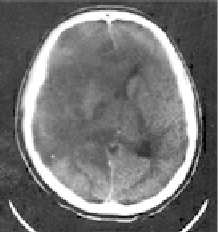
脳の腫れ

Aさんの場合、極限まで脳が腫れて、もうほんの少しで脳死となるところだった!
写真では片方の脳が著しく腫れているために、脳内の隙間がつぶれて一方に大きく片寄っている。
従来ならば脳死になっていたはずだが、低体温療法がAさんの場合、効果的だった。
その他の合併症
| その他にもさまざまな重篤な合併症を乗り越えた。
心室性不整脈、緊張性気胸、無気肺、 薬剤熱(アレビアチン)、白血球減少症(アレビアチンによる)、 外傷後痙攣 |
つまり
救命は困難と考えられたが予想に反して危険な状態を奇跡的に克服していった。