症例3呼吸器投票
臨床情報を見る
症例選択に戻る
12枚の画像があります。
画像をクリックすると拡大表示されます。
拡大画像のブラウザ戻るボタンで一覧に戻ります。
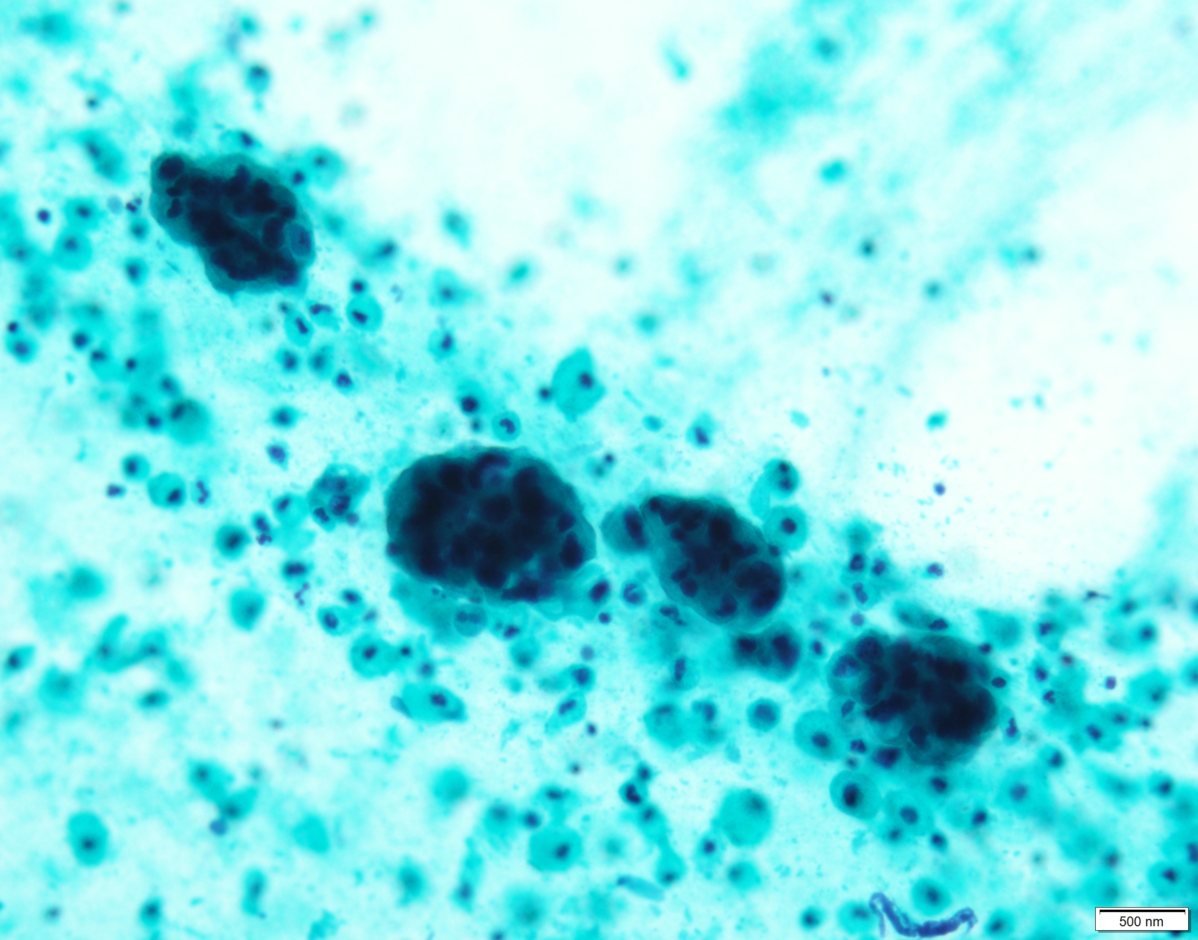
Pap×20
