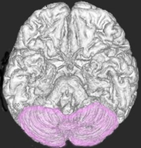
小脳の解剖図
小脳の解剖図です
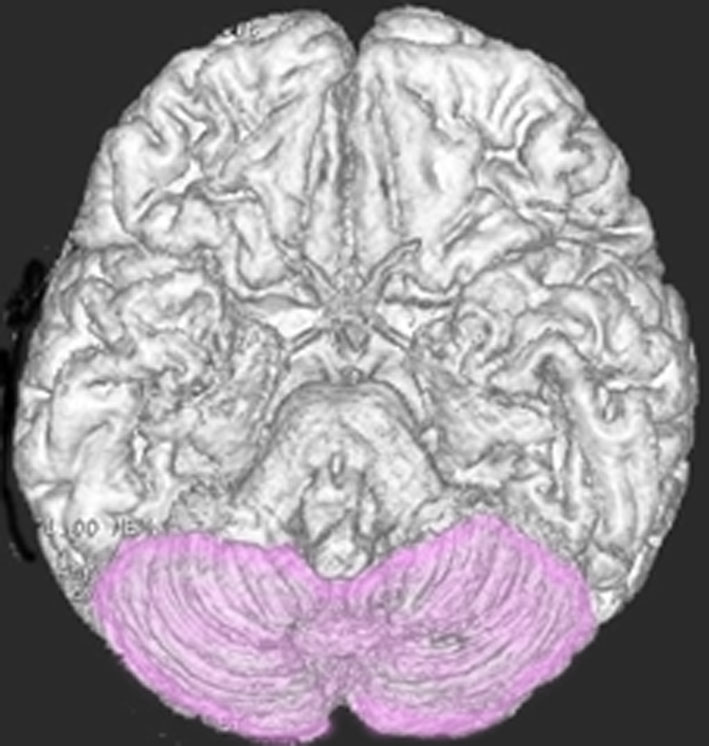
小脳です。両側の小脳半球には主に手足のバランスをとる能力がありますし,表面から見にくいのですが中心部の虫部というところは体の中心線(体幹)の平衡感覚を司っています。小脳が損傷されると小脳失調といってふらつきが出ます。右小脳半球の損傷では右手足の動きがぎこちなくなり,小脳虫部の損傷では体感失調という立っていることが難しくなるという症状が出ます。
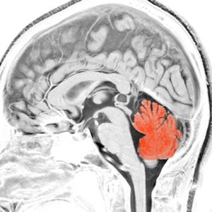
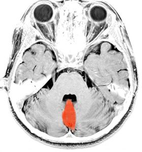
小脳半球の後面(左)と底面(右)から
小脳性無言症 cerebellar mutism
主として小脳虫部発生の腫瘍の術後に出る症状として小脳性無言症(cerebellar mutism) と後頭下症候群 (posterior fossa syndrome)があります。意識はあって普通に反応するのに言葉が全く出ないという症状です。これは通常,数日から数週間で改善しまずが,小児でこの症状がでると将来の認知機能と言語の発達に遅れがでます。小脳深部白質あるいは虫部の大きな手術損傷がなければこの小脳性無言症は生じません。50%の患児では,術後16日以内に無言症から言語発出低下に移行します。この時点でも回復しない場合には認知機能障害が残ることが多いでしょう。
cerebellar fits, cerebellar seizures 小脳てんかん
小脳てんかん,小脳発作と呼ばれます。小脳扁桃ヘルニアあるいは脳幹部への強い圧迫がある状態で生じる症状です。症状は,頭痛から意識障害,てんかん類似発作です。強直性発作や軸剛性 axial rigidity と運動性自動症がみられます。大きな小脳損傷(腫瘍や出血)でもみられます。突然の転倒 drop attackや呼吸不全を伴うこともあります。大脳起源のてんかん発作と誤診されることがあるので注意します。





