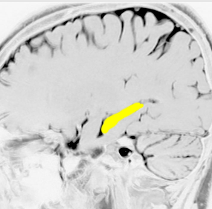
海馬
両側の側頭葉の内側にあり,学習,記憶,空間認識(spartial awareness。物体のある場所・大きさ・形・速さ・向き・物体同士の位置関係などを素早く正確に認知する能力)を司ります
記憶に関しては左側の海馬に優位性が大きいです

左の海馬を横から見たところです
記憶の中枢であり,この部位の機能低下は認知症を招きます
アルツハイマー病の原因ともなる部位です





