症例1婦人科投票
臨床情報を見る
症例選択に戻る
14枚の画像があります。
画像をクリックすると拡大表示されます。
拡大画像のブラウザ戻るボタンで一覧に戻ります。
Pap 対物10倍
Pap 対物10倍
Pap 対物10倍
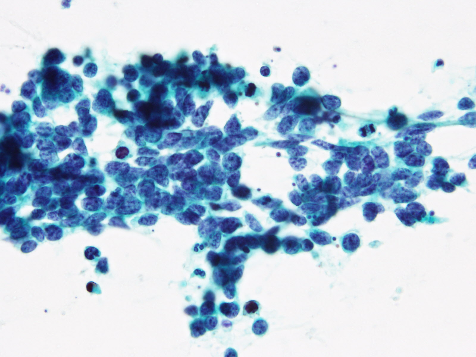
Pap 対物20倍
Pap 対物20倍
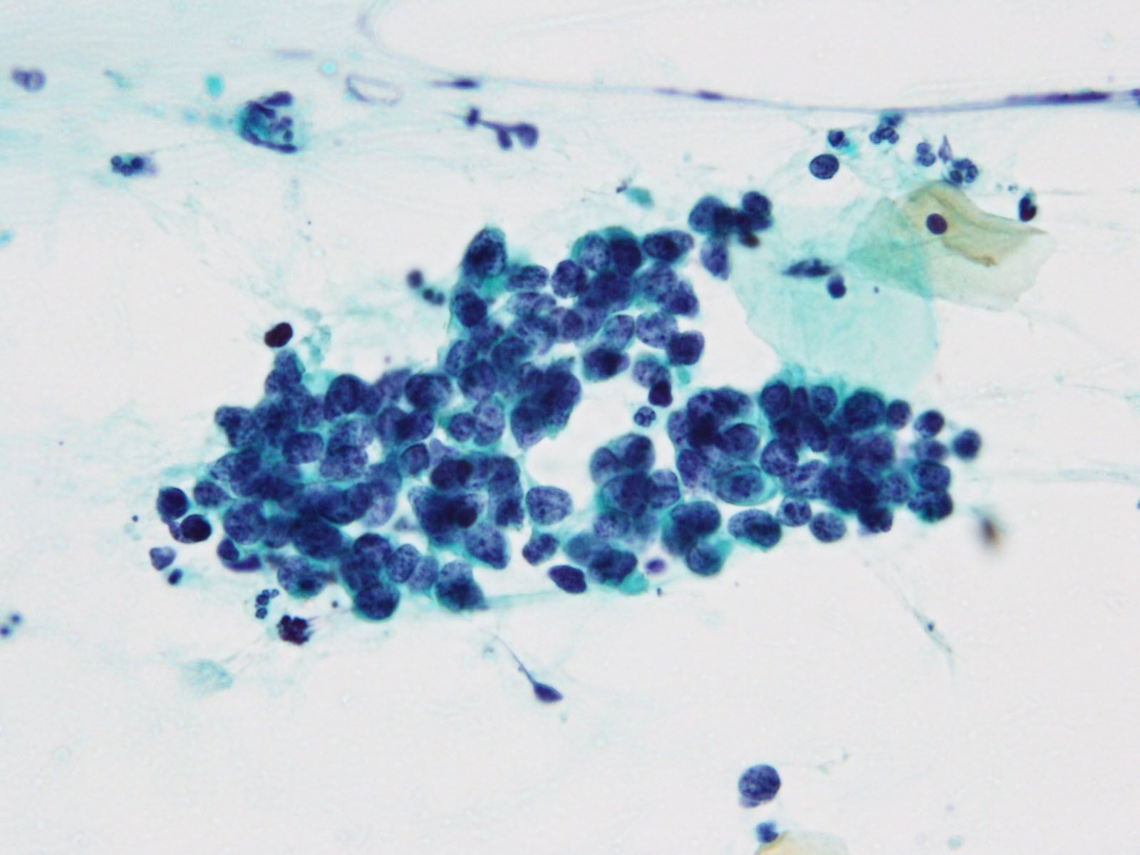