Pap×40
Pap×60
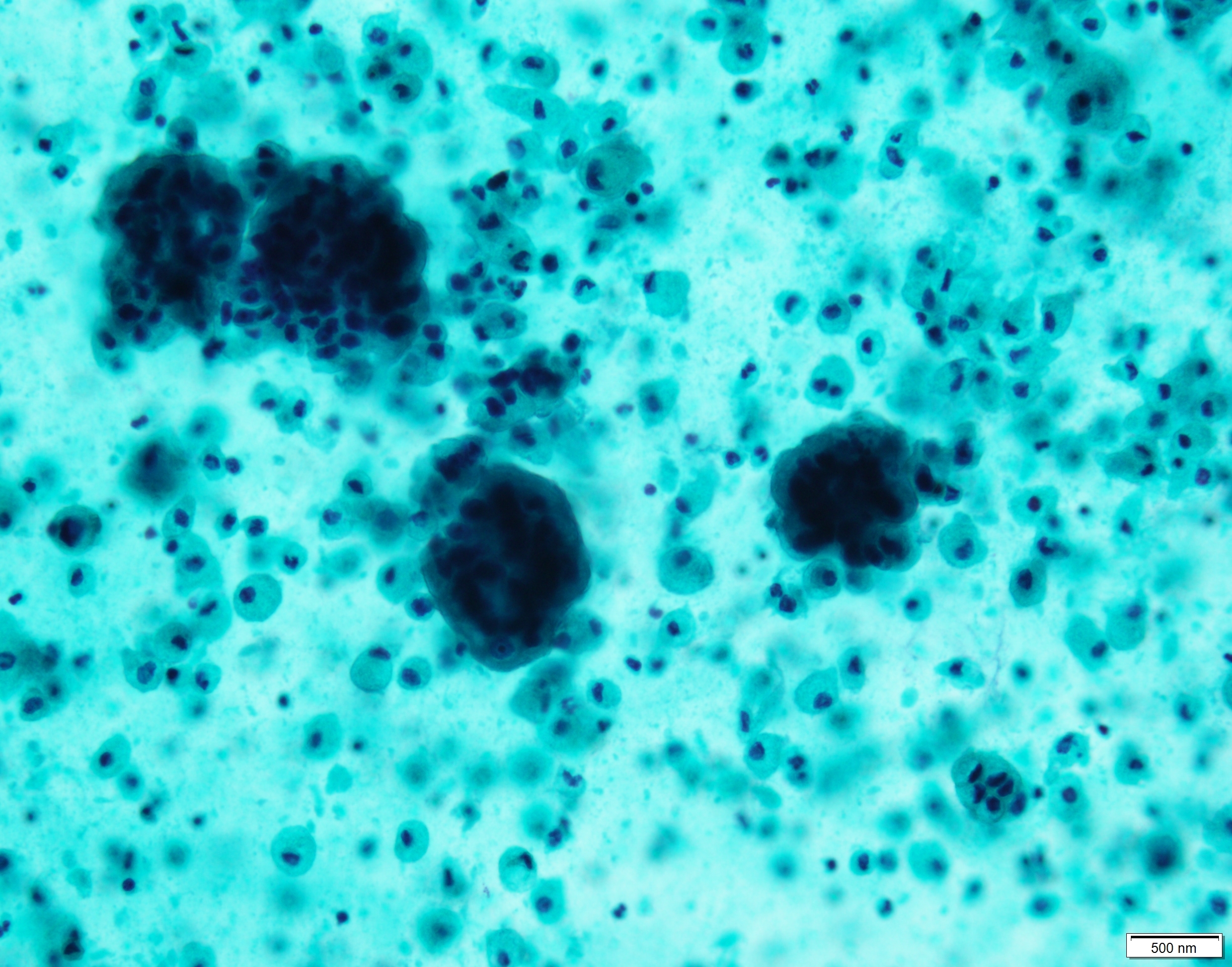
Pap×20
Pap×40
Pap×80
Pap×20
Pap×40
Pap×60
Pap×60
Pap×60
Pap×60
読み込んでいます…