Pap 対物40倍
Pap 対物20倍
Pap 対物40倍
Pap 対物40倍
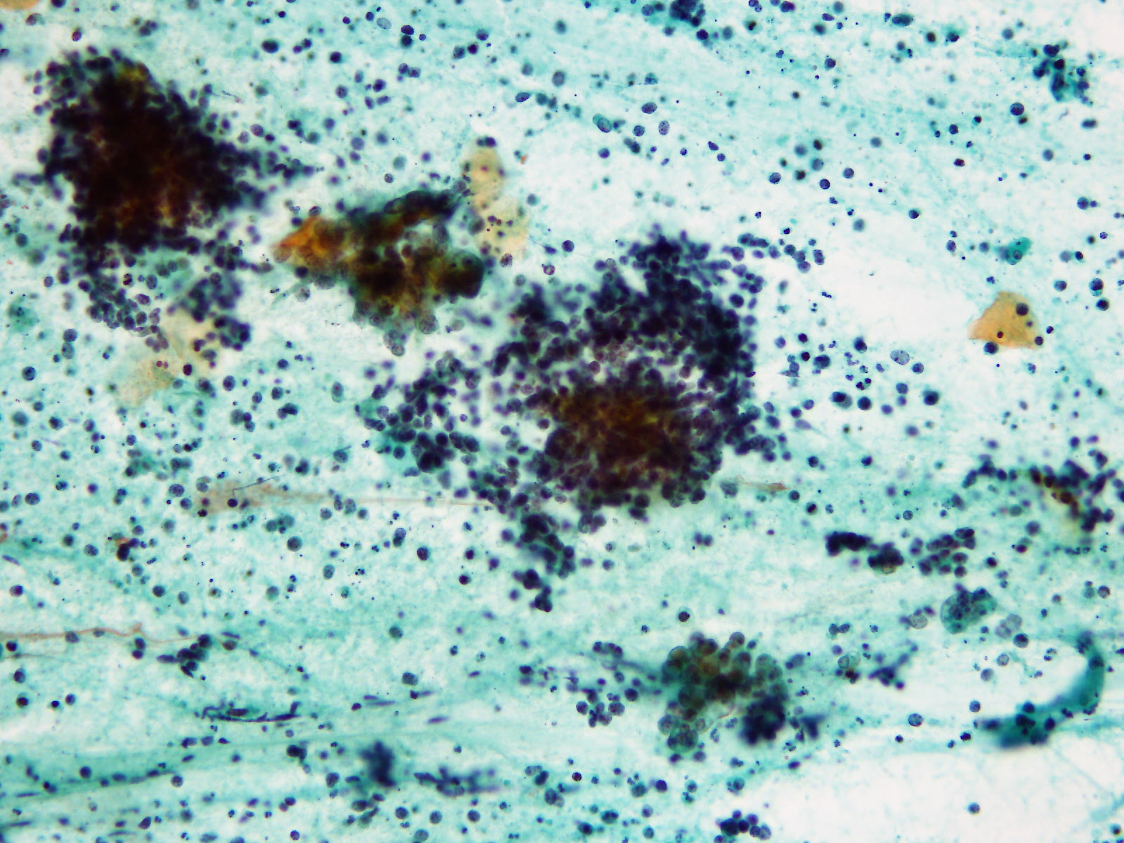
Pap 対物60倍
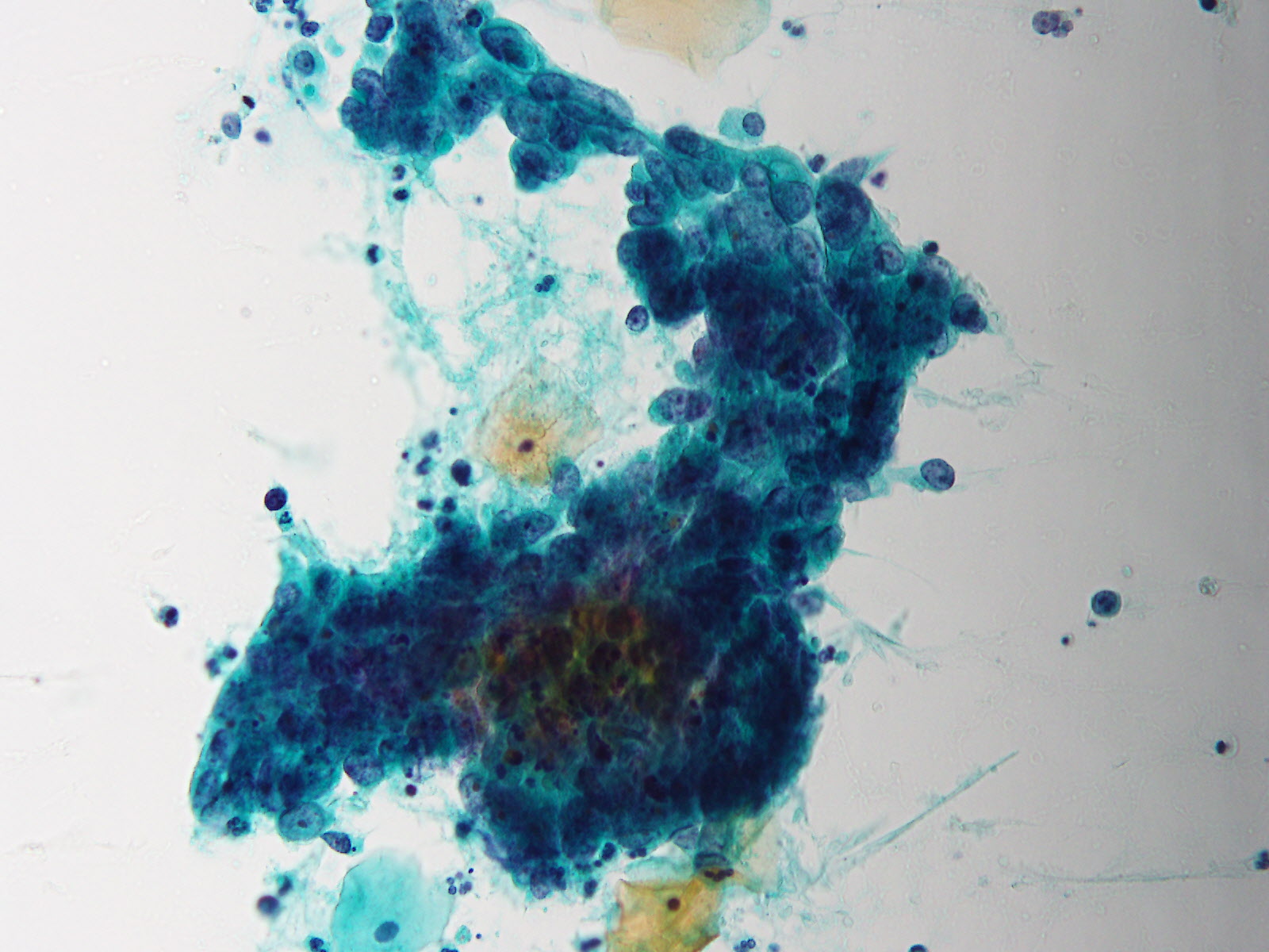
Pap 対物60倍
Pap 対物40倍
Pap 対物40倍
Pap 対物60倍
読み込んでいます…